Gastrointestinal and pancreatic neuroendocrine tumors (NETs) are a rare and complex group of tumors that are difficult to diagnose and treat. NETs arise from cells of the neuroendocrine system, are present throughout the body,...
1. What is a neuroendocrine tumor (NET)?
Neuroendocrine tumors (NETs) are a rare type of It can happen in a variety of body parts. They originate from cells that are part of the neuroendocrine system responsible for producing hormones that regulate various bodily functions.
NETs can occur in the gastrointestinal tract, pancreas, lungs, and other organs. They often grow slowly and may not cause symptoms for years. However, as they grow, they can cause a variety of symptoms, including abdominal pain, diarrhea, hot flashes, and weight loss.
NETs are rare and can be difficult to diagnose. It is often confused with other, more common conditions such as irritable bowel syndrome and Corn disease. However, if symptoms persist, it's important to talk to your doctor about the possibility of NETs.
Treatment of NETs depends on the location and size of the tumor and other factors such as: Whether it has affected other body areas. This includes surgery, chemotherapy, radiation therapy, and other approaches. With proper treatment, many NET patients can live long and healthy lives.
2. What is the prevalence of NETs in the gastrointestinal tract and pancreas?
Gastrointestinal and pancreatic neuroendocrine tumors (NETs) are relatively rare, but their incidence has increased in recent years. A recent study estimated the prevalence of gastrointestinal and pancreatic NETs in the United States at approximately 35 cases per 100,000 populations, with higher incidence in certain regions of Europe and Asia. NETs can occur at any age, but are more frequently diagnosed in persons over 50. The incidence of NETs is slightly higher in women than in men.
Although NETs are not as common as other types of tumors, it is important to understand the prevalence and incidence of these tumors so that healthcare professionals can better diagnose and treat her NET patients. Early detection and intervention are essential for improving patient outcomes and quality of life. By understanding the prevalence and incidence of gastrointestinal and pancreatic NETs, healthcare providers can better identify patients at risk for these tumors and offer appropriate screening and diagnostic tests.
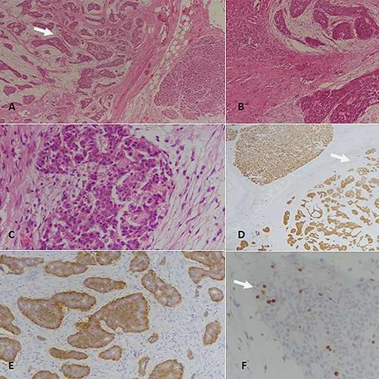
3. What types of NETs in the gastrointestinal tract and pancreas?
Gastrointestinal and pancreatic neuroendocrine tumors (NETs) can occur anywhere in gastrointestinal tract and can be divided into many categories according to their location and function. There are two types of tumors that fit within this category:
NET in action and in non-action.
Functional NETs, also known as hormone-secreting tumors, produce hormones that cause specific symptoms associated with the hormones produced. For example, gastrinoma can cause stomach ulcers, diarrhea, and abdominal pain, and insulinoma can cause hypoglycemia and hot flashes.
Dysfunctional NETs are hormone-nonproducing tumors that often remain asymptomatic until they become large enough to cause compressive symptoms such as abdominal pain and obstructive jaundice. These tumors can also metastasize to the liver and other organs.
Another classification of NETs is based on histology and includes well-differentiated, moderately-differentiated, and poorly-differentiated NETs. Degree of differentiation is an important factor in predicting prognosis and determining the most appropriate treatment options.
Knowing the types of NETs and their degree of differentiation is crucial to the management of this illness. Appropriate diagnosis and treatment by a multidisciplinary team of medical professionals can help improve outcomes and quality of life for patients with gastrointestinal and pancreatic NETs.
4. NET signs and symptoms?
Neuroendocrine tumors (NETs) of the gastrointestinal tract and pancreas can present with a variety of symptoms, and some people have no symptoms at all. . However, it is important to be aware of the signs and symptoms of NETs, as early diagnosis and treatment are important.
Symptoms of NETs depend on the location of the tumor and the hormones it produces. If the tumor produces hormones, symptoms may be related to the effects these hormones have on the body. For example, serotonin-producing tumors can cause diarrhea, flushing, and wheezing, while gastric-producing tumors can cause stomach ulcers, abdominal pain, and diarrhea.
Common symptoms of NET include abdominal pain, bloating, nausea, vomiting, diarrhea or constipation, unexplained weight loss, fatigue, weakness, and loss of appetite. Or you may experience a rapid heart rate.
It's important to note that these symptoms can be caused by many other health conditions, so it's important to see your physician if you experience any of these signs. Many people with NET may not experience any symptoms until the tumor grows or has spread to other parts of the body. Checkups are important.
5. How is NET diagnosed?
Diagnosis of gastrointestinal and pancreatic neuroendocrine tumors (NETs) can be a complex process. There are several tests a doctor can use to diagnose these types of tumors, and the specific test used depends on where the tumor is located and what symptoms it's causing.
One of the most common tests used to diagnose NETs is a biopsy. A little portion of tissue is removed during this surgery from the tumor and examined under a microscope to see if it is cancer many methods can be used to perform a biopsy, including endoscopy, laparoscopy, and fine needle aspiration.
Other tests that can be used to diagnose NETs include imaging tests such as CT scans, MRI scans, and PET scans. These tests help doctors determine the location and size and whether the tumor has migrated to other areas of the body.
Blood tests can also be used to diagnose NETs. These tests can measure levels of certain hormones and other substances in the blood that tumors may produce.
Once NETs are diagnosed, doctors use this information to determine the best course of treatment.
Surgery, radiation treatment, chemotherapy, or a combination of these treatments may be used of these treatments. The specific treatment plan depends on the size and location of the tumor and the patient's general health.
6. NET staging and grading?
Staging and grading of neuroendocrine tumors (NETs) is important for determining tumor extent and aggressiveness. The staging system for NETs is based on the size and location of the primary tumor and the presence of metastasis to nearby lymph nodes or other organs.
The most commonly used staging system for NETs is the TNM (tumor, node, metastasis) classification system, which includes the size the presence or spread of the main tumor (T), its size and absence of regional lymph node involvement (N), and the number of distant metastases Presence (M).
On the other hand, the grading of NETs is based on microscopic examination of tumor cells and their degree of differentiation. The World Health Organization (WHO) has developed a grading system that divides NETs into three distinct classes based on their proliferation and cellular differentiation rates.
• Grade 1 NETs are slow-growing, well-differentiated, low-grade tumors.
• Grade 2 NETs are moderate tumors with moderate growth and moderate differentiation.
• Grade 3 NETs are rapidly growing, poorly differentiated, high-grade tumors.
Staging and grading of NETs is critical in determining appropriate treatment regimens and predicting prognosis and survival outcome for patients with these tumors. It is important that patients with NETs discuss their classification and classification with their physicians to fully understand their diagnosis and treatment options.
7. What are the treatment options for NETs?
Treatment options for NETs depend on several factors, including tumor location and stage, and the patient's general health.
Surgery is often the first choice for treatment of NETs. Surgery aims to cut off as much of the tumor as possible while preserving the function of the affected organs. In some cases, surgery may not be possible, especially if the tumor has spread to different bodily regions.
Chemotherapy and radiation therapy are other treatment options that can be used to reduce or slow the growth of NETs. These treatments are often used in combination with surgery or as the sole treatment.
Another treatment option for NETs is targeted therapy, using drugs that specifically target cancer cells. These drugs work by blocking signals that allow cancer cells to grow and divide.
In some cases, a combination of two or more of these treatments gives the best results for the patient. Together with your doctor will choose the most appropriate course of action for your unique requirements and circumstances.
It is important to remember that each case of NET is unique and the appropriate treatment plan depends on many factors. With advances in treatment options and ongoing research, there is hope that NET patients can live longer and healthier lives.
8. What is the importance of an interdisciplinary approach to managing NET?
Gastrointestinal and pancreatic neuroendocrine tumors (NETs) are complex and their treatment requires a multidisciplinary approach. This is because tumors can affect many different organs and systems in the body, and treatment options vary depending on tumor location and stage.
The multidisciplinary team is typically made up of specialists such as gastroenterologists, endocrinologists, oncologists, surgeons, radiologists and pathologists. Each specialist brings a unique perspective and expertise, working together to create a comprehensive treatment plan that addresses a patient's individual needs.
NET administration, the importance of an interdisciplinary approach cannot be overemphasized. This is because these tumors can be very rare and complex, requiring the latest therapies and a team of highly skilled specialists to ensure the best possible outcome for patients.
The team works together to determine the best course of action for the patient, including surgery, chemotherapy, radiation therapy, or a combination of these treatments. Adjust your treatment plan to ensure the best possible outcome.
Overall, a multidisciplinary approach to the management of gastrointestinal and pancreatic NETs is essential. This may allow for more comprehensive and personalized treatment plans that address the individual needs of patients, ultimately improving results and standard of living for those with these malignancies.
9. Living with NET - Support and Resources?
Living with neuroendocrine tumors of the gastrointestinal tract and pancreas can be physically and emotionally challenging. But it's important to know that you are not alone. There are many resources available to help you manage your health and raise your standard of living.
Joining support groups is a fantastic opportunity to meet other people going through similar experiences. These groups provide emotional support, information about treatment and resources, and a safe space to discuss concerns and fears. Offers many support groups also offer educational programs and activities such as: B. Exercise classes and nutrition workshops to help patients manage symptoms and improve overall health.
There are also various online HIS resources available to patients and their families. For example, the NET Patient Foundation provides a wealth of information about neuroendocrine tumors, including treatment options, support groups, and financial assistance programs. Moreover, the American Cancer Society offers a vast array of information about cancer, including NETs, and offers support services such as transportation, housing, and financial assistance to see a doctor.
NET is not easy to live with, but with the right support and resources, you can manage your condition and live a fulfilling life. I need help. If so, don't be afraid to ask for help. Remember you are not alone.
10. What are the current research and future prospects for the treatment of gastrointestinal and pancreatic NETs?
Gastrointestinal and pancreatic neuroendocrine tumors (NETs) are rare and complex diseases that require specialized treatments. Fortunately, current research and treatment options are advancing rapidly, giving hope to patients with these conditions.
One promising area of research is the development of targeted therapies that can specifically attack the cells that make up NETs. These treatments function by locating particular molecules on the skin of these cells and using drugs to block their activity. This strategy has demonstrated excellent promise in clinical trials and is likely to become a standard treatment option in the near future.
Another area of research is the use of immunotherapy to treat NETs.
This approach involves using the patient's own immune system to identify and attack cancer cells. Immunotherapy is being researched for its possible utility in treating NETs even though it is still in its early phases of development and has shown significant promise in the treatment of other cancers.
Finally, advances in genetic testing and personalized medicine are allowing doctors to tailor treatments to the specific genetic makeup of each patient's tumor. This approach has already shown promising results in other types of cancer and is likely to become an important part of the treatment of NETs in the future.
Overall, while the treatment of NETs of the gastrointestinal tract and pancreas remains challenging, the future looks bright. With ongoing research and the development of new treatment options, patients with these conditions can look forward to better outcomes and a higher quality of life.

