Login

Atypical Lymphocytes Test - Book at Affordable Cost

atypical lymphocytes tes

Atypical Lymphocytes

Book Atypical Lymphocytes Appointment Online Near me at the best price in Delhi/NCR from Ganesh Diagnostic. NABL & NABH Accredited Diagnostic centre and Pathology lab in Delhi offering a wide range of Radiology & Pathology tests. Get Free Ambulance & Free Home Sample collection. 24X7 Hour Open. Call Now at 011-47-444-444 to Book your Atypical Lymphocytes

Request A Call Back

White blood cells known as lymphocytes play a role in the immunological response. Atypical lymphocytes are typically lymphocytes that have been activated in response to a viral infection, though they can also be caused by bacteria or parasites. A fewer number of atypical lymphocytes will not have any effect on treatment. Viral illnesses include mononucleosis, CMV infections, and hepatitis B frequently have a high proportion of atypical lymphocytes. A greater number of atypical lymphocytes may also be present in patients with toxoplasmosis, particular bacterial infections, medicines, stress, and autoimmune illnesses.

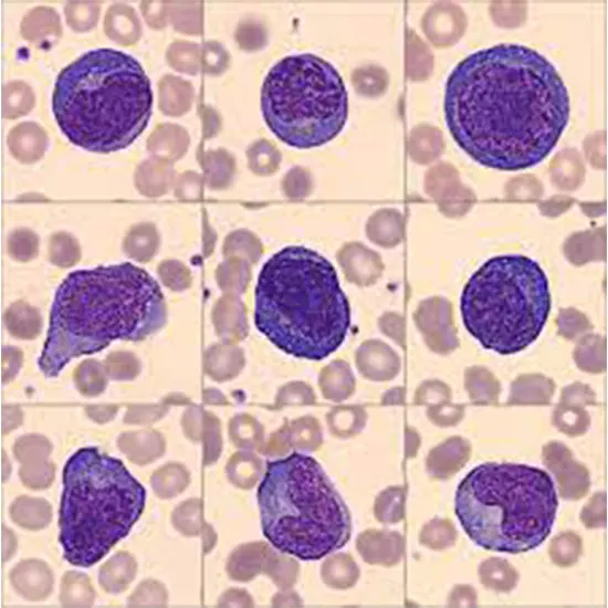
Atypical lymphocytes differentiate from monocytes

Compared to the conventional, smaller cells, the atypical lymphocytes (blue arrows) exhibit a more ample and basophilic cytoplasm. Compared to monocytes, they also have a more regular nuclear shape (red arrows). Moreover, the lymphocytes lack the blebs and pseudopods that are found on monocytes, giving them a more regular cytoplasmic border. The monocytes' cytoplasmic vacuolation, which is absent in lymphocytes, is another important characteristic in the distinction of these two cell types

Atypical lymphocytes

A typical component of human peripheral blood is the atypical lymphocyte. Atypical lymphocytes make about 12% or less (mean 7.5%) of the mononuclear cells in a normal male. 13 to 19% of the mononuclear cells in what is known as probable atypical lymphocytosis are atypical lymphocytes. When 20% or more of the mononuclear cells are atypical lymphocytes, the condition is known as atypical lymphocytosis. Fingertip capillary blood is preferred for evaluating lymphocyte morphology accurately, however freshly smeared anticoagulated blood can also be used in its place. One hour of in vitro incubation of normal blood revealed that 2% of the atypical cells were in the DNA synthesis phase of the cell cycle.

Several viral and nonviral disorders are thought to increase the number of atypical lymphocytes as a non-specific cellular response to an antigenic stimulation. The "transformed" lymphocyte created in cell culture by phytohemagglutinin or a particular antigen is akin to the atypical lymphocyte in many ways.

The antigen is clearly a virus, a medication hypersensitivity, or possibly a graft against host reaction in many of the atypical lymphocytoses. The rapid development and early discharge of relatively immature cells of this series probably accounts for the burst of DNA synthesis in atypical lymphocytes reported early in the course of many diseases linked to atypical lymphocytes. Although their destiny is unknown, it is likely that these cells are eliminated from circulation before they can undergo mitosis.

What is the Cost of Atypical Lymphocytes Test 

The average price for Atypical Lymphocytes test is seen to differ from one center to another. The price range is said to be between INR 100 to INR 800 in Delhi.

 

Test Type Atypical Lymphocytes
Includes

Atypical Lymphocytes Test (Hematology)

Preparation
Reporting

Within 24 hours*

Test Price
Frequently Asked Questions
FAQ

Related Tests

Health Packages

Early check ups are always better than delayed ones. Safety, precaution & care is depicted from the several health checkups. Here, we present simple & comprehensive health packages for any kind of testing to ensure the early prescribed treatment to safeguard your health.

view all health packages