Login

IHC - Cluster of Differentiation 30 (CD30) Test Cost & Procedure

IHC - Cluster of Differentiation 30 (CD30)

IHC - Cluster Of Differentiation 30 (CD30)

Book IHC - Cluster Of Differentiation 30 (CD30) Appointment Online Near me at the best price in Delhi/NCR from Ganesh Diagnostic. NABL & NABH Accredited Diagnostic centre and Pathology lab in Delhi offering a wide range of Radiology & Pathology tests. Get Free Ambulance & Free Home Sample collection. 24X7 Hour Open. Call Now at 011-47-444-444 to Book your IHC - Cluster Of Differentiation 30 (CD30) at 50% Discount.

₹ 2300 ₹ 1150

Request A Call Back

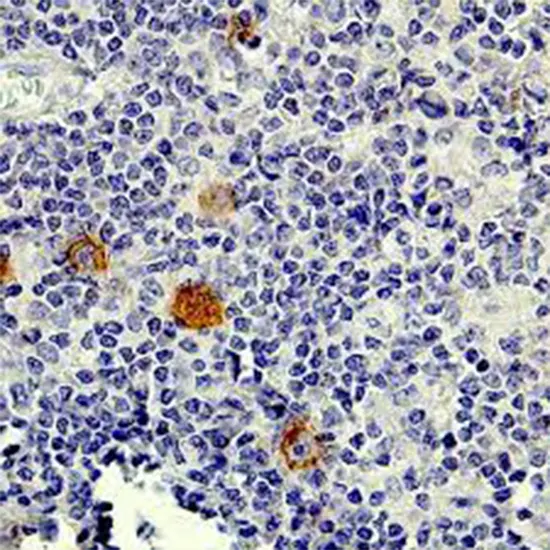
T and B cells that have been activated exhibit the transmembrane cytokine receptor known as Cluster of Differentiation 30 (CD30). The signal transduction that results in the activation of NF-kappaB is mediated by interactions between this receptor and TRAF2 and TRAF5. This receptor has been established to inhibit the proliferative capacity of autoreactive CD8 effector T compartments and guard the body against autoimmunity in acquisition to being an optimistic regulator of apoptosis.

In Hodgkin's lymphoma, the plurality of anaplastic enormous compartment lymphomas, embryonal carcinomas, and primary cutaneous CD30 optimistic T-cell lymphoproliferative sicknesses, is established on Reed-Sternberg compartments. Anti-CD30 can sometimes stain B-cell lymphomas. Anti-CD30 staining highlights the Golgi zone in lymphomas, whereas embryonal carcinomas show membrane stains. Hepatocellular carcinomas, seminomas, and embryonal carcinomas have been documented as CD30-reactive non-lymphoid malignancies.

Examination

1) preparation of a serum

After gathering the whole blood, leave it undisturbed at room temperature to allow the blood to coagulate. In general, this brings ten to twenty minutes. Centrifuging at 2,000–3,000 rpm for twenty minutes will peel off the clump. If precipitates form while the sample is being reserved, centrifugation should be repeated.

2. preparation of plasma

Gather the entire blood and place it in tubes with an anticoagulant (EDTA or citrate). Pipes are centrifuged for twenty minutes at 2,000–3,000 rpm after being incubated at chamber temperature for ten-twenty  minutes. Take meticulous samples of the supernatant to use as plasma. If precipitates form while the sample is being reserved, centrifugation should be repeated.

3. Samples of urine

Fill aseptic tubes with urine collection. Centrifuging for 20 minutes at 2,000–3,000 rpm, carefully collect the supernatant. If precipitates form while the sample is being reserved, centrifugation should be repeated. Similar to how urine samples are prepared, cerebrospinal fluid and pleuroperitoneal fluid are also prepared.

4. Cell specimens

Culture supernatant should be collected into aseptic tubes if you want to identify the secretions of the cells. Centrifuging for 20 minutes at 2,000–3,000 rpm, carefully collect the supernatant. Cells should be diluted in PBS to 1X100/ml if intracellular components need to be detected (pH 7.2-7.4). By repeatedly freezing and thawing the cells, internal components were released and the cells were destroyed. Centrifuging for 20 minutes at 2,000–3,000 rpm, carefully collect the supernatant. If precipitates form while the sample is being reserved, centrifugation should be repeated.

5. Samples of tissue

For later usage, tissue samples are weighted, chopped into small pieces, frozen in liquid nitrogen, and kept at -80°C. After adding PBS, the tissue samples were homogenized (pH 7.4). Ideally, samples should be kept at 4 °C. Centrifuging for 20 minutes at 2,000–3,000 rpm, carefully collect the supernatant. For usage in the future in an ELan ISA assay, alan iquot is the supernatant.

Test Type IHC - Cluster Of Differentiation 30 (CD30)
Includes

IHC - Cluster of Differentiation 30 (CD30) Test (Pathology Test)

Preparation
Reporting

Within 24 hours*

Test Price ₹ 1150 ₹ 2300
Frequently Asked Questions
FAQ

Related Tests

Health Packages

Early check ups are always better than delayed ones. Safety, precaution & care is depicted from the several health checkups. Here, we present simple & comprehensive health packages for any kind of testing to ensure the early prescribed treatment to safeguard your health.

view all health packages