Login

Fatal Familial Insomnia

Fatal Familial Insomnia

Fatal Familial Insomnia

Book Fatal Familial Insomnia Appointment Online Near me at the best price in Delhi/NCR from Ganesh Diagnostic. NABL & NABH Accredited Diagnostic centre and Pathology lab in Delhi offering a wide range of Radiology & Pathology tests. Get Free Ambulance & Free Home Sample collection. 24X7 Hour Open. Call Now at 011-47-444-444 to Book your Fatal Familial Insomnia at 50% Discount.

₹ 47340 ₹ 23670

Request A Call Back

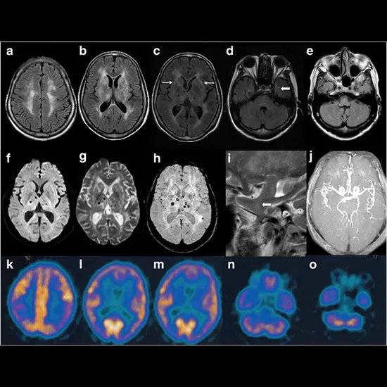
Fatal familial insomnia (FFI) is a rare and degenerative neurological disorder that affects the sleep-wake cycle and results in a wide range of symptoms, including insomnia, cognitive decline, and eventual death. FFI is inherited in an autosomal dominant manner, meaning that a person with a mutation in the responsible gene has a 50% chance of passing the condition on to their offspring.

The main hallmark of FFI is the progressive inability to sleep, which leads to severe insomnia that worsens over time. Other symptoms may include cognitive impairment, hallucinations, paranoia, weight loss, and autonomic dysfunction. As the disease progresses, patients may experience a complete inability to sleep, leading to a rapid decline in physical and mental health.

FFI is caused by a mutation in the PRNP gene, which leads to the accumulation of an abnormal form of the prion protein in the brain. Prions are misfolded proteins that can induce other normal proteins to adopt the abnormal conformation, leading to a cascade of pathological events in the brain.

Our Fatal Familial Insomnia Test Package Includes:

CBC 350 175
Urine Routine 110 55
Urine Culture 750 375
CSF Examination Routine 530 265
EEG 2200 1100
MRI Brain with contrast 11500 5750
MRI Spectroscopy 8000 4000
Brain PET Scan 23900 11950
Test Price 47340 23670

Test Type Fatal Familial Insomnia
Includes

Fatal Familial Insomnia (Common Diseases)

Preparation
Reporting

Within 24 hours*

Test Price ₹ 23670 ₹ 47340
Frequently Asked Questions
FAQ

Related Tests

Health Packages

Early check ups are always better than delayed ones. Safety, precaution & care is depicted from the several health checkups. Here, we present simple & comprehensive health packages for any kind of testing to ensure the early prescribed treatment to safeguard your health.

view all health packages