Login

Gram Stain for Bacterial Vaginosis Vaginal Swab Cost & Procedure

gram stain for bacterial vaginosis vaginal swab test

Gram Stain For Bacterial Vaginosis Vaginal Swab

Book Gram Stain For Bacterial Vaginosis Vaginal Swab Appointment Online Near me at the best price in Delhi/NCR from Ganesh Diagnostic. NABL & NABH Accredited Diagnostic centre and Pathology lab in Delhi offering a wide range of Radiology & Pathology tests. Get Free Ambulance & Free Home Sample collection. 24X7 Hour Open. Call Now at 011-47-444-444 to Book your Gram Stain For Bacterial Vaginosis Vaginal Swab at 50% Discount.

₹ 600 ₹ 300

Request A Call Back

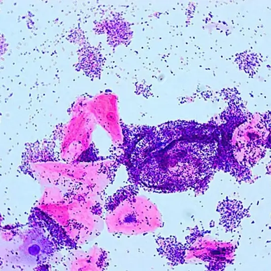
Many standard methods are used for gram staining of the vaginal discharge.

Gram staining helps access Typical gram-positive bacilli or abnormal gram-negative coccobacilli and rods.

The primary causative agent of Bacterial Vaginosis is Gardnerella Vaginalis. Mycoplasma hominis is also considered the agent causing Bacterial Vaginosis.

Vaginal Culture

The vaginal swabs are collected, then cultured on 5% blood agar, Sabouraud dextrose agar, and eosin methylene blue agar. The plates are then incubated(24–48 h) at 37°C. Positive cultures for Gardnerella vaginalis are the results of bacterial vaginosis.

The positive cultures will show the overgrowth of Gardnerella Vaginalis.

Vaginal Culture Test

A ‘fishy’ odor is the characteristic feature of bacterial vaginitis.

The whiff test is used for the confirmation of this condition.

In this test, a small amount of potassium hydroxide is added to the microscopic slide, which contains vaginal discharge.

A characteristic Fishy odor is the confirmation of the presence of this condition.

To check the acidity, A swab of discharge is put on the litmus paper.

Ph more significant than 4.5 is alkaline and thus results in bacterial vaginosis.

Bacterial vaginosis can also be confirmed by clue cells other than the whiff test.

The clue cells are the(epithelial) cells coated with the bacteria.

Placing a drop of sodium chloride solution on the slide, which contains vaginal discharge, helps detect the presence of clue cells.

Bacterial Vaginosis

It is the leading cause of the causation of vaginitis, a sexually transmitted disease. During the reproductive age, bacterial vaginosis is the most likely vaginal infection.

Symptoms

  • Vaginal discharge
  • Burning urination

Complications

  • urinary tract infection
  • preterm labor
  • Chorioamnionitis
  • Puerperal endometriosis
  • Pelvic inflammatory disease
  •  Cervical Dysplasia is one of the most common and important complications of bacterial Vaginosis

Causes

  • Bacterial vaginosis may cause a rise in sexually transmitted infections, such as HIV, and may cause complications during pregnancy.
  • Iron deficiency may cause bacterial Vaginosis during early pregnancy.
  • Bacterial Vaginosis is a risk factor for sexually transmitted infections, pelvic inflammatory disease, HIV infection

Differential diagnosis of Bacterial Vaginosis

  • Candidiasis
  • Normal vaginal discharge
  • Aerobic vaginitis 

Treatment-

Metronidazole and clindamycin are antibiotics used for the treatment of bacterial vaginosis.

These antibiotics are also preferred during the second and third trimesters of pregnancy.

To avoid reoccurrence, probiotics are used.

Test Type Gram Stain For Bacterial Vaginosis Vaginal Swab
Includes

Gram Stain for Bacterial Vaginosis Vaginal Swab (Gynaecology)

Preparation
Reporting

Within 24 hours*

Test Price ₹ 300 ₹ 600
Frequently Asked Questions
FAQ

Related Tests

Health Packages

Early check ups are always better than delayed ones. Safety, precaution & care is depicted from the several health checkups. Here, we present simple & comprehensive health packages for any kind of testing to ensure the early prescribed treatment to safeguard your health.

view all health packages