Login

Beta-Catenin (EP35) Rabbit Monoclonal Antibody Test Cost & Procedure

beta-catenin (ep35) rabbit monoclonal antibody

Beta-Catenin (EP35) Rabbit Monoclonal Antibody

Book Beta-Catenin (EP35) Rabbit Monoclonal Antibody Appointment Online Near me at the best price in Delhi/NCR from Ganesh Diagnostic. NABL & NABH Accredited Diagnostic centre and Pathology lab in Delhi offering a wide range of Radiology & Pathology tests. Get Free Ambulance & Free Home Sample collection. 24X7 Hour Open. Call Now at 011-47-444-444 to Book your Beta-Catenin (EP35) Rabbit Monoclonal Antibody at 50% Discount.

₹ 3400 ₹ 1700

Request A Call Back

Unlike most other tiny round blue cell cancers, neuroblastoma is characterised by overexpression of the cytoplasmic signalling molecule beta-catenin. Beta-catenin may express itself both nuclearly and cytoplasmically in desmoid cancers.

What exactly is beta-catenin?

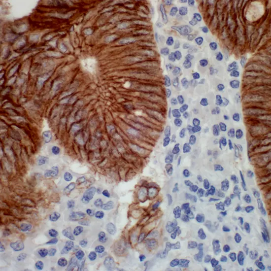
An essential regulator of embryogenesis and cell-cell adhesion is beta-catenin. Several types of human cancer may result from beta-catenin mutations. Beta-catenin membrane staining indicates normal cells, while cytoplasmic and nuclear staining indicates aberrant cells. Gardner syndrome is characterised by beta-catenin dysregulation, which results in familial adenomatous polyposis and fibromatosis. Beta-catenin is also found in the nuclei of other sarcomas, including synovial sarcoma, osteosarcoma, liposarcoma, palisaded myofibroblast oma, and colon and endometrioid ovarian carcinomas.

What is Rabbit Monoclonal Antibody to Beta-Catenin (EP35)?

A crucial regulatory protein that involves adhesion and signals transmitted via the Wnt pathway, beta-catenin (EP35) Rabbit Monoclonal Antibody is vital for development, cellular proliferation, and differentiation. Many types of malignancy, including familial adenomatous polyposis, fibromatosis, solitary fibrous tumours, and endometrial cancer, have been linked to mutations in the beta-catenin gene CTNNB1 that stabilise beta-catenin in the cytoplasm and translocate it to the nucleus.

The distinguishing of this tumour from other fibroblast-like lesions is aided by a nuclear buildup of beta-catenin in fibromatosis (desmoid tumour) in several places, including the breast and mesentery.

Preparation for the IHC and Beta Catenin Test:

  • The test doesn't require any extra preparation. IHC and Beta Catenin Tests
  • When Beta Catenin levels are normal, only the membrane is stained.
  • There is also nuclear staining or staining of the cell cytoplasm in cases of diseased tissues.

Process for the IHC and Beta Catenin Test:

  • Patients' tissue samples are taken via biopsy or other techniques.
  • The materials are examined on slides after being encased in paraffin wax.
  • It involves tissue immunohistochemistry.
  • The immunoreactivity, or how the immune system reacts to an antigen, is gauged by the prepositively positive stain stain stain intensity and is measured by the number of degraded proteins in the cytoplasm and nucleus of the cells or tissues.

Test Type Beta-Catenin (EP35) Rabbit Monoclonal Antibody
Includes

Beta-Catenin (EP35) Rabbit Monoclonal Antibody (Pathology Test)

Preparation
Reporting

Within 24 hours*

Test Price ₹ 1700 ₹ 3400
Frequently Asked Questions
FAQ

Related Tests

Health Packages

Early check ups are always better than delayed ones. Safety, precaution & care is depicted from the several health checkups. Here, we present simple & comprehensive health packages for any kind of testing to ensure the early prescribed treatment to safeguard your health.

view all health packages