Login

MRI Penis - Test, Procedure & Cost

MRI Penis

MRI Penis

Book MRI Penis Appointment Online Near me at the best price in Delhi/NCR from Ganesh Diagnostic. NABL & NABH Accredited Diagnostic centre and Pathology lab in Delhi offering a wide range of Radiology & Pathology tests. Get Free Ambulance & Free Home Sample collection. 24X7 Hour Open. Call Now at 011-47-444-444 to Book your MRI Penis at 50% Discount.

₹ 9000 ₹ 4500

Request A Call Back

Overview

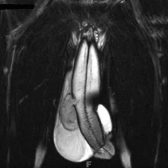
An MRI Penis Region shows the root, body, epithelium, prepuce, and surrounding soft tissues (blood vessels, lymph vessels, nerves, vas deferens).

This test is used to diagnose priapism (prolonged painful erection) and penile tumors/cysts/lumps from the penis skin.

Why is MRI Penis done?

  • Identify priapism (prolonged painful erection) and balanitis (penis head infection/inflammation).
  • To diagnose phimosis (inability of the tight foreskin of the penis to fold off)
  • Determine the presence of penile tumours, cancers, cysts, or lumps that arise from the penis skin.

What is the procedure for the Penis MRI Screening Test?

Patients must lie still during the MRI procedure.

How does one prepare for the test?

  • Tell your technician about surgical staples, clips, or pacemakers. You may need to remove jewellery and watches.
  • If you are pregnant, notify your technician, as radiation may harm the baby.

After Care:

No care is required.

What is the Cost of an MRI Scan Penis Test in Delhi:

The cost of a Magnetic resonance imaging (MRI) Penis test in Delhi ranges from INR 4500 to INR 9000.  

How to Book MRI Penis Online at Ganesh Diagnostic

To provide hassle-free diagnostic service we also provide online service to book your appointment. At Ganesh Diagnostic, you can book an MRI Penis test by scheduling your appointment. Quick, non-invasive MRI appointment is available for detailed insights into your body. Schedule now for a comprehensive health assessment. We are 24/7 Available at your service.

Test Type MRI Penis
Includes

MRI Penis (MRI Scans

Preparation
  • Remove the object that contains Metal, such as Jewellery, Hair Clips, Watch, Rings, Any other similar object so as to avoid a bright or blank spot on the diagnostic film.  
  • you must inform the technologist, radiology nurse and/or physician if you have allergies, are pregnant or are nursing. 
  • No fasting required 
  • Carry Your ID Proof
Reporting

Within 4-6 hours*  

Test Price ₹ 4500 ₹ 9000
Frequently Asked Questions
FAQ

MRI Penis is an imaging diagnostic tool that is used to look for the conditions of the Penis. Patients should not avoid any symptoms related to penis abnormalities or disorders. Patients should go for screening to avoid any delay in diagnosis and treatment of  MRI Penis.

 

There are no risks associated with an MRI Penis scan if performed at a good facility with proper protocol. However, patients should inform the healthcare expert about any implants in the body. MRI Penis scan is a painless procedure.

 

You can click on the Ganesh Diagnostic Centre website to download the report of the  MRI Penis scan test or get the report on a registered WhatsApp number. 

 

You can type MRI Penis Centre near me in Google search for the nearest centres available.

 

Related Tests

Health Packages

Early check ups are always better than delayed ones. Safety, precaution & care is depicted from the several health checkups. Here, we present simple & comprehensive health packages for any kind of testing to ensure the early prescribed treatment to safeguard your health.

view all health packages