Login

Chromosome Analysis Test Cost and Procedure

chromosome analysis (genetic disorders) test

Chromosome Analysis (Genetic Disorders)

Book Chromosome Analysis (Genetic Disorders) Appointment Online Near me at the best price in Delhi/NCR from Ganesh Diagnostic. NABL & NABH Accredited Diagnostic centre and Pathology lab in Delhi offering a wide range of Radiology & Pathology tests. Get Free Ambulance & Free Home Sample collection. 24X7 Hour Open. Call Now at 011-47-444-444 to Book your Chromosome Analysis (Genetic Disorders) at 50% Discount.

₹ 3200 ₹ 1600

Request A Call Back

Test for Chromosome Analysis

A genetic test known as a chromosomal analysis (pronounced "chro-mosoam") has been requested by your child's doctor. This test can reveal whether your child has the typical number of chromosomes or if there are differences in the size or structure of the chromosomes.

This test does not screen for every genetic disorder that might exist or provide details about a particular gene.

Many genes are stored on chromosomes. Our genes instruct our body's growth and function. Chromosomes are found inside every cell. The structures known as chromosomes house hundreds of genes.

How the body develops and functions is determined by the genes. Traits like our blood type, eye colour, and hair colour are all qualities that are encoded in our genes.

46 chromosomes, organised in 23 pairs, are typically present in each cell. The size and form of the male and female chromosomes should coincide in the first 22 pairs.

Because it reveals the genetic gender a person is born with, the final pair of chromosomes is known as the sex chromosome. The X chromosome is discovered in two copies in females. A guy possesses one X and one Y chromosome.

What This Test Will Show

An examination of the chromosomes can reveal:

More or fewer than 46 chromosomes, a sizable deletion or duplication of a chromosome, a sizable addition to an existing chromosome, or one or more chromosomes with an atypical structure. It is possible for a chromosomal fragment to be translocated or turned upside down (inversion).

Chromosome changes in terms of quantity or structure might result in birth abnormalities, developmental delays, or other health issues. There may be a higher chance of miscarriage or birth abnormalities in subsequent pregnancies when a person has an atypical chromosomal structure.

How to Take the Test

Typically, a blood sample is used for chromosome analysis. It is occasionally significant to examine tissue, for example skin, or amniotic fluid (fluid from inside the womb).

The cells will prematurely be grown in a lab utilising specific chemicals. The chromosomes in the cells are dyed with a dye once enough cells have grown to give them a striped or banded appearance. When seen under a microscope, this makes them easier to distinguish.

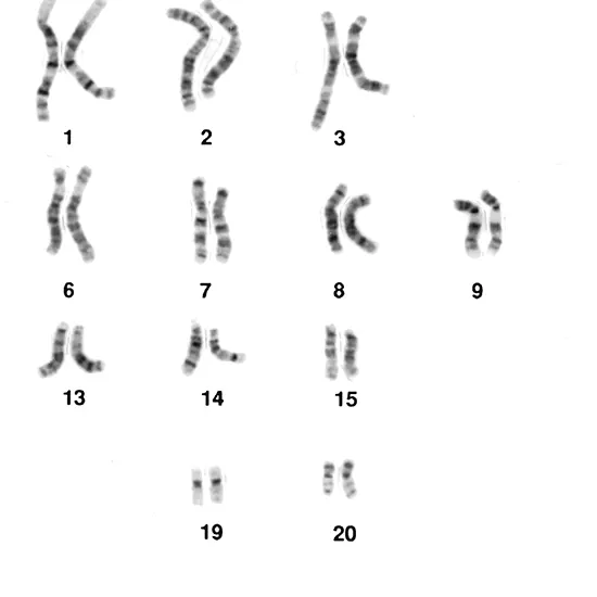
The chromosomes are first examined under a microscope by the technician, after which a camera attached to the microscope is used to take pictures of all the chromosomes in one cell. The chromosomes are paired and organised by size utilising a computer imaging tool. A karyotype is a representation of the chromosomes (CARE-ee-o-type).

After the Test

The test results will be discussed with you by your doctor. Further genetic testing may occasionally be required. Ask your genetic counsellor or the provider who ordered this test if you have any questions..

Test Type Chromosome Analysis (Genetic Disorders)
Includes

Chromosome Analysis (Genetic Disorders) Test (Pathology)

Preparation
Reporting

Within 24 hours*

Test Price ₹ 1600 ₹ 3200
Frequently Asked Questions
FAQ

Related Tests

Health Packages

Early check ups are always better than delayed ones. Safety, precaution & care is depicted from the several health checkups. Here, we present simple & comprehensive health packages for any kind of testing to ensure the early prescribed treatment to safeguard your health.

view all health packages