Login

Alcian Blue Stain Test Cost & Procedure

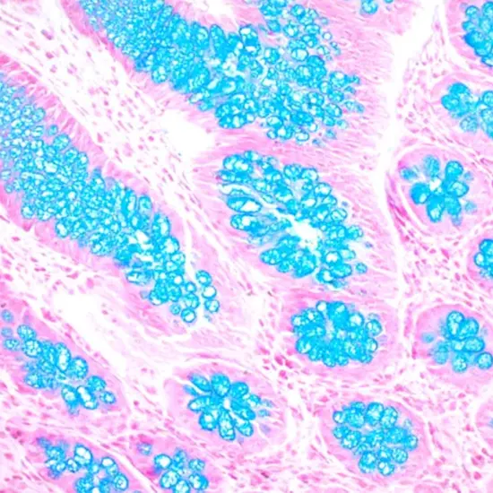
Alcian Blue Stain

Alcian Blue Stain

Book Alcian Blue Stain Appointment Online Near me at the best price in Delhi/NCR from Ganesh Diagnostic. NABL & NABH Accredited Diagnostic centre and Pathology lab in Delhi offering a wide range of Radiology & Pathology tests. Get Free Ambulance & Free Home Sample collection. 24X7 Hour Open. Call Now at 011-47-444-444 to Book your Alcian Blue Stain at 50% Discount.

₹ 650 ₹ 325

Request A Call Back

What is the use of Alcian blue stains?

The connective tissue and acidic epithelial mucins can be seen with the dye Alcian Blue. The GI system and respiratory tract both contain mucins, a kind of carbohydrate. Acidic mucins have a negative charge.

Alcian blue stain is it positive?

The negatively charged low-density mucin in the goblet cells will adhere to the positively charged, giant molecule of the alcian blue dye, coloring it blue. By adjusting the pH of the staining solution, the alcian blue can discriminate between the different acid mucins.

What Color Stains With Alcian Blue?

The neutral mucins are unaffected by the Alcian blue at a pH of 2.5, but the acid mucins are stained a rich blue color. The neutral mucins will become brightly magenta dyed due to the PAS technique's subsequent application.

What does the color "alcian blue" mean?

A copper-containing dye is employed as a lubricant gelling agent for staining microorganisms and in vivo coloring of histiocytes and fibroblasts. American National Medical Library, 2021.

What does the blue stain serve?

Cell mortality can be assessed using methylene blue staining. In a sample stained with methylene blue, a healthy cell will render the stain colorless—the enzymes in the cell cause the methylene blue to be reduced and lose its.

Almost any specimen can be operated using the Gram stain procedure.

What does it signify if a stain is positive?

Negative gram stain findings indicate that there were no microorganisms in your sample. They show the presence of bacteria if they are positive.

Is alcian blue acidic or basic?

A basic dye called Alcian Blue prefers mucin and other acidic tissue components. The copper in the dye's molecule gives it its color.

What part of alcian blue is it?

Alcian blue is a water-soluble, blue-colored basic copper phthalocyanine dye. It contains copper. It has a preference for mucin and other acidic tissue components.

What are Alcian blue's drawbacks?

Additionally, it worsens nuclear and cytoplasmic polyanionic content, which lessens the strength of the differential staining between intracellular and external domains.

Test Type Alcian Blue Stain
Includes

Alcian Blue Stain (Pathology Test)

Preparation
Reporting

Within 24 hours*

Test Price ₹ 325 ₹ 650
Frequently Asked Questions
FAQ

Related Tests

Health Packages

Early check ups are always better than delayed ones. Safety, precaution & care is depicted from the several health checkups. Here, we present simple & comprehensive health packages for any kind of testing to ensure the early prescribed treatment to safeguard your health.

view all health packages