Login

Human Monocytic Ehrlichiosis

Human Monocytic Ehrlichiosis

Human Monocytic Ehrlichiosis

Book Human Monocytic Ehrlichiosis Appointment Online Near me at the best price in Delhi/NCR from Ganesh Diagnostic. NABL & NABH Accredited Diagnostic centre and Pathology lab in Delhi offering a wide range of Radiology & Pathology tests. Get Free Ambulance & Free Home Sample collection. 24X7 Hour Open. Call Now at 011-47-444-444 to Book your Human Monocytic Ehrlichiosis at 50% Discount.

₹ 30450 ₹ 15225

Request A Call Back

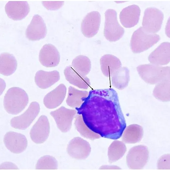
Human monocytic ehrlichiosis (HME) is a tick-borne bacterial infection caused by the bacterium Ehrlichia chaffeensis. It is transmitted to humans through the bite of infected ticks, primarily the lone star tick (Amblyomma americanum) in the United States, which is also a vector for other tick-borne diseases.

HME typically presents with non-specific flu-like symptoms, which may include fever, headache, muscle aches, chills, fatigue, and sometimes gastrointestinal symptoms such as nausea, vomiting, and diarrhea. In some cases, more severe symptoms such as respiratory distress, rash, and neurological manifestations may occur.

Diagnosis of HME is typically based on clinical evaluation, medical history, and laboratory tests. Blood tests, such as polymerase chain reaction (PCR) or serologic testing, can be used to detect the presence of Ehrlichia chaffeensis bacteria in the blood, and can help confirm the diagnosis.

Our Human Monocytic Ehrlichiosis Test Package Includes:

CBC 350 175
CRP 400 200
Giemsa Stain 350 175
X Ray Chest Scan 450 225
CECT Chest 7000 3500
Ultrasound Whole Abdomen 2000 1000
CECT Whole Abdomen 8400 4200
MRI Brain with contrast 11500 5750
Test Price 30450 15225

Test Type Human Monocytic Ehrlichiosis
Includes

Human Monocytic Ehrlichiosis

Preparation
Reporting

Within 24 hours* (Common Diseases)

Test Price ₹ 15225 ₹ 30450
Frequently Asked Questions
FAQ

Related Tests

Health Packages

Early check ups are always better than delayed ones. Safety, precaution & care is depicted from the several health checkups. Here, we present simple & comprehensive health packages for any kind of testing to ensure the early prescribed treatment to safeguard your health.

view all health packages