Login

Bone Marrow Biopsy Decalcification Test Cost & Procedure

Bone Marrow Biopsy Decalcification

Bone Marrow Biopsy Decalcification

Book Bone Marrow Biopsy Decalcification Appointment Online Near me at the best price in Delhi/NCR from Ganesh Diagnostic. NABL & NABH Accredited Diagnostic centre and Pathology lab in Delhi offering a wide range of Radiology & Pathology tests. Get Free Ambulance & Free Home Sample collection. 24X7 Hour Open. Call Now at 011-47-444-444 to Book your Bone Marrow Biopsy Decalcification at 50% Discount.

₹ 990 ₹ 495

Request A Call Back

Your doctor may carry out a biopsy to rule out cancer, blood problems, and many other conditions that could damage your bone marrow. The surgery takes around 30 minutes, and there is typically no hospital stay required.

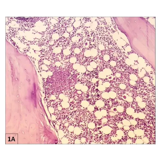
Decalcified sections are used to examine the bone marrow and to diagnose infections, tumours, and other conditions. The samples may come from dissected amputation specimens, iliac crest trephines, or bone fragments taken out during surgery (such femoral heads)

Bone Marrow Trephine Biopsy Specimen Sections Staining. Haematoxylin and eosin (H&E) and reticulin should be routinely stained on bone marrow sections using a silver impregnation technique. Romanowsky dyes like May-Grünwald-Giemsa and Perls' reaction can also be used to stain sections.

What are the three stains that are used to examine bone marrow smears?

Romanowsky stains, such as May-Grünwald-Giemsa, Wright-Giemsa, or aqueous-based Wright, can be used to stain bone marrow films.

By your hip, this bone is located in your lower back. These 2 operations are frequently carried out concurrently by doctors. Together, they are referred to as a bone marrow examination.

Your bone marrow's ability to produce healthy levels of blood cells can be determined through a bone marrow biopsy or aspiration. A biopsy may be carried out by your doctor to rule out cancer, blood problems, and many other conditions that could damage your bone marrow.

How serious is a bone marrow biopsy?

Bone marrow biopsies are often risk-free, but there is a chance that anything could go wrong. Bruising and soreness at the location of the biopsy are two of the more frequent issues. The biopsy site has been bleeding for a while.

To be sure, check with your healthcare team in advance.

Talking points to bring up with your medical staff. Before your treatment, you might not be able to take some drugs, such as blood thinners. Inform your medical staff of all prescription drugs and dietary supplements you take. Inquire if you should take them the day of your treatment. Any test-related worries you may have should also be brought up.

Ask how much of the procedure's costs will be covered by insurance and how much you will be required to pay.

Consent. When you show up for the procedure, the doctor's office or hospital will require you to sign a consent form. The form also includes a consent section.

Throughout the process

Where is the procedure going to happen?

Bone marrow aspiration and biopsy operations are carried out by medical professionals in a hospital, clinic, or their office.

How much time will the process require?

Together, the two operations typically take 30 minutes.

Test Type Bone Marrow Biopsy Decalcification
Includes

Bone Marrow Biopsy Decalcification (Pathology Test)

Preparation
Reporting

Within 24 hours*

Test Price ₹ 495 ₹ 990
Frequently Asked Questions
FAQ

Related Tests

Health Packages

Early check ups are always better than delayed ones. Safety, precaution & care is depicted from the several health checkups. Here, we present simple & comprehensive health packages for any kind of testing to ensure the early prescribed treatment to safeguard your health.

view all health packages