A type of lung illness brought on by a virus is viral pneumonia. The condition arises when a virus infects the lungs and inflames the air sacs, making it challenging for oxygen to get through.
A type of lung illness brought on by a virus is viral pneumonia. The condition arises when a virus infects the lungs and inflames the air sacs, making it challenging for oxygen to get through. Many viruses, such as the influenza virus, the respiratory syncytial virus (RSV), the adenovirus, and coronaviruses like SARS-CoV-2, which causes COVID-19, can cause this kind of pneumonia.
Although viral pneumonia can strike anybody, it is more likely to be severe in elderly individuals, children, and those with compromised immune systems.
Past Of The Disease.
In about 460 BC, Hippocrates recorded the first case of pneumonia.
Louis Pasteur and George Sternberg discovered Streptococcus pneumoniae as the pneumonia-causing agent in 1881.
In the late 19th century, the first pneumonia vaccinations were created.
When they were discovered in the 1940s, antibiotics completely changed how bacterial pneumonia was treated.
The HIV epidemic in the 1980s resulted in an upsurge in opportunistic viral infections.
As coronaviruses like SARS-CoV-1, MERS-CoV, and SARS-CoV-2 have caused global pandemics of viral pneumonia in recent years, the disease has received renewed attention.
Steering Into Its Epidemiology
People of all ages can get pneumonia, a frequent and deadly lung infection.
Pneumonia is thought to affect 450 million people annually worldwide.
Pneumonia is the most frequent cause of death in children under the age of five worldwide.
Pneumonia is the eighth-leading cause of death nationwide in the US.
The incidence of pneumonia is higher in older people and in people with underlying medical conditions like diabetes or lung disease.
By getting vaccinated, practicing proper hygiene, and limiting exposure to tobacco smoke and air pollution, one might lessen their risk of developing pneumonia.
Concern over the rise of pneumonia-causing bacteria strains that are resistant to antibiotics has grown in recent years, emphasizing the CECT Chest significance of prudent antibiotic usage and infection control measures.
Navigating Pathogenesis
The infectious agents that can cause pneumonia include bacteria, viruses, fungi, and parasites.
The majority of the time, pneumonia starts when these infections get into the lungs and infect the alveoli, the little air sacs where oxygen is exchanged.
The infection makes it difficult for oxygen to get through the alveoli by inflaming them and causing a fluid accumulation.
Symptoms including coughing, fever, shortness of breath, and chest pain may come from this.
Pneumonia can range in severity based on the infectious agent, the patient's age, general health, and other factors.
Bacterial pneumonia can be especially harmful because it can spread quickly and create toxins that harm lung tissue and cause sepsis.
In some instances, pneumonia can result in problems like respiratory failure, lung abscesses, and pleural effusion (fluid accumulation around the lungs).
Antibiotics, antiviral drugs, or antifungal drugs are typically used to treat pneumonia when a bacterial, viral, or fungal infection is the cause (if the cause is fungal).
In extreme cases, supportive treatment may also be required, including mechanical breathing and oxygen therapy.
Revealing The Threats.
Age-related risk factors
Pneumonia is more likely to occur in infants and young children (under 5 years old), especially from viral and bacterial infections.
Moreover, older persons (those over 65) are more likely to acquire pneumonia, particularly from bacterial infections.
Underlying medical issues
- Pulmonary illness with chronic obstruction (COPD).
- Asthma.
- Heart disease and diabetes.
- HIV/AIDS or other immune-compromising conditions.
- Cancer or immune system-damaging cancer treatments.
- Persistent liver disease.
- Long-term kidney disease.
Occupational risk factors
- Exposure to secondhand smoke or smoking.
- Abuse of alcohol.
- Malnutrition.
Additional danger variables
- Recent medical procedure or hospital stay.
- Mechanical ventilation is used.
- Using immunosuppressive drugs.
- Exposure to environmental elements like air pollution or certain substances.
Landing Into The Causes.
Respiratory viruses
- Influenza viruses (types A and B)
- Respiratory syncytial virus (RSV)
- Adenovirus
- Human metapneumovirus (HMPV)
- Rhinovirus
- Enterovirus
Coronaviruses
- SARS-CoV-1 (severe acute respiratory syndrome coronavirus 1)
- MERS-CoV (Middle East respiratory syndrome coronavirus)
- SARS-CoV-2 (severe acute respiratory syndrome coronavirus 2, which causes COVID-19)
Other viruses:
- Varicella-zoster virus (VZV)
- Measles virus
- Herpes simplex virus (HSV)
- Epstein-Barr virus (EBV)
Finding Out Signs and Symptoms
Breathing problems
- Coughing that may be productive or dry (producing mucus).
- Respiratory Issues or shortness of breath.
- Quickly breathing (in children).
General signs
- Fever, which may indicate a bacterial pneumonia infection.
- Cold and perspiring.
- Weakness.
- Chest pain, especially while coughing or inhaling deeply.
Further signs
- Headache.
- Muscle ache.
- Unwell throat.
- Runny nose or congestion in the nose (in some cases).
Discovering The Diagnosis.
Physical examination
Your doctor will use a stethoscope to listen to your lungs for any odd sounds, such as crackling or wheezing, that could indicate pneumonia. Look out for any signs of an infection, such as a fever or an accelerated heartbeat.
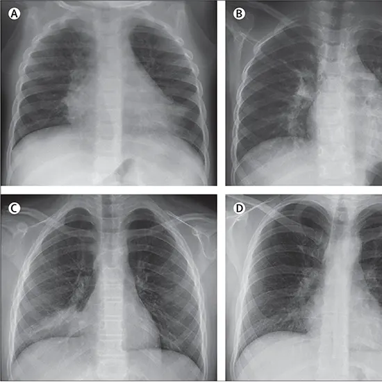
Chest X-ray
By identifying the size and location of the infection, a chest X-ray can help confirm the diagnosis of pneumonia.
Blood tests
Blood tests can assist identify the infection's origin and assess the illness's severity. A high white blood cell count, Arterial Blood Gas for instance, may signify a bacterial infection, whereas a low lymphocyte count, perhaps a viral infection.
Sputum culture
If you cough up sputum (mucus), your doctor may collect a sample to check for bacteria or other germs that could be the infection's cause.
Bronchoscopy
In some circumstances, your doctor may use a bronchoscope (a flexible tube with a camera) to examine the fluid or tissue in your lungs and take a sample for testing.
What Can Be Treatment Plan?
Antibiotics
If pneumonia is brought on by bacteria, your doctor will probably recommend taking antibiotics. To ensure that the infection is completely cured, it is essential to take the antibiotics as prescribed, even if you start to feel better.
Antivirals
Antiviral drugs may be provided if a viral infection is the cause of the pneumonia. Antiviral medication, however, typically only works when it is used soon after the onset of symptoms.
Supportive treatment
In addition to medication, this type of care can lessen symptoms and hasten the healing process. Rest, water consumption, and over-the-counter painkillers can all be part of this.
Hospitalization
It is occasionally required, particularly when the pneumonia is severe or the patient has underlying medical issues. Hospitalized patients may get oxygen therapy, intravenous (IV) fluids, and drugs, as well as various forms of supportive care.
What If Left Untreated?
Respiratory failure
When pneumonia is severe, the body's ability to absorb oxygen from the air may be compromised, which can result in respiratory failure.
Sepsis
A bacterial infection brought on by pneumonia may CBC Test spread throughout the bloodstream and result in sepsis, a condition that poses a serious risk of death.
Lung abscess
A pus-filled pocket (abscess) can occasionally develop in the lung, necessitating further care such as drainage or surgery.
Pleural effusion
As fluid accumulates around the lungs as a result of pneumonia, breathing may become difficult and drainage may be required.
Acute respiratory distress syndrome (ARDS)
It is a serious pneumonia consequence in which the lungs swell up with fluid, causing respiratory failure.
Other complications
Dehydration, electrolyte imbalances, and cardiac issues are just a few of the other consequences that pneumonia can bring on.
Difference between viral and bacterial pneumonia.
Causes
In contrast to viral pneumonia, which is brought on by a virus, bacterial pneumonia is brought on by bacteria.
Symptoms
The signs and symptoms of bacterial pneumonia may include a high fever, fast breathing, chest pain, and a cough with thick, discolored phlegm. Dry cough, fever, exhaustion, and shortness of breath are classic signs of viral pneumonia.
Beginning
Viral pneumonia may develop more slowly over several days, whereas bacterial pneumonia frequently starts rapidly and is denoted by an immediate beginning of manifestation.
Treatment
Antibiotics are often used to treat bacterial pneumonia, whereas supportive care measures like rest, fluids, and over-the-counter pain relievers are used to treat viral pneumonia.
Prognosis
Generally speaking, bacterial pneumonia is more harmful than viral pneumonia and can result in more serious consequences. Yet, depending on each occurrence, both types of pneumonia might vary in severity.
Contagiousness
In general, bacterial pneumonia is less contagious than viral pneumonia in terms of transmission. Yet, since both varieties of pneumonia can be transmitted through respiratory droplets, it's critical to maintain proper cleanliness to stop the spread of the disease.
Don't Let Viral Pneumonia Knock You Down : Take Action Today.

