Login

NCCT Both Mastoid - Test, Cost & Procedure

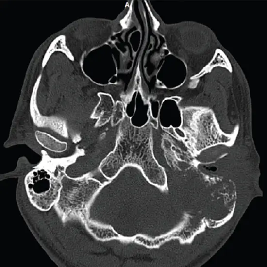
NCCT Both Mastoid

NCCT Both Mastoid

Book NCCT Both Mastoid Appointment Online Near me at the best price in Delhi/NCR from Ganesh Diagnostic. NABL & NABH Accredited Diagnostic centre and Pathology lab in Delhi offering a wide range of Radiology & Pathology tests. Get Free Ambulance & Free Home Sample collection. 24X7 Hour Open. Call Now at 011-47-444-444 to Book your NCCT Both Mastoid at 50% Discount.

₹ 5000 ₹ 2500

Request A Call Back

What is NCCT Both Mastoid?

The mastoid is a part of the skull located behind the ear. It is made up of air sacs and looks like a sponge. NCCT Both Mastoid is Non-Contrast Computed Tomography of both Mastoid is an imaging scan that is used to diagnose the bone ridge behind the ear. The images obtained from the scan evaluate the structures of the ear and its surrounding tissues.

Why is NCCT Both Mastoid Done?

Doctors recommend NCCT for both Mastoid to diagnose mastoiditis that an infection of the air spaces of the mastoid, an Ear infection, or an abnormal skin growth in the middle ear behind the eardrum. It is also used if the doctor suspects there is an injury or fracture of the mastoid bones or abnormal growth in the mastoid bone region.

What is the procedure for NCCT on Both Mastoid?

The CT Radiologist will explain to you the procedure for NCCT Both Mastoid.

In which cases NCCT Both Mastoid is not done?

NCCT Both Mastoid is not recommended or performed in the case of pregnancy. Female patients are always instructed to inform the doctor/radiology nurse if they are pregnant or if there is any chance of pregnancy.

What is the Cost of NCCT Both Mastoid?

The NCCT Mastoid cost near me in Delhi ranges from INR 2500 to INR 5000. But every diagnostic centre has a different cost. It is advisable to choose a certified diagnostic centre with advanced technology for satisfactory and accurate diagnosis.

How to Book NCCT Both Mastoid online at Ganesh Diagnostic Centre?

To provide hassle-free diagnostic service we also provide online service to book your appointment. At Ganesh Diagnostic, you can book NCCT Both Mastoid Test online by scheduling your appointment. Quick, non-invasive CT Scan appointment is available for detailed insights into your body. Schedule now for a comprehensive health assessment. We are 24/7 Open at your service.

Test Type NCCT Both Mastoid
Includes

NCCT Both Mastoid (CT Scans)

Preparation
  • Remove the object that contains Metal, such as Jewellery, Hair Clips, Watches, Rings, or any other similar object from scanning part of the body, so as to avoid a bright or blank spot on the diagnostic film.
  • You must inform the technologist, radiology nurse, and/or physician if you have allergies, are pregnant, breastfeeding, or are on medication.
  • Fasting is not required.
  • Doctor’s Prescription.
  • Bring all documents related to medical history.
  • Carry Your ID Proof.
Reporting

Within 4-6 hours*

Test Price ₹ 2500 ₹ 5000
Frequently Asked Questions
FAQ

NCCT Both Mastoid is an imaging diagnostic tool that uses X-rays with the computer to detect disorders and diseases related to the behind the ear and surrounding area. Patients should not avoid any symptoms related to ear abnormalities or disorders. Patients should go for screening to avoid any delay in diagnosis and treatment of the ear abnormalities.

 

There are no risks associated with an NCCT Both Mastoid scans if performed at a good facility with proper protocol. However frequent radiation exposure can have harmful effects on the body. NCCT Both Mastoid scan is a painless procedure, but some patients may feel uncomfortable if they have claustrophobia (fear of closed spaces).

 

The test price of the NCCT Mastoid scan test in Delhi ranges from INR 2,500 to INR 5,000. You can click on the Ganesh Diagnostic Centre website to download the report of the NCCT Both Mastoid scan test or get the report on a registered WhatsApp number.

You can type NCCT Both Mastoid scan test centre near me in Google search for the nearest centres available.

 

Related Tests

Health Packages

Early check ups are always better than delayed ones. Safety, precaution & care is depicted from the several health checkups. Here, we present simple & comprehensive health packages for any kind of testing to ensure the early prescribed treatment to safeguard your health.

view all health packages