Login

CECT Chest with Virtual Bronchoscopy - Test, Procedure, Cost

CECT Chest With Virtual Bronchoscopy

CECT Chest With Virtual Bronchoscopy

Book CECT Chest With Virtual Bronchoscopy Appointment Online Near me at the best price in Delhi/NCR from Ganesh Diagnostic. NABL & NABH Accredited Diagnostic centre and Pathology lab in Delhi offering a wide range of Radiology & Pathology tests. Get Free Ambulance & Free Home Sample collection. 24X7 Hour Open. Call Now at 011-47-444-444 to Book your CECT Chest With Virtual Bronchoscopy at 50% Discount.

₹ 15000 ₹ 7500

Request A Call Back

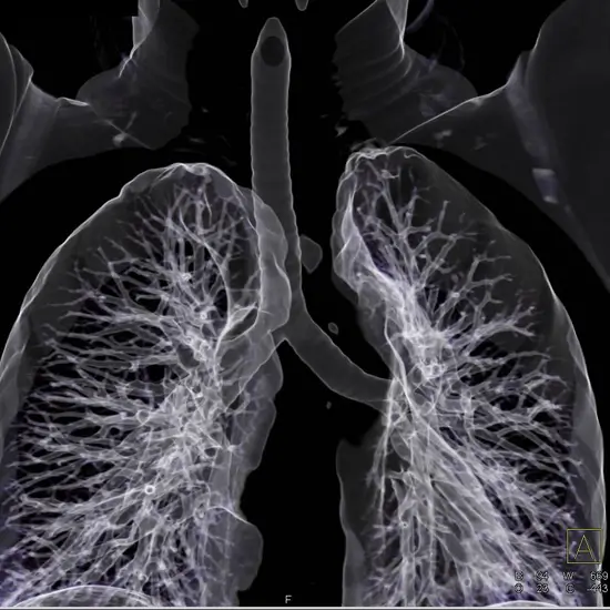
CECT (Contrast-Enhanced Computed Tomography) Chest with Virtual Bronchoscopy is an imaging procedure that is used to visualize the internal view of the chest, the trachea, and major bronchi.  This scan helps in the study of the organs, such as the heart, lungs, diaphragm, food pipe, rib cage, surrounding muscles, etc. For this procedure, Contrast media is injected into the veins of the patients and the rotating beams of the X-Ray are used to get detailed 3D pictures of the chest and its surrounding organs.

Why is CECT Chest with Virtual Bronchoscopy Done?

This procedure of CECT Chest with Virtual Bronchoscopy is done to effectively determine the root causes behind the persistent cough, chest pain, shortness of breath, congenital abnormalities, and any abnormalities of the chest. It helps in identifying the blockages, injuries, infections, congenital abnormalities, and tumors. It is used to detect inflammation or infection of the heart, lungs, food pipe, liver, and stomach. It detects an injury to the internal organs, bones of the rib cage, and spine due to trauma.

What is the procedure for CECT Chest with Virtual Bronchoscopy?

CT Radiologist will explain the whole procedure for CECT Chest with Virtual Bronchoscopy.

In Which case, CECT Chest with Virtual Bronchoscopy is not performed?

CECT Chest with Virtual Bronchoscopy is not performed in case of pregnancy. Female patients are always instructed to inform the doctor/ radiology nurse if they are pregnant or have any chance of being pregnant.

Cost of CECT Chest with Virtual Bronchoscopy

The CECT Chest with Virtual Bronchoscopy cost near me in Delhi varies, It usually ranges from INR 7500 to INR 15000. You are always advised to choose the best and certified diagnostic centre for all your diagnostic needs.

Book CECT Chest With Virtual Bronchoscopy online at Ganesh Diagnostic Centre

To provide hassle-free diagnostic service we also provide online service to book your appointment. At Ganesh Diagnostic, you can book CECT Chest With Virtual Bronchoscopy Test online by scheduling your appointment. Quick, non-invasive CT Scan appointment is available for detailed insights into your body. Schedule now for a comprehensive health assessment. We are 24/7 Open at your service.

Test Type CECT Chest With Virtual Bronchoscopy
Includes

CECT Chest With Virtual Bronchoscopy (CT Scan)

Preparation
  • Remove the object that contains Metal, such as Jewellery, Hair Clips, Watches, Rings, or any other similar object from scanning part of the body, so as to avoid a bright or blank spot on the diagnostic film.
  • You must inform the technologist, radiology nurse, and/or physician if you have allergies, are pregnant, breastfeeding, or are on medication.
  • Minimum 4 hours fasting required.
  • You can drink water.
  • Latest (1 Week) Serum Creatinine or KFT report required.
  • Doctor’s Prescription.
  • Bring all documents related to medical history.
  • Carry your ID Proof.
Reporting

Within 4-6 hours*

Test Price ₹ 7500 ₹ 15000
Frequently Asked Questions
FAQ

Related Tests

Health Packages

Early check ups are always better than delayed ones. Safety, precaution & care is depicted from the several health checkups. Here, we present simple & comprehensive health packages for any kind of testing to ensure the early prescribed treatment to safeguard your health.

view all health packages