Login

Human Ewingii Ehrlichiosis

Human Ewingii Ehrlichiosis

Human Ewingii Ehrlichiosis

Book Human Ewingii Ehrlichiosis Appointment Online Near me at the best price in Delhi/NCR from Ganesh Diagnostic. NABL & NABH Accredited Diagnostic centre and Pathology lab in Delhi offering a wide range of Radiology & Pathology tests. Get Free Ambulance & Free Home Sample collection. 24X7 Hour Open. Call Now at 011-47-444-444 to Book your Human Ewingii Ehrlichiosis at 50% Discount.

₹ 22850 ₹ 11425

Request A Call Back

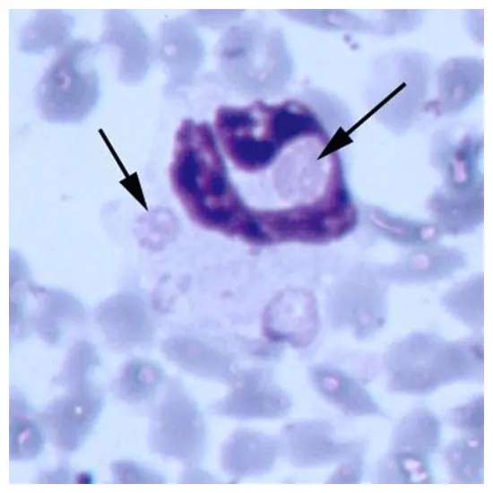
Human Ehrlichiosis caused by Ehrlichia ewingii, also known as human ewingii ehrlichiosis, is a tick-borne bacterial infection that affects humans. It is caused by the bacterium Ehrlichia ewingii, which is transmitted to humans through the bite of an infected tick.

Human ewingii ehrlichiosis is most commonly reported in the United States, particularly in the southeastern and central regions, where the lone star tick (Amblyomma americanum) is the primary vector for transmission. The symptoms of human ewingii ehrlichiosis can vary, but they typically include fever, headache, muscle aches, chills, fatigue, and sometimes rash. In some cases, more severe symptoms such as nausea, vomiting, abdominal pain, cough, and respiratory distress may occur.

Diagnosis of human ewingii ehrlichiosis is typically based on clinical evaluation, medical history, and laboratory tests. Blood tests, such as polymerase chain reaction (PCR) or serologic testing, can be used to detect the presence of Ehrlichia ewingii bacteria in the blood and can help confirm the diagnosis.

Our Human Ewingii Ehrlichiosis Test Package Includes:

Peripheral Blood Smear 200 100
CBC 350 175
CRP 400 200
Giemsa Stain 350 175
LFT 600 300
Ultrasound Whole Abdomen 2000 1000
X Ray Chest 450 225
CECT Chest 7000 3500
MRI Brain with contrast 11500 5750
Test Price 22850 11425

Test Type Human Ewingii Ehrlichiosis
Includes

Human Ewingii Ehrlichiosis (Common Diseases)

Preparation
Reporting

Within 24 hours*

Test Price ₹ 11425 ₹ 22850
Frequently Asked Questions
FAQ

Related Tests

Health Packages

Early check ups are always better than delayed ones. Safety, precaution & care is depicted from the several health checkups. Here, we present simple & comprehensive health packages for any kind of testing to ensure the early prescribed treatment to safeguard your health.

view all health packages