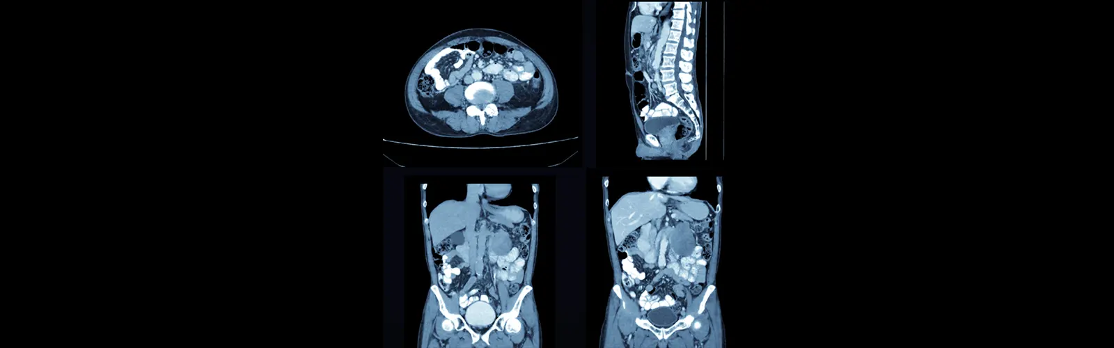
CECT Abdomen stands for Contrast-Enhanced Computed Tomography of the Abdomen. It is a clinical imaging process that makes use of X-rays and a distinction dye to reap distinctive pictures of the belly region.
What is CECT Whole Abdomen?
CECT : Fueling Progress with Seamless Communication! CECT Abdomen stands for Contrast-Enhanced Computed Tomography of the Abdomen. It is a clinical imaging process that makes use of X-rays and a distinction dye to reap distinctive pictures of the belly region.
During a CECT Abdomen, a distinction agent or dye is injected into a vein, which helps to spotlight and decorate the visibility of blood vessels, organs, and different constructions in the abdomen.
This approves radiologists and docs to verify and diagnose a range of stipulations and ailments affecting the belly area. The system includes the affected person's mendacity on a desk that strikes via a doughnut-shaped computer known as a CT scanner.
The scanner takes more than one X-ray pix from distinctive angles, which are then processed with the aid of a laptop to create cross-sectional snapshots of the abdomen.
These snapshots can grant treasured data about the liver, kidneys, spleen, pancreas, intestines, blood vessels, and different buildings inside the stomach cavity.
CECT Abdomen is often used to diagnose and consider stipulations such as tumours, infections, inflammation, trauma, kidney stones, stomach pain, and abnormalities in the stomach organs.
It can assist in becoming aware of the location, size, and extent of abnormalities, as well as supply preparation for surgical planning or different interventions.
It is necessary to observe that CECT Whole Abdomen includes publicity to ionizing radiation, and the use of distinction dye contains a small chance of allergic reactions or kidney injury in some individuals.
The system ought to be carried out with the coaching of a healthcare expert and after thinking about the patient's scientific records and any manageable risks.
How Much Time Does It Take For Reports of CECT Abdomen?
The time it takes to obtain the reviews of a CECT Abdomen can range relying on various factors, together with the facility's workload, the complexity of the case, and the effectiveness of the reporting system.
In general, it normally takes a few hours to a couple of days for the radiologist to evaluate the snapshots and generate the remaining report.
After the CECT Abdomen scan is completed, the pix want to be processed and interpreted using a radiologist, who is a specialized medical doctor educated in clinical imaging.
The radiologist cautiously examines the images, analyzes the findings, and prepares a special record that mri test consists of their observations, pet scans impressions, and any applicable recommendations.
Once the record is ready, it is commonly dispatched to the referring medical doctor or healthcare company that ordered the test.
The time it takes for the record to attain the referring health practitioner can rely on the mode of conversation Ultrasound between the imaging facility and the healthcare issuer (e.g., digital transmission, fax, or mail).
It's necessary to maintain the idea that pressing or vital findings might also be communicated greater quickly, from time to time even immediately, to ensure well-timed clinical intervention.
If you have issues with the timing of your CECT Abdomen report, it is exceptional to attain out to the imaging facility or your healthcare company for extra precise records primarily based on your man or woman's case.

