An optic nerve glioma is a kind of brain tumour. There is more than one sort of brain tumour. Typically, every kind of tumour is named after the types of cells it affects. Most optic nerve gliomas are regarded as low-grade and...
An optic nerve glioma is a kind of brain tumour. There is more than one sort of brain tumour. Typically, every kind of tumour is named after the types of cells it affects. Most optic nerve gliomas are regarded as low-grade and don’t develop as rapidly as different kinds of brain tumours.
They are determined in the optic chiasm, the place the left and proper optic nerves cross. They are additionally referred to as optic glioma or juvenile pilocytic astrocytoma. An optic nerve glioma is an uncommon form of most cancers that are commonly sluggish developing and is observed in children.
It is not often located in persons over the age of 20. It has additionally been related to the genetic sickness neurofibromatosis kind 1, or NF1.
What is Optic Nerve Glioma?
An optic pathway glioma is another name for a glioma of the optic nerve. Glial cells in the brain maintain and feed the neurons in your brain, and these cells are the source of optic gliomas. They develop close to the optic nerve in your eye, which attaches your eye to your brain.
As it develops, an optic glioma may press into your eye, impairing your vision and perhaps resulting in blindness. The alterations in eyesight might not first be noticeable because they develop so slowly.
Optic nerve glioma is a slow-growing tumour, which generally impacts children. 30% of sufferers have related NF1; these have higher prognoses. Malignant gliomas (glioblastoma) are uncommon and nearly usually happen in person with a very negative prognosis & positive death within one year.
Explore the Pathology of Optic Nerve Glioma:
The intradural lesion in removed tumours is smooth and fusiform in appearance. These tumours might also seem solid, gelatinous, or cystic under the microscope.
Although they exhibit some superficial similarities to oligodendrocytes, closer microscopy, ultrastructural, and immunostaining techniques have shown that they also contain numerous Rosenthal's fibres and are composed of low-grade spindle-shaped pilocytic (hair-like) astrocytes and glial filaments.
Arachnoid hyperplasia and mucus material are further histologic findings. Cancer may potentially originate at the optic nerve's anterior termination and travel backwards inside the skull, or it may start at the optic nerve-chiasmal junction.
The chiasma and the optic nerve may occasionally be secondary locations for gliomas that originate in the optic tract or the area of the anterior third ventricle. 60% of pilocytic and 40% of fibrillary optic pathway astrocytomas, respectively, are present.
Hypothalamic tumours which have invaded the optic chiasm behave differently, displaying proof of nearby invasion and histologically are no longer ever comparable to different cerebral hemisphere gliomas.
Some Epidemiological Facts about Optic Nerve Glioma:
Optic pathway gliomas normally present in children, accounting for 10-15% of supratentorial tumours in this age group, and are often in the placing of neurofibromatosis type 1 (NF1) (10-63%). In this setting, the tumours are regularly low-grade and indolent.
Males and females are equally affected by optic nerve glioma. In adults, optic nerve gliomas do manifest but are very rare and commonly aggressive tumours. In such cases, no association with NF1 has been located.
What is the Aetiology of Optic nerve glioma?
Optical gliomas are uncommon. Optic gliomas have no recognised cause. The majority of paediatric optic gliomas are slow-growing, benign (noncancerous), and present before the age of 20. Most instances are identified by the age of five.
Neurofibromatosis type 1 and optic glioma have a high correlation. (NF1).
Optic pathway gliomas (OPG) are low-grade neoplasms set up from the pre-cortical optic pathways.
OPG can involve the optic nerve, optic chiasm, optic tracts, optic radiations, or the hypothalamus.
These neoplasms may arise sporadically or in association with neurofibromatosis type 1 (NF1). When in affiliation with NF1, neurofibromin, a tumour suppressor on chromosome 17q, is inactivated.
This turns on the RAS signalling pathways, resulting in RAS-induced tumours. When arising sporadically, the most frequent genetic alteration identified is a BRAF-KIAA1549 fusion.
Let's Explore the Symptoms of Optic Nerve Glioma-
Depending on which parts of the brain are affected, brain tumours like optic glioma can produce a variety of symptoms. Vision issues in the case of an optic glioma may be related to other medical diseases or worries. In addition to vision issues, typical signs include:
- The eyeball protrudes from the socket more than it should.
- Hormone issues such as early puberty, unexplained weight gain or loss, or irregular growth.
- Endocrine issues such as experiencing frequent urination
Some other symptoms of Optic Nerve Glioma:
Absence of Vision
- Children frequently don't complain about losing their vision. Overall, 85% of glioma patients will experience some vision loss, and over time, 25% will continue to have vision between 20/20 and 20/40.
- In about 60% of patients, eyesight will deteriorate to 20/300 or worse. Where visual field evaluation is practicable, patients may also have visual field deficits in addition to afferent pupillary deficiencies.
- Fundoscopic examination reveals optic nerve atrophy in 60% of patients and optic disc oedema in 50% of intraorbital tumours. Optic nerve oedema will be present in 20% of patients with chiasmal tumours and these patients will also have orbital optic nerve involvement.
Proptosis
- The most typical presenting sign in patients with gliomas is proptosis, which is present in 95% of individuals. When the tumour is contained to the optic chiasm, which occurs in less than 20% of patients, it is less common to notice it than with optic nerve gliomas.
- The optic nerve is virtually always concurrently involved when proptosis is observed in patients with optic chiasm gliomas.
- Ocular motility restriction is a rare symptom of optic nerve gliomas. In 20% of individuals with chiasmic optic nerve gliomas and 30% of orbital optic nerve glioma patients, there may be a restriction in ocular mobility
Headache/Pain
- Even though it only occurs in around 30% of patients with OPG, headache is the most typical presenting symptom, typically with chiasmal involvement.
- Convulsions, nausea, vertigo, strabismus, developmental regression, and growth retardation are other symptoms and indicators.
- When the tumour leaves the chiasm, hydrocephalus may form. In addition to precocious puberty, growth hormone insufficiency, and deficiencies of gonadotropin, TSH, and ACTH, these patients may also experience hypothalamic-pituitary dysfunction.
Your child is more likely to develop an optic pathway glioma if they have neurofibromatosis type 1 (NF1). 15% of kids with the condition have this sort of tumour. However, this particular type of optic glioma typically stops developing and disappears on its own without the need for treatment at some point.
Findings of an Optic Nerve Glioma
History
Patients with optic pathway gliomas most regularly present in the first decade with a median age of 6.5 years, with slowly progressive visible loss, followed later by proptosis (although this sequence may additionally occasionally be reversed).
Acute visual loss due to haemorrhage into a tumour is uncommon. Initial signs and symptoms and symptoms of malignant gliomas include extreme retro-orbital pain, unilateral or bilateral vision loss, and, typically, massive swelling haemorrhage rage of the optic nerve head (although disc pallor can also also be observed with posterior lesions).
Physical examination
Afferent pupillary defects and gradual, painless, unilateral proptosis-related complete vision are frequent presentations. Proptosis frequently has temporal or inferior dystopia and is non-axial. Initially enlarged, the optic nerve head eventually becomes atrophic as a result.
Occasionally, optociliary collaterals and Central Retinal Vein Occlusion are observed. Rarely occurs intracranial unfolding to the hypothalamus or chiasm. Hypothalamus-pituitary gland dysfunction as well as intracranial hypertension may be linked to intracranial involvement.
Computer Tomography scans
In sufferers with associated NF1, there is typically a fusiform growth of the optic nerve with a clear-cut margin produced by an intact dural sheath. In sufferers, without NF1, the nerve may be greater irregular and have a low-density area. CT Head with Orbit scan is performed to look inside the head and orbit area.
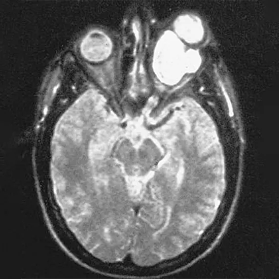
Magnetic resonance imaging scans
Often reveal enlargement, kinking, and buckling of the optic nerve. The nerve is enlarged and fusiform in shape because of the attachment of the investing dura to the periosteum of the optic canal. MRI brain scan may exhibit cystic degeneration if present.MRI is useful in showing intracranial extension.
Managing Optic Nerve Glioma: Approaches and Therapies
Surgery
Surgery is not always used to treat optic pathway gliomas since there is a chance that delicate tissues will be harmed. Clinicians might advise surgery to preserve vision in the better eye if a patient has visual issues in one eye.
Chemotherapy
Chemotherapy is used to reduce the size of cancer and stabilize or improve the patient's vision. Since the response rates for nearly all chemotherapy medications and drug combinations range from 50% to 70%, the patient's age will influence the specific application. Although chemotherapy reduces the tumour, tumour progression occurs in up to 60% of children after 5 years.
Vincristine and carboplatin make up the most popular combination treatment, with 3-5 years progression-free survival (PFS) rates of 77–69%, albeit these figures come from studies where the illness had already spread past the optic nerve. Other cisplatin and etoposide regimens have been reported to have 3-year PFS up to 78%. Recently, monotherapy with the drugs temozolomide (TMZ), vinblastine, and vinorelbine has been used successfully and with few side effects for progressive or refractory illnesses. NF1+ patients should stay away from TMZ, nevertheless.
Radiotherapy
Radiotherapy is frequently provided to patients following chemotherapy, but not to those who test positive for NF1, as the danger of developing secondary tumours after radiotherapy is deemed to be too great.
When radiotherapy is initiated early, visual loss may be reduced. According to reports, visual stabilisation and improvement ranged from 13 to 81% post-RT.
OPG is an uncommon and challenging tumour to handle. The goal of choosing a therapy technique should be to improve vision and/or stop further deterioration. The outcomes of modern chemotherapy regimens and sophisticated radiation procedures are encouraging.
The future of optic nerve glioma is "illuminating"

