Gerstmann-Sträussler-Scheinker Syndrome (GSS) is an uncommon and deadly neurodegenerative sickness that is inherited in an autosomal dominant pattern, which means that an affected character has a 50% danger of passing on...
Gerstmann-Sträussler-Scheinker Syndrome (GSS) is an uncommon and deadly neurodegenerative sickness that is inherited in an autosomal dominant pattern, which means that an affected character has a 50% danger of passing on the genetic mutation to their children.
The circumstance is a character by a huge variety of neurological symptoms, along with ataxia (loss of coordination), dementia, and muscle stiffness. These signs commonly start in mid-life, normally between the ages of 35 and 50, and grow rapidly, leading to dying within 5-10 years of onset.
The disease is induced by way of a mutation in the PRNP gene, which presents guidelines for making a protein known GSS Syndrome as prion protein (PrP). The mutation leads to the extraordinary folding of the PrP protein, which then accumulates in the talent and types of amyloid plaques, ensuing in neuronal loss of life and neurodegeneration.
What is Gerstmann Straussler Scheinker Syndrome?
Gerstmann-Sträussler-Scheinker Syndrome (GSS) is an uncommon and deadly neurodegenerative disease that impacts the Genius and worried system. It is inherited in an autosomal dominant pattern, which means that an affected character has a 50% danger of passing on the genetic mutation to their children.
The ailment is induced by using a mutation in the PRNP gene, which gives guidelines for making a protein referred to as prion protein (PrP). The mutation leads to the strange folding of the PrP protein, MR Spectroscopy which then accumulates in the intelligence and varieties of amyloid plaques, ensuing in neuronal demise and neurodegeneration.
The signs and symptoms of GSS usually start in mid-life, between the ages of 35 and 50, and grow rapidly, leading to demise within 5-10 years of onset. The signs may also consist of ataxia (loss of coordination), dementia, muscle stiffness, speech difficulties, and imaginative and prescient problems.
Explore the Epidemiology of Gerstmann straussler Schenker syndrome:
Gerstmann-Sträussler-Scheinker Syndrome (GSS) is an extraordinarily uncommon disease, with only a few hundred instances reported worldwide.
It is estimated that the incidence of GSS is around 1 in 10 million individuals. The ailment has been pronounced in many countries, such as the United States, United Kingdom, Japan, and Italy, amongst others.
However, its incidence varies appreciably between populations, and sure areas might also have a greater occurrence due to genetic elements or different environmental influences.GSS is inherited in an autosomal EEG test dominant pattern, which capacity that every toddler of an affected mum or dad has a 50% risk of inheriting the disease-causing mutation.
However, no longer all persons with the genetic mutation will strengthen the disease, and the age of onset and severity of signs and symptoms can differ even amongst humans inside the equal family.
Overall, GSS is an extraordinarily uncommon disorder, and extra lookup is wished to entirely apprehend its epidemiology and incidence in exclusive populations.
Learn about the Pathophysiology of Gerstmann Straussler Scheinker Syndrome:
Gerstmann-Sträussler-Scheinker Syndrome (GSS) is a neurodegenerative ailment that is triggered via an atypical folding of the prion protein (PrP) due to a mutation in the PRNP gene.
The everyday PrP protein is discovered in many cells at some stage in the body, consisting of neurons in the brain.
However, in GSS, the mutated PrP protein accumulates abnormally in the brain, forming amyloid plaques that lead to neuronal demise and neurodegeneration.
The actual mechanism by way of which the extraordinary PrP protein leads to neurodegeneration is no longer utterly understood, however, it is thought to contain a conversion of the regular PrP protein into an atypical structure referred to as PrPSc, which is enormously resistant to degradation and can accumulate in the intelligence over time.
The accumulation of PrPSc leads to the formation of amyloid plaques, which are thought to disrupt ordinary neuronal features and make a contribution to the signs of GSS.
The accumulation of amyloid plaques in the intelligence can additionally set off an inflammatory response and spark off microglia, the immune cells of the central apprehensive system.
The activated microglia can launch pro-inflammatory cytokines, which can lead to in addition neuronal harm and neurodegeneration.
Overall, the pathophysiology of GSS is complicated and includes the atypical accumulation of the mutated PrP protein in the brain, which leads to the formation of amyloid plaques and sooner or later outcomes in neuronal demise and neurodegeneration.
The genuine mechanisms by which this takes place are nevertheless no longer understood and are the difficulty of ongoing research.
Signs and Symptoms of Gerstmann Straussler Scheinker Syndrome
Gerstmann-Sträussler-Scheinker Syndrome (GSS) is an uncommon and revolutionary neurodegenerative disease that influences the talent and anxiety system. The signs and symptoms and signs and symptoms of GSS generally start in mid-life, between a long time of 35 and 50, and develop rapidly, leading to loss of life within 5-10 years of onset.
The signs may additionally include:
Ataxia
A loss of coordination and stability can affect walking, speech, and excellent motor skills.
Dementia
A modern decline in cognitive function, inclusive of reminiscence loss, concern with language, and issues with problem-solving, reasoning, and decision-making.
Muscle stiffness
A gradual loss of muscle management and multiplied muscle tone, mainly to pressure and problems with movement.
Vision problems
Including blurred vision, double vision, and concerned focusing.
Speech difficulties
Including slurred speech and situations with articulation.
Behavioural changes
Including depression, anxiety, and irritability.
Seizures
In some cases, persons with GSS may additionally ride seizures. The signs and symptoms of GSS can range between individuals, even inside the identical family, and the severity and charge of the development of the disorder can additionally vary.
There is presently no therapy for GSS, and therapy is centred on managing the signs and symptoms and supplying supportive care. Cerebrospinal Fluid Genetic checking can be completed to decide if a person is in danger of inheriting the condition, however, there is no recognized way to forestall or remedy the disease.
Diagnosis of Gerstmann straussler Schenker syndrome
Various diagnostic methods are:
Clinical evaluation
A thorough neurological examination via an expert can assist with signs of GSS, such as ataxia, dementia, and imaginative and prescient problems.
Family history
A household record of GSS or different prion illnesses can advocate an inherited structure of the disease.
Genetic testing
A genetic examination can be taken out to note mutations in the PRNP gene that are related to GSS.
However, it is essential to notice that no longer all humans with the genetic mutation will strengthen the disease.
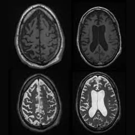
Brain imaging
MRI or CT scans of the talent may additionally be used to appear for attribute modifications in the Genius that are related to the GSS, such as the presence of peculiar protein deposits.
Lumbar puncture
This is used to test the presence of unusual prion proteins.
Biopsy
Biopsy of espionage tissue might also be critical to verify a prognosis of GSS. It is necessary to notice that the prognosis of Biopsy Test GSS can be difficult and can also require a couple of exams and evaluations. A definitive prognosis of GSS can solely be made via genetic checking out or intelligence biopsy.
Complications of Gerstmann straussler Schenker syndrome
Gerstmann-Sträussler-Scheinker Syndrome (GSS) is an innovative neurodegenerative disease that can lead to a range of problems as the sickness advances.
Some of the issues that can occur in men and women with GSS include:
Increased chance of infections
As the ailment progresses, people with GSS may also come to be extra prone to infections due to their weakened immune systems.
Malnutrition
Difficulties with swallowing and digestion can lead to malnutrition and weight loss.
Breathing difficulties
As the disorder impacts the muscular tissues worried about breathing, folks with GSS might also journey concerning respiration and require mechanical ventilation.
Pressure ulcers
Immobility and diminished mobility can lead to the improvement of strain ulcers, which can be hard to treat.
Seizures
In some cases, persons with GSS can also ride seizures, which can be tough to manipulate and may also require medicines to control.
End-of-life care
As the disorder progresses, folks with GSS might also require end-of-life care, along with palliative care and hospice care, to manipulate their signs and supply assistance to them and their families.
It is vital to notice that the particular issues skilled with the aid of men and women with GSS can differ depending on the severity and development of the disease, as well as different elements such as age and ordinary health.
Close monitoring and administration of signs can assist to decrease problems and enhance great lifestyles for humans with GSS.
Treatment of Gerstmann straussler Schenker syndrome
Currently, there is no remedy for Gerstmann-Sträussler-Scheinker Syndrome (GSS), and therapy is commonly supportive and aimed at managing signs to enhance the patient's satisfaction with life.
Treatment for GSS generally entails a group of healthcare professionals, along with neurologists, rehabilitation specialists, and different experts as needed.
The following are some of the remedies that might also be used to control signs and symptoms of GSS:
Medications
Medications such as anticonvulsants, antidepressants, and muscle relaxants may additionally be used to manipulate signs and symptoms such as seizures, depression, and muscle stiffness.
Physical therapy
Physical remedies can assist to enhance mobility, coordination, and muscle strength, as properly as alleviating aches and enhancing a variety of motions.
Nutritional support
Nutritional aid may also be indispensable to assist control challenges in swallowing and malnutrition.
Hospice care
In superior levels of the disease, hospice care can assist to manipulate signs and supply remedy care.
Additionally, genetic counselling and trying out might also be advocated for persons with a household record of GSS to assist pick out these at the chance of inheriting the condition.
Gerstmann-Sträussler-Scheinker Syndrome (GSS) is a rare, inherited neurodegenerative sickness precipitated by way of odd prion proteins that leads to a modern decline in cognitive function, motor control, and different neurological symptoms.
There is presently no therapy for GSS, and the cure is usually supportive and aimed at managing signs to enhance the patient's great life. The analysis of GSS can be difficult and requires specialised expertise, along with genetic trying out and talent biopsy in some cases.
GS Syndrome : A battle that will not be fought alone!

