Login

Cytomegalovirus (CMV) DNA PCR Qualitative Test Cost & Procedure

Cytomegalovirus (CMV) DNA PCR Qualitative

Cytomegalovirus (CMV) DNA PCR Qualitative

Book Cytomegalovirus (CMV) DNA PCR Qualitative Appointment Online Near me at the best price in Delhi/NCR from Ganesh Diagnostic. NABL & NABH Accredited Diagnostic centre and Pathology lab in Delhi offering a wide range of Radiology & Pathology tests. Get Free Ambulance & Free Home Sample collection. 24X7 Hour Open. Call Now at 011-47-444-444 to Book your Cytomegalovirus (CMV) DNA PCR Qualitative at 20% Discount.

₹ 9600 ₹ 4800

Request A Call Back

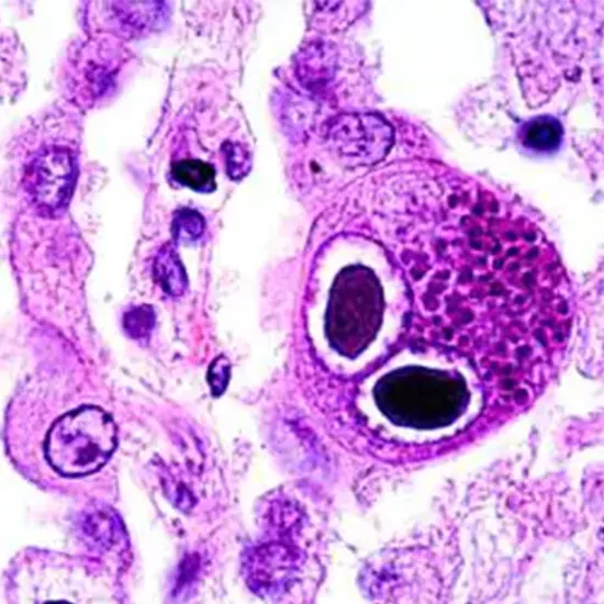
Particularly in CMV seronegative patients who receive organ transplants from seropositive donors, this technique is helpful for the quick qualitative detection of CMV DNA. It is also a good test for newborns who may have contracted a virus while still in the womb.

Why is this test recommended?

  • If someone has an active CMV infection, a cytomegalovirus (CMV) test can be done to confirm this.
  • In neonates and/or those with weakened immune systems, such as transplant recipients, cancer patients, those taking immunosuppressive medications, and those living with HIV, the CMV virus can result in serious sickness and consequences.
  • The amount of viral DNA in a person's sample can be found and measured using the molecular technique of polymerase chain reaction (PCR).
  • Testing may be qualitative, identifying CMV's existence or absence. This infection causes weariness, a weak immune system, a sore throat, fever, swollen lymph nodes, and cramping in the muscles.

Preparation for the qualitative Cytomegalovirus DNA PCR test:

The patient must give the doctor a brief history of any medications taken. Additionally, it is suggested that the patiefastsast for 12 hours before the test. The patient is encouraged to wear a loose-fit-sleeve-ever shirt or a sleeveless shirt for the blood test so that they can both be comfortable.

Applications of Cytomegalovirus and DNA PCR-Quality Test:

The test assists in identifying a symptomatic person's positive or negative IgG or IgM level. Negative CMV IgG and positive CMV IgM indicate recent infection.

Procedure for the qualitative Cytomegalovirus DNA PCR test:

  • A band is placed around the arm, ideally just below the elbow pit so that the vein may be seen easily.
  • Cleaning is done with 70% alcohol. A tiny prick is caused by the needle as it is put into the visible vein to collect the necessary amount of blood.
  • The nozzle transfers the collected blood into the blood container, and the syringe is promptly disposed of hygienically

Test Type Cytomegalovirus (CMV) DNA PCR Qualitative
Includes

Cytomegalovirus (CMV) DNA PCR Qualitative (Pathology Test)

Preparation
Reporting

Within 24 hours*

Test Price ₹ 4800 ₹ 9600
Frequently Asked Questions
FAQ

Related Tests

Health Packages

Early check ups are always better than delayed ones. Safety, precaution & care is depicted from the several health checkups. Here, we present simple & comprehensive health packages for any kind of testing to ensure the early prescribed treatment to safeguard your health.

view all health packages