Login

CECT Sella - Test, Procedure & Cost

CECT Sella

CECT Sella

Book CECT Sella Appointment Online Near me at the best price in Delhi/NCR from Ganesh Diagnostic. NABL & NABH Accredited Diagnostic centre and Pathology lab in Delhi offering a wide range of Radiology & Pathology tests. Get Free Ambulance & Free Home Sample collection. 24X7 Hour Open. Call Now at 011-47-444-444 to Book your CECT Sella at 50% Discount.

₹ 6000 ₹ 3000

Request A Call Back

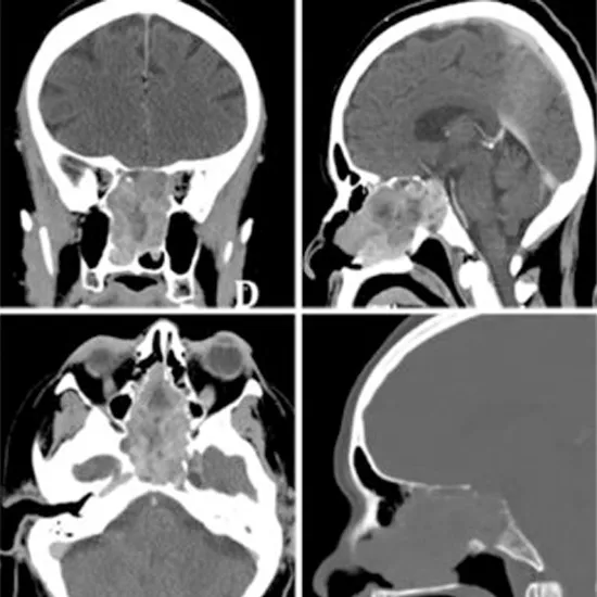
A CECT Sella (Contrast-Enhanced Computed Tomography of the Sell) is an imaging procedure that uses highly focused radiation and contrast media to obtain cross-sectional images of the pituitary sella. Pituitary Sella is a small and bony nook at the base of the skull that protects the brain. It helps in diagnosing and detecting the abnormalities in the sella.

Why is CECT Sella Done?

Doctors recommend a CECT Sella for diagnosing the problems related to pituitary sella and its associated symptoms.

  • The shrunken and flattened pituitary gland
  • The cause of hemianopsia
  • Existence of Empty Sella
  • Existence of tumors or any other conditions affecting the sella turcica.

What is the procedure for CECT Sella?

CT Radiologist will explain to you the procedure for CECT Sella.

In Which case, CECT Sella is not performed?

In case of pregnancy, the CECT Sella procedure is not performed. As radiations from CT Scanner may affect the fetus. So, Pregnant ladies should notify the doctor/radiology nurse/technologist before the procedure if they are pregnant or if there is a chance of being pregnant.

Cost of CECT Sella

CECT Sella cost near me in Delhi varies, it depends on the techniques used by the diagnostic centre and location. It usually ranges from INR 2250 to INR 4500.

Book CECT Sella online at Ganesh Diagnostic Centre

To provide hassle-free diagnostic service we also provide online service to book your appointment. At Ganesh Diagnostic, you can book CECT Sella Test online by scheduling your appointment. Quick, non-invasive CT Scan appointment is available for detailed insights into your body. Schedule now for a comprehensive health assessment. We are 24/7 Open at your service.
 

Test Type CECT Sella
Includes

CECT Sella (CT Scan)

Preparation
  • Remove the object that contains Metal, such as Jewellery, Hair Clips, Watches, Rings, or any other similar object from scanning part of the body, so as to avoid a bright or blank spot on the diagnostic film.
  • You must inform the technologist, radiology nurse, and/or physician if you have allergies, are pregnant, breastfeeding, or are on medication.
  • Minimum 4 hours fasting required.
  • You can drink water.
  • Latest (1 Week) Serum Creatinine or KFT report required.
  • Doctor’s Prescription.
  • Bring all documents related to medical history.
  • Carry your ID Proof.
Reporting

4-6 Hours

Test Price ₹ 3000 ₹ 6000
Frequently Asked Questions
FAQ

Related Tests

Health Packages

Early check ups are always better than delayed ones. Safety, precaution & care is depicted from the several health checkups. Here, we present simple & comprehensive health packages for any kind of testing to ensure the early prescribed treatment to safeguard your health.

view all health packages