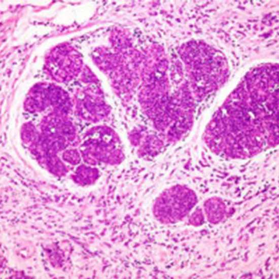
The type of breast cancer that is present in milk-producing glands is known as Invasive Lobular Carcinoma (ILC). Unlike other types of breast cancer, ILC has a unique growth pattern, which makes it challenging to detect...
Invasive Lobular Carcinoma: A Unique Introduction to Aggressive Cancer.
The type of breast cancer that is present in milk-producing glands is known as Invasive Lobular Carcinoma (ILC). Unlike other types of breast cancer, ILC has a unique growth pattern, which makes it challenging to detect through mammography or ultrasound scans. It is estimated that ILC accounts for approximately 10-15% of all breast cancers.
ILC often grows in a linear or ribbon-like pattern, which can cause cancer to spread out instead of forming a distinct mass. This can make it difficult to detect through routine breast cancer screening. ILC can also be invasive as it may metastasize to several parts of the body including lymph nodes, bones, liver, or lungs.
ILC can affect women of any age (mostly over 50).
How Long Ago Was Disease Identified?
Invasive lobular carcinoma (ILC) has a long history and was initially identified as a separate subtype of breast cancer in the late 19th century. In 1894, German pathologist Gustav Simon first described the "diffuse" form of breast cancer, which was later identified as ILC. Simon noted that this form of breast cancer tended to grow in a linear or ribbon-like pattern, which made it difficult to detect and remove surgically.
Over the next few decades, other researchers contributed to our understanding of ILC, including American pathologist Robert H. Egan who described the "classic" form of ILC in 1943. In the 1950s and 1960s, advances in imaging technology, such as mammography helped to improve the detection and diagnosis of ILC.
ILC is now recognized as a separate subtype of breast cancer, making up roughly 10% to 15% of all occurrences. While the incidence of ILC has been increasing over the past few decades, survival rates for this type of breast cancer have also been improving thanks to advances in screening, diagnosis, and treatment.
The Second Most Common Type of Invasive Breast Cancer: Epidemiology.
ILC is more likely to have hormone receptors on the surface of the cancer cells, indicating that the cancer cells are progesterone and/or estrogen receptor positive. This makes hormone therapy a common treatment option for ILC. In contrast, ILC is less likely to be human epidermal growth factor receptor 2 (HER2) positive, meaning that the cancer cells do not overexpress the HER2 protein. However, HER2-targeted therapies may still be used in some cases.
One unique characteristic of ILC is that it is more likely to be bilateral (affecting both breasts) compared to other subtypes of breast cancer. This means that patients with ILC may need to undergo more extensive screening and imaging to detect cancer in both breasts.
ILC can be more difficult to detect on imaging than other subtypes of breast cancer because it tends to grow in a diffuse, linear pattern rather than as a well-defined mass. As a result, ILC may be more likely to be diagnosed at a later stage.
From Cell to Tumor: Exploring the Pathogenesis Of Invasive Lobular Carcinoma.
The first step in the pathogenesis of ILC is the development of abnormal cells within the lobules, known as lobular neoplasia. This is because of changes in certain genes, such as CDH1 (E-cadherin), which is a tumor suppressor gene that helps cells stick together. When CDH1 is mutated, cells lose their ability to adhere to each other, leading to the formation of disorganized clusters of cells within the lobules.
Over time, these abnormal cells can acquire additional mutations that allow them to grow and divide uncontrollably, forming a mass of cancer cells known as a tumor. As the tumor grows, it can invade nearby breast tissue such as the lymph nodes, bones, or liver.
One of the hallmarks of ILC is its tendency to spread to different parts of the body, including the peritoneum, ovary, and gastrointestinal tract. This may be because ILC cells have a unique growth pattern that allows them to spread more easily than other types of breast cancer cells. Instead of forming a solid mass, ILC cells tend to grow in a single-file pattern, making them more likely to invade surrounding tissues and spread through the bloodstream or lymphatic system.
The Many Faces of Invasive Lobular Carcinoma: Insights into Its Subtypes.
There are several subtypes of ILC, each with distinct features and characteristics that can affect the prognosis and treatment options.
The most common subtype of ILC is classic ILC, which accounts for about 80% of cases. Classic ILC cells tend to grow in a single-file pattern, making them difficult to detect on mammography and other imaging tests. Classic ILC is typically estrogen receptor (ER) and/or progesterone receptor (PR) positive, meaning that the cancer cells are stimulated to grow by these hormones. This subtype of ILC also tends to be HER2 negative, meaning that it does not overproduce the HER2 protein, which is a target for some breast cancer treatments.
Another subtype of ILC is pleomorphic ILC, which accounts for about 5-10% of cases. This subtype is characterized by larger, more irregularly shaped cells that tend to grow more quickly than classic ILC cells. Pleomorphic ILC may also be more likely to be HER2 positive, which can affect treatment options.
Invasive lobular carcinoma with a solid growth pattern is another subtype of ILC that accounts for less than 5% of cases. This subtype is characterized by clusters of cancer cells that grow in a solid, sheet-like pattern, rather than the single-file pattern seen in classic ILC. Solid ILC may be more aggressive than classic ILC.
Other rare subtypes of ILC include alveolar ILC, which is characterized by the formation of small, sac-like structures within the lobules, and signet ring ILC, which is characterized by the presence of cells with large, empty-looking cytoplasmic vacuoles that resemble signet rings.
The Road to Cancer: Navigating the Complex Web Of Factors That Contribute To Invasive Lobular Carcinoma.
The exact causes of invasive lobular carcinoma (ILC) are not clear.
One of the main risk factors for ILC is being a woman, as breast cancer is much more common in women than in men.
Genetic factors - In ILC, genetic variables also play a part. Women who have BRCA1 or BRCA2 gene mutations are at an increased risk of getting breast cancer, especially ILC. Other genetic mutations that have been linked to an increased risk of ILC include mutations in the CDH1 gene, which is associated with a higher risk of hereditary diffuse gastric cancer syndrome.
Environmental and lifestyle factors- ILC development may also be influenced by environmental and lifestyle variables. Exposure to certain chemicals, such as endocrine-disrupting compounds may increase the risk of breast cancer. Other factors, such as the early onset of menstruation, the late onset of menopause, and the use of hormonal contraceptives or hormone replacement therapy, have also been associated with an increased risk of breast cancer, including ILC.
Other risk factors for ILC include a personal history of breast cancer or certain benign breast conditions, LCIS, as well as a family history of breast or ovarian cancer, are examples of such conditions.
Don't Wait for The Worst: Recognizing The Early Signs Of Invasive Lobular Carcinoma.
- A breast lump or armpit thickening: This is often the first sign of breast cancer, but not all breast lumps are cancerous.
- Changes in breast size or shape: The affected breast may become larger or smaller or change in shape.
- Changes in the nipple or areola: This may include nipple inversion (when the nipple is pulled inward instead of pointing outward), discharge from the nipple, or changes in the skin around the nipple or areola.
- Breast pain or discomfort: This is less common with ILC than with some other types of breast cancer, but it can still occur.
- Skin changes on the breast: This may include redness, swelling, or dimpling of the skin.
- Unusual breast changes: This may include a difference in appearance or texture between the two breasts.
The Diagnostic Puzzle: Piecing Diagnosing The Clues Of Invasive Lobular Carcinoma.
- Mammography - A breast lump or other breast alterations are frequently assessed using mammography as the initial imaging test. This X-ray can identify anomalies in breast tissue, such as tumors or calcifications (small mineral deposits). If an anomaly is found, the physician might advise more imaging exams, like an ultrasound or an MRI, to get a closer look.
- Ultrasound - Images of breast tissue is produced by ultrasound using high-frequency sound pulses. This can assist in separating fluid-filled cysts from solid lumps that may be malignant (which are usually non-cancerous). MRI produces finely detailed images of breast tissue using a magnetic field and radio waves. When ultrasonography and mammography have failed to produce a definitive diagnosis, it might be advised.
- Biopsy: It may include the following:
- With a tiny needle, a sample of cells is taken from the lump using fine-needle aspiration (FNA).
- During a core biopsy, a larger needle is utilized to extract a sample of tissue from the lump.
- Biopsy performed during surgery: During surgery, a sample of tissue is taken.
Choosing The Right Path: Understanding the Different Treatment Options for Invasive Lobular Carcinoma.
- Surgery: Surgery to remove the malignant tissue is the cornerstone of ILC treatment. A lumpectomy (removal of the tumor and a limited margin of surrounding tissue) or a mastectomy may be necessary (removal of the entire breast). To check for cancer spread, lymph nodes might also need to be removed in rare circumstances.
- Radiation therapy: To eliminate any cancer cells that may still be present and lower the likelihood of recurrence, radiation therapy may be advised after surgery. This entails focusing high-energy X-rays on the breast tissue that is damaged.
- Chemotherapy: Chemotherapy may be suggested if cancer has progressed outside of the breast tissue. This is the use of medications to eradicate cancer cells throughout the body. Chemotherapy is sometimes used as the main form of treatment for advanced or metastatic cancer, either before or after surgery.
- Hormone therapy: Hormone therapy, which involves preventing the effects of estrogen and other hormones that can promote the growth of cancer cells, is frequently effective in treating ILC. Patients with hormone receptor positive ILC, which makes up the majority of cases, may benefit from hormone therapy.
- Targeted therapy: For patients with ILC that is HER2-positive, which indicates the cancer cells make too much of the protein HER2, targeted therapy may be suggested. In targeted therapy, cancer cells are prevented from proliferating and spreading by drugs that specifically target HER2.
Making Informed Decisions: How Prognosis Can Guide Treatment for Invasive Lobular Carcinoma.
Invasive lobular carcinoma (ILC) prognosis varies significantly based on several variables, such as the cancer stage upon diagnosis, the size and area of the tumor, the patient's generation and general health, and the cancer's receptivity to treatment.
ILC's prognosis is generally comparable to that of invasive ductal carcinoma (IDC), the most prevalent form of breast cancer. ILC, on the other hand, has a more diffuse pattern of growth that can make it more challenging to find and eliminate.
In general, early-stage ILC has a fair prognosis with a five-year survival rate of about 90% when it is identified and treated quickly. The prognosis may be worse, with a five-year survival rate of only about 30% if the disease has spread to other bodily regions.
The existence of hormone receptors (ER, PR) and HER2 status, as well as the status of gene mutations such as those in BRCA1 and BRCA2, are additional factors that could influence prognosis. Because these malignancies frequently respond favourably to hormone therapy, patients with ILC that express hormone receptors typically have a better prognosis. Moreover, medications for targeted therapy that specifically target HER2 may be used to treat HER2-positive ILC.
When The Unexpected Happens: Dealing with Complications of Invasive Lobular Carcinoma.
- Lymphedema: This is a condition in which excess fluid builds up in the arms or legs, often because of surgery or radiation therapy. Lymphedema can cause swelling, pain, and stiffness, and can also increase the risk of infection.
- Chronic pain: Due to their malignancy or its treatment, some ILC patients may endure chronic pain. This can be managed with pain medications and other therapies.
- Side effects of chemotherapy: Chemotherapy can result in many side effects, including sickness, puking, hair loss, and an increased risk of infection.
- Cardiovascular disease: Some studies have suggested that breast cancer survivors, including those with ILC, may have an increased risk of developing cardiovascular disease later in life.
- Osteoporosis: Hormone therapy used to treat ILC can increase the risk of bone diseases.
- Emotional and psychological impact: The diagnosis of ILC and its treatment can have a significant impact on a patient's emotional and psychological well-being, including anxiety, depression, and fear of recurrence.
- Second cancers: Those who have had breast cancer in the past, including those with ILC, are somewhat more likely to get another primary cancer in the future.

