Login

IHC - Cytokeratin 7 Test Cost & Procedure

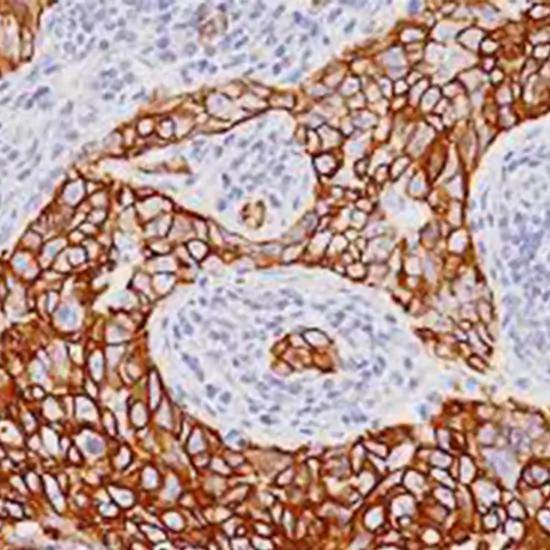
IHC - Cytokeratin 7

IHC-Cytokeratin 7

Book IHC-Cytokeratin 7 Appointment Online Near me at the best price in Delhi/NCR from Ganesh Diagnostic. NABL & NABH Accredited Diagnostic centre and Pathology lab in Delhi offering a wide range of Radiology & Pathology tests. Get Free Ambulance & Free Home Sample collection. 24X7 Hour Open. Call Now at 011-47-444-444 to Book your IHC-Cytokeratin 7 at 50% Discount.

₹ 2300 ₹ 1150

Request A Call Back

To identify the site of origin of adenocarcinomas with unclear primary, CK-7 and CK-20 are helpful. Several cell types, including numerous ductal and glandular epithelia, have CK-7 in healthy tissues (mesothelium, urothelium, military, pancreatic and ovary, endometrium).

Why is this examination suggested?

A particular kind of protein called cytokeratin helps cells create intermediate filaments. It is in charge of giving the epithelial cells mechanical support. They serve a variety of purposes and are a component of the cytoskeleton. A primary type of protein is cytokeratin 7. The CK7 test is a crucial pathology test for identifying both tumors and malignancies. This examination finds primary biliary cirrhosis. Additionally, it helps to distinguish between transitional cell carcinomas and prostate cancer.

CK7 Test Applications

  • There are several uses for the CK7 test. It is employed to determine whether carcinomas are present in the cells.
  • Additionally, it sets the same apart from sarcomas. Additionally, it aids in the distinction between gastrointestinal and ovarian carcinomas.
  • Through this examination, tissue-related disorders are found.
  • Doctors use it to choose the best treatment for the illnesses they have identified. Additionally, it researches and informs on the danger of primary biliary cirrhosis.

Preparation

You don't need to make any special preparations for the procedure. The doctor will only sample your tissue. Make sure your attire is appropriate for the technique described below. Regarding the medication you are taking, you can also speak to your doctor. Avoid taking any medications that might affect the outcomes.

How is this test Performed?

  • A sample of your tissue is used for the CK7 test. Immunohistochemistry is employed in the same manner.
  • The doctor takes a sample of your tissue and fixes it with a paraformaldehyde solution.
  • Tissue fixing is a complex and drawn-out process.
  • Typically, different antibodies are applied to the specimen, and the reaction is then observed.

Test Type IHC-Cytokeratin 7
Includes

Immunohistochemistry Cytokeratin-7 (Oncology)

Preparation
Reporting

Within 24 hours*

Test Price ₹ 1150 ₹ 2300
Frequently Asked Questions
FAQ

Related Tests

Health Packages

Early check ups are always better than delayed ones. Safety, precaution & care is depicted from the several health checkups. Here, we present simple & comprehensive health packages for any kind of testing to ensure the early prescribed treatment to safeguard your health.

view all health packages