Login

CT Enterography - Test, Procedure & Cost

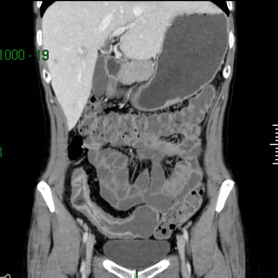
CT Enterography

CT Enterography

Book CT Enterography Appointment Online Near me at the best price in Delhi/NCR from Ganesh Diagnostic. NABL & NABH Accredited Diagnostic centre and Pathology lab in Delhi offering a wide range of Radiology & Pathology tests. Get Free Ambulance & Free Home Sample collection. 24X7 Hour Open. Call Now at 011-47-444-444 to Book your CT Enterography at 50% Discount.

₹ 14000 ₹ 7000

Request A Call Back

What is CT Enterography?

CT Enterography (Computerized Tomography Enterography) is an imaging test. It uses contrast media and provides detailed images of tissues and the structure of the small intestine. It is recommended to detect disorders of the small intestine such as inflammation, tumours, bowel obstructions and bleeding. It is helpful to check the efficacy of an intestinal disorder treatment. It is also performed if a patient is having symptoms of Crohn's disease such as diarrhoea, abdominal cramps, bleeding in stool etc.

Why is CT Enterography used?

A doctor prescribes CT Enterography for the mentioned below reasons.

  • Patient with the symptoms of Crohn’s disease such as diarrhoea, abdominal cramps, bleeding in stool etc.
  • To detect the various intestinal disorders such as inflammation, obstructions in the bowl, location of bleeding and tumour
  • To diagnose the severity of Crohn's disease
  • To monitor the efficacy of treatment of intestinal disorders.

How is CT Enterography performed?

CT Radiologist will explain the procedure of CT Enterography.

How can I prepare for CT Enterography?

The CT Enterography scan uses contrast media. So patients need to follow the instructions carefully for an accurate result.

  • Fasting of a minimum of 4 to 6 hours is required
  • Remove all types of jewellery and objects containing metals before the scan to prevent interference with the image.
  • Latest KFT report is required
  • In the case of Pregnancy, CT Enterography is not performed. So inform the doctor/radiologist/technologist about your pregnancy
  • Give detailed information to the doctor/radiologist/technologist about your medical history, medication you are taking, if you are breastfeeding if you are allergic

What is the price of a CT Enterography test scan?

The price of a CT enterography scan depends on the area and the healthcare facility. Patients can choose Ganesh Diagnostic Centre for affordable and quality tests. The price of a CT Enterography test in Delhi ranges from INR 7000 to INR 14000. 

Book CT Enterography Online at Ganesh Diagnostic Centre

To provide hassle-free diagnostic service we also provide online service to book your appointment. At Ganesh Diagnostic, you can book CT Enterography online by scheduling your appointment. Quick, non-invasive CT Scan appointment is available for detailed insights into your body. Schedule now for a comprehensive health assessment. We are 24/7 Open at your service.

Test Type CT Enterography
Includes

CT Enterography (CT Scans

Preparation
  • Remove the object that contains Metal, such as Jewellery, Hair Clips, Watches, Rings, or any other similar object from scanning part of the body, so as to avoid a bright or blank spot on the diagnostic film.
  • You must inform the technologist, radiology nurse, and/or physician if you have allergies, are pregnant, breastfeeding, or are on medication.
  • Minimum 4 hours fasting required.
  • You can drink water.
  • Latest (1 Week) Serum Creatinine or KFT report required.
  • Doctor’s Prescription.
  • Bring all documents related to medical history.
  • Carry your ID Proof.
Reporting

Within 4-6 hours*

Test Price ₹ 7000 ₹ 14000
Frequently Asked Questions
FAQ

CT Enterography test scan is the imaging tool to create detailed images of the small intestine and the surrounding area for the detection of abnormalities. The full form of CT is computed tomography in CT Enterography.

 

Do not avoid any symptoms related to the abnormalities of the small intestine issues like obstruction, pain etc. Patients should go for screening to avoid any delay in diagnosis and treatment of small intestine issues. CT enterography test scan involves contrast material and can take around 60-90 minutes.

 

CT Enterography scan is a painless procedure, but some patients may feel uncomfortable if they have claustrophobia (fear of closed spaces). There are no known side effects of CT Enterography. However frequent exposure to X-rays can trigger abnormalities in the neck.

 

CT Enterography test scan shows issues related to the small intestine like inflammation, infection, injury, cancer, obstruction etc. The price of the CT Enterography test scan typically ranges from INR 7,000 to INR 14,000 in Delhi NCR.

 

You can type CT Enterography test scan near me in Google search for the nearest centres available in Delhi NCR.

 

Related Tests

Health Packages

Early check ups are always better than delayed ones. Safety, precaution & care is depicted from the several health checkups. Here, we present simple & comprehensive health packages for any kind of testing to ensure the early prescribed treatment to safeguard your health.

view all health packages