Login

Chromoblastomycosis Test Package at Affordable Price

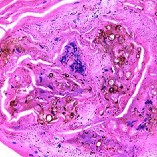
chromoblastomycosis

Chromoblastomycosis

Book Chromoblastomycosis Appointment Online Near me at the best price in Delhi/NCR from Ganesh Diagnostic. NABL & NABH Accredited Diagnostic centre and Pathology lab in Delhi offering a wide range of Radiology & Pathology tests. Get Free Ambulance & Free Home Sample collection. 24X7 Hour Open. Call Now at 011-47-444-444 to Book your Chromoblastomycosis at 50% Discount.

₹ 7590 ₹ 5595

Request A Call Back

Chromoblastomycosis(chromomycosis) is an uncommon and severe  fungal infection that affects the skin and subcutaneous tissues. It is caused by several species of fungi belonging to the order Chaetothyriales, including Fonsecaea spp., Phialophora spp., and Cladophialophora spp. These fungi are found in soil and decaying vegetation in tropical and subtropical regions.

Chromoblastomycosis usually occurs through the inoculation of fungal spores into the skin through a traumatic injury, such as a cut or scratch. The infection typically presents as slowly developing, warty or nodular skin lesions that can ulcerate and become crusted. The affected areas may be disfiguring and can cause discomfort or pain. In some cases, the infection can spread to deeper tissues and involve lymph nodes.

Chromoblastomycosis Test Package Includes:

 Fungus Culture Examination 320 160
 Fungus, Direct Examination KOH Preparation (Skin, Hair or Nails) 600 300
 Fungal Examination, Routine KOH Preparation 320 160
 CBC 350 175
 Whole Body Bone Scan 6000 4800
 Total  Price       7590 5595

Diagnosis of chromoblastomycosis is usually confirmed through microscopic examination of skin scrapings or biopsy samples, which reveal characteristic brown, thick-walled, spherical or muriform (multicellular) fungal structures. Fungal culture and molecular methods may also be used for identification of the causative fungi.

Test Type Chromoblastomycosis
Includes

Chromoblastomycosis (Common Diseases)

Preparation
Reporting

Within 24 hours*

Test Price ₹ 5595 ₹ 7590
Frequently Asked Questions
FAQ

Related Tests

Health Packages

Early check ups are always better than delayed ones. Safety, precaution & care is depicted from the several health checkups. Here, we present simple & comprehensive health packages for any kind of testing to ensure the early prescribed treatment to safeguard your health.

view all health packages