Login

Anaplasma Species - Book Test at Low Cost

Anaplasma Species

Anaplasma Species

Book Anaplasma Species Appointment Online Near me at the best price in Delhi/NCR from Ganesh Diagnostic. NABL & NABH Accredited Diagnostic centre and Pathology lab in Delhi offering a wide range of Radiology & Pathology tests. Get Free Ambulance & Free Home Sample collection. 24X7 Hour Open. Call Now at 011-47-444-444 to Book your Anaplasma Species at 50% Discount.

₹ 6440 ₹ 3220

Request A Call Back

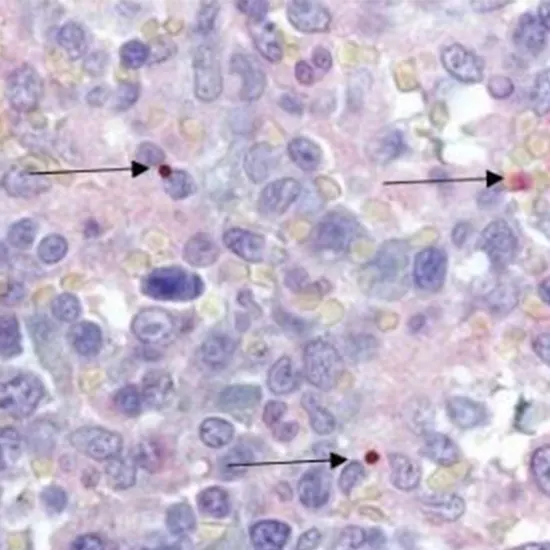
Anaplasma species are a group of Gram-negative bacteria that are obligate intracellular parasites, meaning they live and replicate inside the cells of their host organisms. There are several species of Anaplasma that can cause disease in animals, including humans.

Anaplasmosis is a tick-borne infectious disease. This disease is caused by the Anaplasma phagocytophilum. It primarily affects humans and animals, including domesticated animals such as dogs, cattle, and horses. 

Transmission of the bacterium Anaplasma phagocytophilum occurs when an infected tick bites a host and transfers the bacterium into the bloodstream. The bacterium then infects white blood cells, specifically neutrophils, which are an important type of immune cell. Anaplasmosis can also be transmitted through blood transfusion, although this is relatively rare.

Symptoms of anaplasmosis in humans may include fever, chills, headache, muscle aches, fatigue, and sometimes a rash. Severe cases can lead to complications such as respiratory distress, organ failure, and in rare cases, death. In animals, symptoms may include fever, loss of appetite, lethargy, joint pain, and sometimes respiratory distress.

Diagnosis of anaplasmosis is typically based on clinical symptoms, as well as laboratory tests such as blood tests to detect the presence of the bacterium or antibodies against it. 

Our Anaplasmosis Test Package Includes:

CBC

350

175

Peripheral blood smear

200

100

Immunohistochemistry (IHC)

4160

2080

CECT Chest

7000

3500

 Total  Price      

6440

3220

Test Type Anaplasma Species
Includes

Anaplasma Species

Preparation
Reporting

Within 24 hours*

Test Price ₹ 3220 ₹ 6440
Frequently Asked Questions
FAQ

Related Tests

Health Packages

Early check ups are always better than delayed ones. Safety, precaution & care is depicted from the several health checkups. Here, we present simple & comprehensive health packages for any kind of testing to ensure the early prescribed treatment to safeguard your health.

view all health packages