Login

Histopathology Biopsy: Large Complex/Cancer Specimen - Book Test at Low Cost

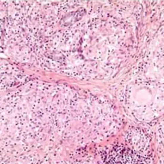
histopathology biopsy: large complex/cancer specimen

Histopathology Biopsy: Large Complex/Cancer Specimen

Book Histopathology Biopsy: Large Complex/Cancer Specimen Appointment Online Near me at the best price in Delhi/NCR from Ganesh Diagnostic. NABL & NABH Accredited Diagnostic centre and Pathology lab in Delhi offering a wide range of Radiology & Pathology tests. Get Free Ambulance & Free Home Sample collection. 24X7 Hour Open. Call Now at 011-47-444-444 to Book your Histopathology Biopsy: Large Complex/Cancer Specimen at 50% Discount.

₹ 5400 ₹ 2700

Request A Call Back

This test detects cancer by analyzing the cell shapes and regularities. This snags the level of malignancy.

Cytopathology is also known as Cytology. Diseases are easily diagnosed by this method. This can be used to diagnose illness in any part of the body. In this test, body fluid or a portion of tissue is taken by the physician for further examination.

Studying microorganisms like viruses, ruses, and other pathogens by electron microscopes have made treating diseases very effective.

What is Cancer?

Cancer is an ailment in which there is an uncommon expansion of cells, which circulates to other parts of the body.

Symptoms of cancer

  • Abnormal bleeding,
  • Lumps
  • Cough,
  • Change in bowel movements
  • Weight loss

Risk Factors of Cancer

  • Exposure to carcinogens
  • Excessive alcohol intake
  • Infections
  • Tobacco
  • Obesity
  • Poor diet

Causes of Cancer

In most cancers, 90–95% of cancer cases occur due to mutations of the genes from many environmental factors. And the remaining 5–10% of cancer occurs due to inherited genetics.

Environmental factors are

  • Obesity
  • Radiation
  • Infection
  • Pollution
  • Some substances are the reason for the cause of cancer. Such substances are known as Carcinogens

Diet

It plays an essential role in the causation of cancer. Poor diet and obesity are the primary factors causing cancer. Mainly demise happens due to excessive weight gain.

Physical activity is a must to control the risk of cancer; there are effects not only on body weight but also worsen the immune and endocrine systems. Some of the results of the diet are due to overeating, eating junk and unhealthy food rather than green vegetables and healthy food.

Infection

In our world, 18 percent of deaths are due to the spread of diseases.

>>Viruses are the primary causative agent of cancer.
>>Bacteria and parasites are also the agents that help spread cancer.

Viruses - Oncovirus

  • EB virus
  • Herpesvirus

Procedure

  • The sample is collected.
  • It is then mixed in 10% Saline, covering the entire selection.
  • Earlier this examination, a form is to be signed out by the patient.
  • The norm should be dispatched at chamber temperature.

Test Type Histopathology Biopsy: Large Complex/Cancer Specimen
Includes

Histopathology Biopsy : Large Complex/Cancer Specimen Test (Histopathology)

Preparation
Reporting

Within 24 hours*

Test Price ₹ 2700 ₹ 5400
Frequently Asked Questions
FAQ

Related Tests

Health Packages

Early check ups are always better than delayed ones. Safety, precaution & care is depicted from the several health checkups. Here, we present simple & comprehensive health packages for any kind of testing to ensure the early prescribed treatment to safeguard your health.

view all health packages