The protozoan parasite Trypanosoma cruzi is the cause of the potentially fatal cardiac and gastrointestinal condition known as Chagas disease. There are T. cruzi enzootic cycles in the southern half of the country, involving...
The protozoan parasite Trypanosoma cruzi is the cause of the potentially fatal cardiac and gastrointestinal condition known as Chagas disease. There are T. cruzi enzootic cycles in the southern half of the country, involving 11 known triatomine vector species. In the western United States, where wood-rats are the most prevalent reservoir and other rodents, raccoons, skunks, and coyotes are also infected with T. cruzi, there is the highest diversity and density of vectors.
The incidence of T. cruzi is highest in raccoons, opossums, armadillos, and skunks in the eastern United States. In Texas, California, Tennessee, and Louisiana, a total of seven autochthonous vector-borne human diseases have been documented; many more are likely unrecognised.
The majority of transmission and morbidity historically occurred in rural Latin American settings where inadequate housing conditions encourage vector infestation. The spread of the disease has, however, significantly diminished in rural regions over the past few decades because to effective vector control programmes, and migration has transported affected people to cities both inside and outside of Latin America .
Significant strides have been made in reducing vector infestation in human habitations and expanding screening of the blood supply for T. cruzi since 1991 as a result of a number of subregional programmes .In 2007, a programme to address the "globalisation" of Chagas disease was formally added to control efforts in Latin America, taking into account the possibility of local transmission via non-vectorial means and the rising number of imported cases in Europe, North America, and Japan (344).
LIFE CYCLE
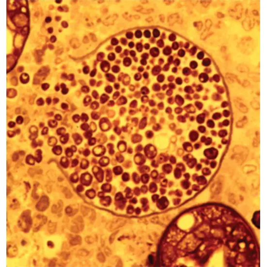
Carlos Chagas, the researcher who discovered the bacterium in 1909, detailed nearly all of the key aspects of the T. cruzi life cycle (62). During specific phases of its life cycle, the kinetoplastid protozoan T. cruzi infects vertebrate and invertebrate hosts (234, 292). When the triatomine vector feeds on the blood of an infected mammalian host, it consumes circulating trypomastigotes. Trypomastigotes change into epimastigotes, the primary replicating stage in the invertebrate host, in the midgut of the vector after passing through an intermediate stage commonly referred to as a spheromastigote.
Epimastigotes move to the hind-gut where they undergo differentiation to become infectious metacyclic trypomastigotes, which are then expelled by the vector along with its faeces. Metacyclic trypomastigotes enter the mammalian host through a bite wound or an unbroken mucous membrane.
Trypomastigotes develop into the intracellular amastigote form in the cytoplasm, and this form then replicates with a doubling time of roughly 12 hours over the course of 4 to 5 days. At the conclusion of this time, the host cell ruptures, the amastigotes change into trypomastigotes, and the trypomastigotes are released into the circulation. The circulating parasites are then able to enter fresh cells, start fresh replication cycles, and infect vectors that feed on the host. The infection lasts the entire lifetime of the mammalian host if antitrypanosomal therapy is unsuccessful.
TRANSMISSION ROUTES
VECTOR BORNE TRANSMISSION
The main method for new human infections is still vector-borne transmission, which only occurs in the Americas. Metacyclic trypomastigotes found in the faeces of infected insects can enter the human body through bite wounds, intact conjunctiva, or other mucous membranes.
CONGENITAL TRANSMISSION
Congenital Chagas' illness affects 1 to 10% of babies born to T. cruzi-infected mothers . Women who are congenitally sick can pass the infection to their offspring, causing the disease to persist in the absence of a vector . Higher levels of maternal parasitemia, weaker T. cruzi immune responses, younger pregnancy ages, HIV, and, in an animal model, parasite strain have all been linked to increased risk.
BLOOD BORNE TRANSMISSION
In 1952, the first instance of transfusional T. cruzi transmission was confirmed . The risk of transmitting T. cruzi is expected to be 10 to 25% per infected unit transfused; platelet transfusions are thought to have a larger risk than other components, such as packed red cells . Between 1 to 60% of donated blood units had T. cruzi infection in Latin American cities in 1991 . Since then, blood donor screening has been acknowledged as a key component of the campaigns to combat the Chagas disease.
ORGAN DERIVED TRANSMISSION
Acute T. cruzi infection may occur in recipients who are not infected but who receive an organ from a donor who is. However, not all infections are transmitted; in a group of 16 people who received kidneys from infected donors but were not themselves affected, only 3 (19%) developed T. cruzi infection .There have been 19 recorded cases of transmission by organ transplantation (13 kidney, 1 kidney and pancreas, 3 liver, and 2 heart transplants) in the literature . It is believed that heart transplantation has a greater risk than kidney or liver transplantation . It has been documented that one case of transmission by unrelated cord blood transplantation .
ORAL TRANSMISSION
The oral route of T. cruzi transmission has received more attention recently; outbreaks linked to tainted fruit or sugar cane juice have been recorded from Brazil and Venezuela In the Amazon region, where the staple palm fruit aka appears to be particularly prone to contamination, probably from infected vectors dwelling in the trees themselves , the majority of outbreaks are minor and frequently involve family groups. At a school in Caracas, the largest reported outbreak to date resulted in more than 100 infections among kids and staff; locally produced guava juice was at fault.
CLINICAL ASPECT OF CHAGA’S DISEASE
ACUTE T.CRUZI INFECTION
Following exposure to vector-borne T. cruzi, the incubation period lasts one to two weeks, after which the acute phase starts .The acute phase lasts 8 to 12 weeks and is characterised by the presence of circulating trypomastigotes that can be seen in buff coat smears or fresh blood microscopy. Most patients do not seek clinical attention during the acute phase because they are asymptomatic or have minor, nonspecific symptoms like a fever. A chagoma, or swelling and inflammation at the site of inoculation, is seen in certain patients with acute infection. Chagomas generally develop on the face or limbs; the lesion may show signs of parasites. The Roma sign, a recognisable unilateral enlargement of the upper and lower eyelids, is brought on by inoculation through the conjunctiva .
Chronic T.Cruzi Infection
When parasitemia levels are no longer visible under a microscope eight to twelve weeks after infection, the person enters the chronic phase of T. cruzi infection in the absence of successful etiological treatment. People with chronic T. cruzi infection nevertheless have the ability to spread the parasite to the vector and indirectly to other individuals through blood components, organ donation, and congenital transmission despite the lack of minute parasites in the peripheral blood.
Diagnosis
The most accurate method for diagnosing acute-phase and early neonatal Chagas' illness, as well as for checking for acute T. cruzi infection in recipients of infected organs or after unintentional exposure, is PCR.Days to weeks before circulating trypomastigotes may be found on peripheral blood smears, PCR assays typically produce positive results The immunosuppressed T. cruzi-infected host can be checked for reactivation using quantitative PCR techniques (such real-time PCR). Quantitative PCR assays that show increasing parasite counts over time are the earliest and most sensitive indicator of reactivation in these individuals, while a positive result on standard PCR does not verify reactivation.
Treatment
Only benznidazole and nifurtimox have been shown to be effective treatments for Chagas disease . Although neither medication has received U.S. FDA approval, it is possible to obtain them from the CDC and use them in accordance with investigational protocols. Parasitic Diseases should be contacted for advice and medication requests, and the CDC Emergency Operations Centre should be contacted in case of an emergency outside of office hours, on weekends, or on federal holidays.

