Paragonimiasis is in many instances discovered in Southeast Asia, however, instances have been mentioned in different components of the world as well. The contamination is commonly obtained by way of ingesting uncooked or...
Paragonimiasis is in many instances discovered in Southeast Asia, however, instances have been mentioned in different components of the world as well.
The contamination is commonly obtained by way of ingesting uncooked or undercooked freshwater crabs or crayfish that are contaminated with the parasite.
Once inside the body, the parasite migrates to the lungs, the place it can cause a variety of symptoms, consisting of coughing, chest pain, and fever. If left untreated, the contamination can lead to continual lung disease, and in extreme cases, it can be fatal.
What is Paragonimiasis?
Paragonimiasis is a parasitic contamination prompted by a kind of flatworm acknowledged as Paragonimus spp. The parasite chiefly infects the lungs, however, can additionally infect different organs such as the Genius and liver.
The contamination is generally obtained with the aid of ingesting uncooked or undercooked freshwater crabs or crayfish that are contaminated with the parasite.
Once inside the body, the parasite migrates to the lungs, the place where it can cause a variety of symptoms, consisting of coughing, chest pain, and fever.
Let's Explore the Epidemiology of Paragonimiasis:
Paragonimiasis is in many instances observed in Southeast Asia, specifically in international locations such as China, Vietnam, and Thailand, the place where the consumption of uncooked or undercooked freshwater crabs and crayfish is a frequent practice.
However, instances of paragonimiasis have been mentioned in different components of the world as well, consisting of South America, Africa, and components of the United States.
The contamination is extra frequent in rural areas where humans have shut contact with freshwater sources, however, it can additionally happen in city areas where imported crabs and crayfish are consumed.
The incidence of paragonimiasis varies broadly depending on the region, and outbreaks have been said in some areas.
It is estimated that hundreds of thousands of human beings are contaminated with Paragonimus spp. worldwide, however, genuine numbers are tough to decide due to underreporting and restricted surveillance in many endemic areas.
The sickness is greater frequent in adult males than females, and young people are at greater hazard of contamination than adults due to their greater probability of eating uncooked or undercooked crustaceans.
Learn about the Pathophysiology of Paragonimiasis:
Paragonimiasis is triggered by way of the parasitic flatworm Paragonimus spp. The lifecycle of the parasite entails various stages, such as an intermediate stage in freshwater snails and a definitive stage in the lungs of mammals, mainly humans.
When a character consumes uncooked or undercooked freshwater crabs or crayfish that are contaminated with Paragonimus spp. the larvae are launched in the small gut and migrate via the bloodstream to the lungs, the place they enhance into person worms.
The grownup worms burrow into the lung tissue and lay eggs, which are then coughed up and swallowed or exceeded out in the faeces.
The eggs hatch in freshwater and infect snails, the place they advance into cercariae, which can infect freshwater crustaceans such as crabs and crayfish.
The presence of grownup worms in the lungs can cause inflammation, leading to a variety of symptoms, such as coughing, chest pain, and fever.
In some cases, the parasites can additionally migrate to different organs, such as the intelligence or liver, inflicting extra complications.
If left untreated, continual contamination with Paragonimus spp. can lead to fibrosis and scarring of the lung tissue, which can result in persistent lung ailment and respiratory failure.
In extreme cases, the contamination can be fatal.
Types of Paragonimiasis
There are two kinds of Paragonimiasis:
Pulmonary Paragonimiasis
This is the most frequent shape of the sickness and is induced via the presence of grownup worms in the lungs. The signs and symptoms of pulmonary paragonimiasis encompass cough, chest pain, situation breathing, and coughing up blood test .
Extrapulmonary Paragonimiasis
This kind of paragonimiasis happens when the parasite migrates to different organs, such as the brain, liver, or skin. Extrapulmonary paragonimiasis can cause a range of symptoms, relying on which organs are affected.
Signs and Symptoms of Paragonimiasis
The signs and symptoms and signs and symptoms of paragonimiasis can range relying on the type and severity of the infection.
Pulmonary Paragonimiasis
- Cough, which may also be productive (coughing up mucus or blood)
- Chest pain, which may also be pleuritic (worsened through breathing)
- Difficulty breathing
- Feve
- Fatigue
- Night sweats
- Weight loss
Extrapulmonary Paragonimiasis
- Headache
- Seizures
- Nausea and vomiting
- Abdominal pain
- Diarrhoea
- Skin rash and itching
The signs of paragonimiasis usually strengthen within a few weeks to countless months after infection, however, they might also no longer show up till several months or even years later in continual cases. In some cases, human beings with slight infections might also have no signs and symptoms at all.
Diagnostic Methods of Paragonimiasis
The prognosis of paragonimiasis normally entails a mixture of medical evaluation, imaging tests, and laboratory tests.
Clinical Evaluation
The healthcare issuer will ask about signs and symptoms and scientific history, along with the latest tour and consumption of uncooked or undercooked freshwater crustaceans.
Imaging Tests
Chest X-rays, CT scans, ultrasound and/or MRI scans can also be used to seem to be for symptoms of lung harm or different abnormalities.
Laboratory Tests
Various laboratory assessments can assist verify the analysis of paragonimiasis, including:
Sputum and stool analysis
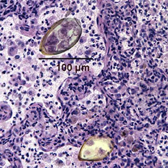
Examination of sputum or stool samples underneath a microscope can divulge the presence of Paragonimus spp. eggs.
Serology tests
Blood assessments can become aware of the presence of antibodies to Paragonimus spp., indicating an energetic or preceding infection.
Biopsy
In some cases, a lung biopsy may also be fundamental to verify the analysis if different assessments are inconclusive.
It's vital to be aware that Paragonimus spp. eggs can be tough to realize in sputum or stool samples, and serology exams may additionally produce false poor consequences in some cases.
Therefore, an aggregate of medical assessment and laboratory exams may additionally be critical for a correct prognosis of paragonimiasis.
Complications of Paragonimiasis
If left untreated, Paragonimiasis can lead to numerous complications, including:
Chronic lung disease
Long-term contamination with Paragonimus spp. can lead to persistent lung disease, along with bronchiectasis, pulmonary fibrosis, and emphysema. These stipulations can cause everlasting injury to the lungs and make it tough to breathe.
Respiratory failure
In extreme cases, Paragonimiasis can lead to respiratory failure, which is a life-threatening circumstance that takes place when the lungs are no longer capable of supplying ample oxygen to the body.
Neurological complications
In uncommon cases, Paragonimus spp. can migrate to the intelligence and motive neurological complications, which include seizures, paralysis, and meningitis.
Hepatic complications
Paragonimus spp. can additionally infect the liver, main to liver abscesses and different complications.
Malnutrition
Chronic contamination with Paragonimus spp. can lead to malnutrition and weight loss, which can similarly weaken the immune gadget and make it extra tough to battle off the infection.
It's essential to search for a clinical cure if you suspect you can also have Paragonimiasis to stop the improvement of complications. With early analysis and terrific treatment, most humans get better absolutely from Paragonimiasis barring serious long-term complications.
Treatment of Paragonimiasis
The cure of Paragonimiasis commonly includes the use of antiparasitic medications, such as praziquantel or triclabendazole azole. Cure aims to kill the grownup worms and do away with the infection.
In addition to antiparasitic medications, supportive care may also additionally be critical to manipulate signs and symptoms and stop complications.
This might also include:
- Pain relievers to manipulate chest aches and different discomfort
- Bronchodilators assist open up the airways and enhance breathing
- Oxygen remedy to deal with respiratory failure in extreme cases
- Nutritional assistance to tackle malnutrition and weight loss.
It's essential to observe the cure format prescribed through your healthcare company and whole the full route of medication, even if you begin feeling higher earlier than the medicinal drug is finished.
This helps make sure that all the person's worms are eradicated from the physique and prevents the improvement of resistance to the medication.
Paragonimiasis is a parasitic contamination brought about with the aid of the lung fluke Paragonimus spp. It is in particular obtained through eating uncooked or undercooked freshwater crustaceans.
The contamination can cause a variety of symptoms, which includes coughing, chest pain, and fever. Early prognosis and cure with antiparasitic medicinal drugs can assist in getting rid of the contamination and forestall complications. Proper cooking and sanitation practices can assist in stopping the unfolding of Paragonimiasis.
Stay safe, stay healthy, and stay parasite-free from Paragonimiasis!

