Login

Bone Marrow, Reticulin Stain Test Cost & Procedure

Bone Marrow, Reticulin Stain

Bone Marrow, Reticulin Stain

Book Bone Marrow, Reticulin Stain Appointment Online Near me at the best price in Delhi/NCR from Ganesh Diagnostic. NABL & NABH Accredited Diagnostic centre and Pathology lab in Delhi offering a wide range of Radiology & Pathology tests. Get Free Ambulance & Free Home Sample collection. 24X7 Hour Open. Call Now at 011-47-444-444 to Book your Bone Marrow, Reticulin Stain at 50% Discount.

₹ 650 ₹ 325

Request A Call Back

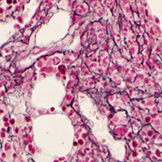
In 73% to 81% of healthy patients, reticulin, a natural component of the bone marrow stroma, may be seen using a reticulin stain. Several benign disorders and even malignant diseases are linked to increased reticulin staining (reticulin fibrosis).

What is a test for reticulin?

In histopathology laboratories, reticulin stain is frequently used to visualise biopsy specimens of bodily tissues, most frequently liver tissue but occasionally kidney or spleen.

When a closer study of tissues is required to determine the existence of abnormalities, histopathological staining is used as a tool to help cure disorders. Staining draws attention to the tissue's characteristics and improves its contrast, making it easier for the examiner to see.

Collagen in the form of reticulin is found in the membranes of some bodily organs. In these organs, reticulin fibres create a mesh-like framework that supports the soft tissue structures. Under the microscope, this mesh-like structure, after staining, appears in various colours of black.

Metal impregnation is the staining procedure used using reticulin stain, warmed ammoniacal silver and formalin. Initially adhering to the tissue, the silver reacts with the formalin to produce a coloured precipitate that allows visualisation of the tissue.

The process of reticulin staining is frequently used to identify tumours.

Why is a test for Reticulin Stain conducted?

  • Reticulin staining is done to identify reticulin fibres and check the health of bodily cells (from the liver, kidney, and spleen) for diseases including necrosis and hyperplasia (increase in tissue size due to excessive cell division).
  • The bone marrow can also be evaluated using the dye.

How should one get ready for the Reticulin Stain test?

  • Before the test, you might need to take a few steps.
  • You'll receive advice from your doctor on what needs to be done.
  • The day before the exam, they might advise against eating anything.
  • As most patients cannot drive themselves after having a biopsy, you must make arrangements for transportation home.

Most importantly, if they are taking any of the following drugs or dietary supplements, please be sure to discuss it with their doctor:

  • clotting agents
  • Antibiotics
  • Antidepressants
  • medicines for diabetes
  • Pain relievers
  • Aspirin

How does the Reticulin Stain test work?

  • If a liver biopsy is necessary, the following procedures will be carried out:
  • You will receive a gown from a nurse to wear throughout the examination.
  • To help you unwind, your doctor will provide a sedative through an IV.
  • A little needle will be inserted through your abdomen aur liver if a percutaneous (through the skin) biopsy is performed to retrieve the tissue sample.
  • To take a sample of the liver tissue during a transjugular biopsy, a needle with a wire attached will be placed via a small incision in your neck and into a vein in your liver.
  • If you have a bleeding issue and are prone to experiencing severe bleeding following a minor puncture.

Result Interpretation:

Normal results: will display the reticular fibres' specific mesh-like structure.

Abnormal results: If irregular reticular fibre patterns are visible underneath the microscope.

Test Type Bone Marrow, Reticulin Stain
Includes

Bone Marrow, Reticulin Stain (Pathology Test)

Preparation
Reporting

Within 24 hours*

Test Price ₹ 325 ₹ 650
Frequently Asked Questions
FAQ

Related Tests

Health Packages

Early check ups are always better than delayed ones. Safety, precaution & care is depicted from the several health checkups. Here, we present simple & comprehensive health packages for any kind of testing to ensure the early prescribed treatment to safeguard your health.

view all health packages