Bone fibrocartilaginous mesenchyma is an uncommon form of tumor that affects the body's bones and cartilage. The long bones of the arms and legs are where this slow-growing tumor is most frequently discovered, but it can...
Understanding Fibrocartilaginous Mesenchymoma of Bone: Symptoms, Diagnosis, and Treatment Options
Bone fibrocartilaginous mesenchyma is an uncommon form of tumor that affects the body's bones and cartilage. The long bones of the arms and legs are where this slow-growing tumor is most frequently discovered, but it can develop in any bone in the body. Since the symptoms of this type of tumor can be mistaken for those of other bone and joint conditions, it is frequently challenging to identify. Fibrocartilaginous mesenchyma can be successfully treated, though, with the proper diagnostic procedures and course of action. Because fibrocartilaginous mesenchyma of bone is an uncommon condition, we will examine its signs, causes, and possible treatments in this blog post to help those who are affected by it better understand their options and get the care they require.
Introduction to Fibrocartilaginous Mesenchymoma of Bone
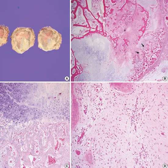
Fibrocartilaginous The exceedingly rare bone tumor known as mesenchymal of bone, also referred to as FM of bone, affects the fibrocartilaginous tissue of the bone. It is a particular variety of mesenchymal tumor that develops from mesenchymal cells that are present in bone, cartilage, and fibrous tissue. The long bones of the arms and legs, the pelvis, and the spine are the most frequent locations for FM of bone, which makes up less than 1% of all bone tumors.
Bone FM is a benign growth, which means it is not cancerous, and it usually develops slowly. However, if left untreated, it can still result in significant pain and suffering in addition to other issues, like bone fractures or nerve compression.
Symptoms of FM of bone
Depending on the position and size of the tumor, it may differ, but symptoms like pain, swelling, stiffness, and restricted range of motion in the affected region are possible. The tumor may occasionally be silent and only accidentally found during imaging tests done for additional reasons.
Imaging examinations such as X-rays, CT scans, and MRI scans, as well as a biopsy to verify the diagnosis, are frequently used in the diagnosis of FM of bone. Surgical reduction of the tumor, radiation treatment, or a combination of the two may be used to treat FM of the bone, based on the size and location of the tumor as well as the patient's general health.
Whereas FM of bone may be an uncommon condition, patients and healthcare suppliers need to be mindful of its symptoms and treatment choices to supply the leading conceivable care and results for those influenced by this condition.
Side Effects of Fibrocartilaginous Mesenchymoma of Bone
The indications of Fibrocartilaginous Mesenchymoma of Bone can shift depending on the area and measure of the tumor. In a few cases, the tumor may not cause any side effects and is as it was found amid a scheduled medical examination or imaging test. In any case, in other cases, the tumor can cause noteworthy torment, swelling, and distress within the influence zone.
A few of the foremost common side effects of Fibrocartilaginous Mesenchymoma of Bone include diligent torment within the influenced bone or joint, swelling, firmness, and restricted run of movement. Patients may too encounter a recognizable protuberance or mass within the influenced range, which can be felt or seen. In a few cases, the tumor may cause a break or other complications that can lead to extra side effects such as shortcomings, deadness, or shivering within the affected appendage.
It is vital to note that these symptoms can be characteristic of other conditions as well, so it is fundamental to look for therapeutic consideration if you're encountering any of these symptoms. Early conclusion and treatment can offer assistance to move forward results and diminish the chance of complications related to Fibrocartilaginous Mesenchymoma of Bone.
Symptomatic Tests for Fibrocartilaginous Mesenchymoma of Bone
When it comes to diagnosing Fibrocartilaginous Mesenchymoma of Bone (FMB), there are a few tests that physicians may suggest. The primary step is taking a nitty gritty therapeutic history and conducting a physical examination to decide if any knots or masses are shown. If a mass is detected, further demonstrative tests will be recommended.
An X-ray is often the primary imaging test requested to distinguish any anomalies within the bone. In any case, if FMB is suspected, it may not be unmistakable on an X-ray. In this case, an attractive reverberation imaging (MRI) filter may be requested to supply a more point-by-point see of the bone and recognize any delicate tissue masses.
A biopsy is additionally a significant symptomatic test for FMB. This includes evacuating a little test of the tissue from the influenced region and analyzing it beneath a magnifying instrument to decide in case any cancer cells are present. The biopsy can be accomplished utilizing a syringe or by expelling a little piece of the bone through a little cut.
Other symptomatic tests may incorporate which makes the bone utilizing X-rays and a computer, and a positron outflow tomography (PET) filter, which employs a radioactive tracer to distinguish ranges of increased metabolic action.
Generally, a combination of imaging tests and biopsy will be utilized to analyze FMB, and your doctor will work with you to determine the leading course of treatment. It is imperative to look for medical attention on the off chance that you notice any bizarre protuberances or bone torment as early location can move forward treatment results.
Organizing of Fibrocartilaginous Mesenchymoma of Bone
Organizing Fibrocartilaginous Mesenchymoma of Bone is a fundamental step in the diagnosis of this uncommon sort of bone cancer. Organizing is the handle of deciding the degree to which cancer has dispersed through the body. The stage of the cancer is based on the estimate and area of the tumor, the inclusion of adjacent tissues and organs, and whether or not cancer has dispersed to additional parts of the body.
In common, there are four stages of Fibrocartilaginous Mesenchymoma of Bone:
- Arrange I:
The tumor is localized to the bone and has not dispersed to different parts of the body.
- Arrange II:
The tumor has expanded and may have dispersed to adjacent tissues or organs.
-ArrangeIII:
The tumor has dispersed to other portions of the body, for example, the lungs or other bones.
- Arrange IV:
The tumor has spread to distant parts of the body, such as the liver or brain.
The organization of Fibrocartilaginous Mesenchymoma of Bone is pivotal for deciding the fitting treatment choices. In some cases, surgery may be the finest choice to remove the tumor, whereas in other cases, radiation treatment or chemotherapy may be necessary to kill cancer. The stage of cancer will decide the guess and the probability of an effective treatment result. Patients need to operate closely with their healthcare suppliers to decide the most excellent treatment arrangement for their specific case of Fibrocartilaginous Mesenchymoma of Bone.
Treatment Choices for Fibrocartilaginous Mesenchymoma of Bone
The treatment alternatives for fibrocartilaginous mesenchyma of bone will depend on a few components counting the estimate, area, and organization of the tumor. By and large, the treatment choices point to expelling the tumor completely, lightening, and preventing a repeat.
Surgery is the foremost common treatment alternative for fibrocartilaginous mesenchyma of bone. During the surgery, the surgeon will evacuate the tumor and surrounding sound tissue to guarantee that all of the cancer cells have been evacuated.
Radiation treatment may moreover be utilized to treat fibrocartilaginous mesenchymoma of bone. This treatment choice employs high-energy radiation beams to slaughter the cancer cells and avoid the tumor from developing.
Chemotherapy may be utilized in uncommon cases where the tumor has metastasized or dispersed to different portions of the body. Chemotherapy employs drugs to murder cancer cells and anticipates the tumor from developing.
In a few patients, a combination of medications may be utilized. For illustration, surgery may be followed by radiation treatment or chemotherapy to ensure that all of the cancer cells have been expelled.
It's critical to talk about all of the accessible treatment choices together with your specialist to decide the finest course of activity for your particular case. With early location and legitimate treatment, the viewpoint for fibrocartilaginous mesenchyma of bone can be very positive.
Surgical Resection for Fibrocartilaginous Mesenchymoma of Bone
Surgical resection is often considered the primary treatment for fibrocartilaginous mesenchyma of bone. This procedure involves removing the influenced region of bone, at the side of any encompassing tissue which will contain cancer cells. The type of surgical method used will depend on the area and size of the tumor.
In a few cases, a little area of bone can be expelled with a minimally invasive approach, such as arthroscopy. This includes the utilization of a little camera and specialized rebellious to perform the method through little cuts in the skin.
For bigger tumors, a more broad surgical approach may be vital. This may involve the use of open surgery, where a bigger cut is made in the skin to get to the tumor. In a few cases, a bone graft may be necessary to supplant the evacuated segment of bone.
After surgery, patients will regularly undergo a period of recovery to help restore typical work to the influenced region. This may include physical treatment, which can offer assistance to progress with other movement qualities within the influenced appendage.
It's vital to note that surgical resection may not continuously be conceivable for all cases of fibrocartilaginous mesenchyma of bone. In a few cases, the tumor may be found in a difficult-to-reach area or may be too large to evacuate securely. In these cases, other treatment alternatives may be necessary, such as radiation therapy or chemotherapy. It's critical to discuss all treatment alternatives together with your specialist to decide the finest course of action for your case.
Radiation Therapy for Fibrocartilaginous Mesenchymoma of Bone
Radiation treatment is one of the foremost commonly utilized treatment choices for fibrocartilaginous mesenchyma of bone. This treatment includes the utilization of high-energy radiation to slaughter the cancerous cells and anticipate them from developing.
The radiation therapy may be given time recently or after surgery, depending on the measure and location of the tumor. In a few cases, radiation medicine may be utilized alone as an essential treatment option, especially when the tumor is small and localized.
Radiation treatment is more often than not managed in slight doses over a few weeks. The therapy is usually conducted on an outpatient belief, which indicates that the patient can go domestic after each session.
Radiation treatment may cause a few side impacts such as weariness, skin aggravation, and sickness. Be that as it may, these side effects are ordinarily temporary and can be overseen with medication.
It is critical to note that radiation therapy may not be appropriate for all patients, particularly those who have other well-being conditions that may be influenced by radiation. Therefore, it is critical to consult with a master to determine the best treatment alternative for each person's case.
Chemotherapy for Fibrocartilaginous Mesenchymoma of Bone
Chemotherapy isn't regularly utilized to treat Fibrocartilaginous Mesenchymoma of Bone, as this sort of tumor is often safe for chemotherapy. In any case, in uncommon cases where the tumor has dispersed to different portions of the body, chemotherapy may be recommended as part of a bigger treatment arrangement.
Chemotherapy comprises the utilization of drugs to murder cancer cells and is regularly supervised intravenously. While chemotherapy can be successful in treating a few sorts of cancer, the adequacy of this treatment is as of now constrained when it comes to Fibrocartilaginous Mesenchymoma of Bone.
In expansion, chemotherapy can have significant side impacts, including nausea, spewing, hair misfortune, and weakness. These side impacts can be especially challenging for patients who are as of now managing the physical and emotional toll of their cancer diagnosis.
For this reason, doctors will typically explore other treatment choices some time recently recommending chemotherapy for Fibrocartilaginous Mesenchymoma of Bone. These may incorporate surgery, radiation therapy, or a combination of different medicines depending on the individual case. Patients must work closely with their healthcare group to decide the best treatment arrange for their particular needs and circumstances.
Prognosis and Follow-Up for Fibrocartilaginous Mesenchymoma of Bone
Fibrocartilaginous Mesenchymoma of Bone is an uncommon sort of bone tumor. Fortunately, it is exceptionally slow-growing and does not tend to spread to other parts of the body. The prognosis for this sort of tumor is for the most part great, with a tall rate of survival and a low rate of repeat.
After treatment, patients will ordinarily experience standard imaging tests to screen for any signs of repeat. Depending on the area and severity of the tumor, patients may also need to experience physical therapy or restoration to recapture full portability and work within the influenced region.
Patients need to keep up with their follow-up arrangements and imaging tests in arrange to catch any potential recurrence as early as conceivable. With proper checking and care, patients with Fibrocartilaginous Mesenchymoma of Bone can expect to live a long and solid life.
Conclusion and Future Inquire about Bearings for Fibrocartilaginous Mesenchymoma of Bone
In conclusion, fibrocartilaginous mesenchyma of bone may be a rare type of bone tumor that requires a multidisciplinary approach for conclusion and treatment. It is critical to consider this tumor as a differential diagnosis when assessing patients with bone torment, swelling, or break. Early detection and appropriate administration are crucial in accomplishing a favorable result.
Currently, surgery is the pillar of treatment for fibro cartilaginous mesenchyma of bone, with adjuvant treatment being considered in some cases. Be that as it may, encouraging research is required to decide the ideal treatment approach, particularly for cases with metastasis or repeat.
Future investigation headings for fibrocartilaginous mesenchyma of bone ought to point towards identifying novel biomarkers, creating focused therapeutic investigations into the role of immunotherapy within the treatment of this uncommon tumour. Also, larger studies are required to assess the long-term results and prognostic factors of this tumour.
In conclusion, fibrocartilaginous mesenchyma of bone is a rare and challenging tumor that requires an exhaustive assessment and a multidisciplinary approach. Encourage investigation is needed to make strides in our understanding of this tumor and to develop more successful treatment strategies.

