Login

Babesia Species - Book Test at Low Cost

Babesia Species

Babesia Species

Book Babesia Species Appointment Online Near me at the best price in Delhi/NCR from Ganesh Diagnostic. NABL & NABH Accredited Diagnostic centre and Pathology lab in Delhi offering a wide range of Radiology & Pathology tests. Get Free Ambulance & Free Home Sample collection. 24X7 Hour Open. Call Now at 011-47-444-444 to Book your Babesia Species at 50% Discount.

₹ 11630 ₹ 5815

Request A Call Back

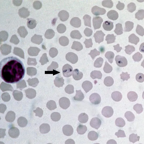
Babesia species are parasitic protozoan parasites that infect the red blood cells of mammals, including humans. Babesiosis is a tick-borne disease that is transmitted to humans through the bite of infected ticks, primarily from the genus Ixodes, which also transmit Lyme disease. Babesia species are known to cause a range of clinical manifestations, from asymptomatic infections to severe and life-threatening disease.

The symptoms of babesiosis can vary widely, but commonly include fever, chills, fatigue, muscle aches, headache, and sometimes jaundice. Severe cases may result in complications such as haemolytic anaemia, renal failure, and even death, particularly in immunocompromised individuals, elderly individuals, or those with underlying health conditions.

Diagnosis of babesiosis is typically done through blood tests, such as microscopic examination of blood smears or polymerase chain reaction (PCR) to detect the presence of Babesia DNA. Treatment of babesiosis typically involves antiparasitic medications, such as atovaquone plus azithromycin or clindamycin plus quinine, depending on the severity of the infection and the immune status of the patient.

Our Babesia Species Test Package Includes:

Peripheral Blood Smear 

200

100

CBC

350

175

KFT

800

400

LFT

600

300

LDH

400

200

Babesia Microti Antibodies IgG and IgM

8720

4360

Urine Routine

110

55

Chest X Ray

450

225

Total Price

11630

5815

 

Test Type Babesia Species
Includes

Babesia Species 

Preparation
Reporting

Within 24 hours*

Test Price ₹ 5815 ₹ 11630
Frequently Asked Questions
FAQ

Related Tests

Health Packages

Early check ups are always better than delayed ones. Safety, precaution & care is depicted from the several health checkups. Here, we present simple & comprehensive health packages for any kind of testing to ensure the early prescribed treatment to safeguard your health.

view all health packages