Login

Urine For Cytology - Book Test at Low Cost

Urine For Cytology

Urine For Cytology

Book Urine For Cytology Appointment Online Near me at the best price in Delhi/NCR from Ganesh Diagnostic. NABL & NABH Accredited Diagnostic centre and Pathology lab in Delhi offering a wide range of Radiology & Pathology tests. Get Free Ambulance & Free Home Sample collection. 24X7 Hour Open. Call Now at 011-47-444-444 to Book your Urine For Cytology at 50% Discount.

₹ 1200 ₹ 600

Request A Call Back

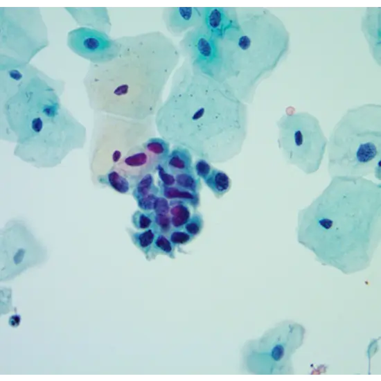
Urine cytology is a test to look for abnormal cells in your urine. It is used with other tests and procedures to diagnose urinary tract cancers, most often bladder cancer.

How the example is gathered for testing?

It requires urine sample, which you provided by urinating into a sterile container. In some cases, a urine sample is collected using a thin, hollow tube that’s inserted into urethra and moved up to bladder.

Is any test readiness required ?

It depends on how the urine is collected. Most often, people undergoing the test urinate into a sterile container, which carries no risk. Collecting urine by inserting a hollow tube into your urethra carries a risk of urinary tract infection.

How to derive from the experimental outcomes ?

The pathologist analyzes cells from the urine sample under a microscope, notes the types of cells and looks for signs in the cells that might indicate cancer.

Are there any dangers for this test?

There is no medical concerns.

Urine cytology test cost

The Urine Cytology test cost in Delhi varies from Rs.176 to Rs.425.

Urine cytology test procedure

The procedure is different from a biopsy in that it examines individual cells, rather than pieces of tissue containing many cell clusters. The cells for urine cytology are easier to obtain than a tissue, causing less discomfort and less risk to patient.

Test Type Urine For Cytology
Includes

Urine For Cytology (Pathology Tests)

Preparation
Reporting

Within 24 hours*

Test Price ₹ 600 ₹ 1200
Frequently Asked Questions
FAQ

Related Tests

Health Packages

Early check ups are always better than delayed ones. Safety, precaution & care is depicted from the several health checkups. Here, we present simple & comprehensive health packages for any kind of testing to ensure the early prescribed treatment to safeguard your health.

view all health packages