Login

Alveolar Proteinosis PAS Stain Test Cost & Procedure

Alveolar Proteinosis PAS Stain

Alveolar Proteinosis PAS Stain

Book Alveolar Proteinosis PAS Stain Appointment Online Near me at the best price in Delhi/NCR from Ganesh Diagnostic. NABL & NABH Accredited Diagnostic centre and Pathology lab in Delhi offering a wide range of Radiology & Pathology tests. Get Free Ambulance & Free Home Sample collection. 24X7 Hour Open. Call Now at 011-47-444-444 to Book your Alveolar Proteinosis PAS Stain at 50% Discount.

₹ 700 ₹ 350

Request A Call Back

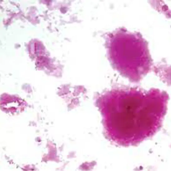
An occasional lung condition called pulmonary alveolar proteinosis is characterized by anomalies in the authorization and production of surfactants. These abnormalities are partially brought on by mutations in the genes required for surfactant production to occur normally. Utilizing the PAS method, the alveoli and terminal airways are filled with floccular material made of surfactant phospholipids and protein ingredients that dyes entirely. Because of this mechanism, gas exchange is hampered, which could cause respiratory failure.

An occasional situation known as pulmonary alveolar proteinosis was originally identified by Rosen et al. in 1958. It is prominent by the testimony of granulated extracellular material that is systematic acid-Schiff optimistic and diastase resistant within the air gaps. PAP typically manifests slowly, and the initial symptoms are vague, which frequently contributes to a large delay in diagnosis. Individuals with PAP may develop severe respiratory distress very quickly. Thus, bronchoalveolar lavage (BAL) and an early diagnosis with suitable therapy have clinical value.

PAP is primarily analyzed based on histopathologic consequences from TBLB or open lung biopsy specimens. However TBLB samples are frequently so tiny that they don't offer definite proof. In 68 individuals with PAP in 1998, a TBLB specimen's diagnostic yield was just 29%. A diagnosis of PAP has been made via bronchoalveolar lavage. Nonetheless, it is normally essential to conduct an ultrastructural investigation of BALF specimens and the usage of respective pigments such as PAS and combined alcian blue and PAS pigments. Clinically, processing all standard BALF samples for electron microscopy or specialty stains is impractical.

Diagnosis of Pulmonary Alveolar Proteinosis

Abstract

Background Bronchoalveolar lavage fluid stained with Papanicolaou is said to show globules that are indicative of pulmonary alveolar proteinosis.

Objective

To assess if bronchoalveolar lavage fluid Papanicolaou-stained smears are helpful in making a diagnosis of PAP.

Methods 

Five idiopathic and two secondary PAP patients' bronchoalveolar lavage fluid samples were stained with papanicolaou and examined. The smears of 128 patients with various respiratory diseases and 11 healthy persons were also looked at as controls. The results on the presence and quantity of globules were noted. The elevated globule value received from the supervision company was utilized as the cutoff threshold to differentiate PAP from other respiratory diseases.

Results 

Only 6 of 128 individuals with various pulmonary illnesses had the distinctive globules, which were absent in healthy participants. These 6 individuals had 1, 3, 17, 7, 3, and 2 globules on average. In contrast, all PAP patients had more than 100 globules. When the cutoff importance was assigned at 18, the numeral of globules was extremely prudent and specific in aiding a PAP diagnosis.

Conclusion 

When there are more than 18 globules present in bronchoalveolar lavage fluid, they may be particularly helpful in assisting with the diagnosis of PAP.

Test Type Alveolar Proteinosis PAS Stain
Includes

Alveolar Proteinosis PAS Stain (Pathology Test)

Preparation
Reporting

Within 24 hours*

Test Price ₹ 350 ₹ 700
Frequently Asked Questions
FAQ

Related Tests

Health Packages

Early check ups are always better than delayed ones. Safety, precaution & care is depicted from the several health checkups. Here, we present simple & comprehensive health packages for any kind of testing to ensure the early prescribed treatment to safeguard your health.

view all health packages