Login

Ber-Ep4 (EpCAM) Test Cost & Procedure

Ber-Ep4 (EpCAM)

Ber-Ep4 (EpCAM)

Book Ber-Ep4 (EpCAM) Appointment Online Near me at the best price in Delhi/NCR from Ganesh Diagnostic. NABL & NABH Accredited Diagnostic centre and Pathology lab in Delhi offering a wide range of Radiology & Pathology tests. Get Free Ambulance & Free Home Sample collection. 24X7 Hour Open. Call Now at 011-47-444-444 to Book your Ber-Ep4 (EpCAM) at 50% Discount.

₹ 2770 ₹ 1385

Request A Call Back

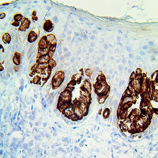
Squamous and mesothelium are the only epithelial cells in the body that do not express the epithelial cell adhesion molecule (EPCAM; Ber-EP4). When separating pulmonary adenocarcinoma from mesothelioma is helpful. Moreover, it helps to differentiate skin cancers of the basal and squamous cell types.

Describe Ber-EP4:

All epithelial cells have Ber-EP4 on their surface and in their cytoplasm, except the parietal cells, hepatocytes, and squamous epithelial cells' outermost layers. It has a wide range of reactivity with human epithelial cells, including basal layers of stratified non-keratinized squamous epithelium and epidermis, as well as simple epithelia. It distinguishes between adenocarcinomas and pleural mesotheliomas, albeit it seldom marks mesothelial cells or mesotheliomas.

Why is this examination suggested?

All epithelial cells, except the parietal cells, hepatocytes, and squamous epithelial cells' superficial layers, have two glycoproteins of 34 and 49 kDa on their surface and in their cytoplasm. It hardly ever labels mesotheliomas and does not name mesothelial cells. It has a wide range of reactivity with human epithelial cells, including basal layers of stratified non-keratinized squamous epithelium and epidermis, as well as simple epithelia. According to reports, Ber-EP4 can tell pleural mesotheliomas from adenocarcinomas.

Except for most squamous cells, hepatocytes, proximal renal tubular cells, gastric parietal cells, and myoepithelial cells, pCAM, an epithelial glycoprotein, is found in most of the epithelial cells. It helps separate metastatic adenocarcinoma from mesothelioma (which is typically negative).

Uses:

This helps to identify mesothelioma from pulmonary adenocarcinoma

Test Contains:

  • Option I: The customer is given the slides and controls to interpret.
  • Option II: Slides and controls are returned along with an explanation of the immunostain
  • Option III: Comprehensive surgical pathology advice (can be ordered with option II)

What does a positive Ber-EP4 result mean?

Lung cancer (adenocarcinoma)

BerEp4 is typically positive in the majority of the body's epithelial c and ls,  harmful in squamous epithelium and mesothelium. Moreover, it can aid in separating mesothelioma from lung adenocarcinoma (positive BerEp4) (generally negative BerEp4).

Test Type Ber-Ep4 (EpCAM)
Includes

Ber-Ep4 (EpCAM) (Pathology Test)

Preparation
Reporting

Within 24 hours*

Test Price ₹ 1385 ₹ 2770
Frequently Asked Questions
FAQ

Related Tests

Health Packages

Early check ups are always better than delayed ones. Safety, precaution & care is depicted from the several health checkups. Here, we present simple & comprehensive health packages for any kind of testing to ensure the early prescribed treatment to safeguard your health.

view all health packages