toto toto slot
CECT Guided FNAC | Test Price in Delhi | Ganesh Diagnostic

Login

CECT Guided FNAC - Test, Procedure & Cost

cect guided fnac

CECT Guided FNAC

Book CECT Guided FNAC Appointment Online Near me at the best price in Delhi/NCR from Ganesh Diagnostic. NABL & NABH Accredited Diagnostic centre and Pathology lab in Delhi offering a wide range of Radiology & Pathology tests. Get Free Ambulance & Free Home Sample collection. 24X7 Hour Open. Call Now at 011-47-444-444 to Book your CECT Guided FNAC at 50% Discount.

₹ 10000 ₹ 5000

Request A Call Back

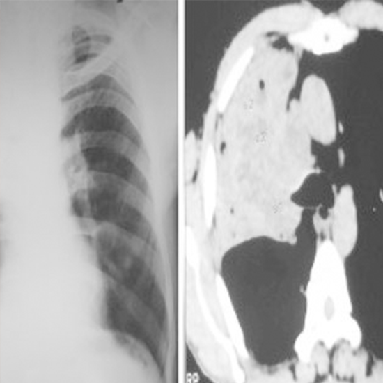
What is CECT-guided FNAC?

It is possible to remove cells from the target region using a pinhole non-invasive diagnostic process called CECT-guided Fine Needle Aspiration Cytology (CECT-guided FNAC) and examine them under a microscope for confirmation and diagnosis. A thin needle or syringe is used to remove cells from target areas (such as the breast, skin, or any soft tissue) through the skin while being guided by a CECT scan to reduce the chance of error.

Why is CECT Guided FNAC Done?

  • cancer detection and diagnosis in deep-seated organs that cannot be reached through invasive surgical methods
  • to assess cancer's recurrence after treatment and keep track of how well chemotherapy is working for malignancies that have already been diagnosed FNACd
  • To recognize a benign (local) tumour from a malignant malignancy (spreading cancer)
  • to identify cancers of the lymph nodes, colon, rectum, breast, prostate, skin, blood, and/or colon
  • to track the definition and development of cancer's stages (stage I - stage IV)

What is the procedure for CECT-guided FNAC?

A cytologist examines the obtained cell sample under a microscope. Cells are categorized as benign or malignant based on their composition and physical characteristics (cancerous). Additionally, cancer staging is a possibility. So, take the test to stop cancer from spreading.

What is the Cost of CECT Guided FNAC

The cost of CECT Guided FNAC near me in Delhi ranges from INR 5000 to INR 10000.

How to Book CECT Guided FNAC online at Ganesh Diagnostic Centre

To provide hassle-free diagnostic service we also provide online service to book your appointment. At Ganesh Diagnostic, you can book the CECT Guided FNAC Test online by scheduling your appointment. Quick, non-invasive CT Scan appointment is available for detailed insights into your body. Schedule now for a comprehensive health assessment. We are 24/7 Open at your service.

Test Type CECT Guided FNAC
Includes

CECT Guided FNAC Test (CT Scan)

Preparation
Reporting

Within 24 hours*

Test Price ₹ 5000 ₹ 10000
Frequently Asked Questions
FAQ

CECT-guided FNAC is a diagnostic procedure that is used to remove the targeted liaison using a pinhole. The full form of FNAC is Fine Needle Aspiration Cytology.

 

When cancer is deep-seated in the organ and is not reached through invasive surgical methods. There are various risks associated with  CT-guided FNAC like bleeding, infection, allergic reaction, and injury etc. 

 

A CECT-guided FNAC scan is a painful procedure, but anaesthesia is given to numb the area. You can click on the Ganesh Diagnostic Centre website to download the report of the CT-guided FNAC test or get the report on a registered WhatsApp number. 

 

You can type CT-guided FNAC Reconstruction scan test centre near me in Google search for the nearest centres available.

 

Related Tests

Health Packages

Early check ups are always better than delayed ones. Safety, precaution & care is depicted from the several health checkups. Here, we present simple & comprehensive health packages for any kind of testing to ensure the early prescribed treatment to safeguard your health.

view all health packages