toto toto slot
Triple Phase CT Abdomen Test

Login

Triple Phase CT Abdomen Test

Triple Phase CT Abdomen Test

Triple Phase CT Abdomen Test

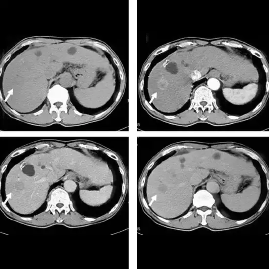
The Triple Phase CT Abdomen scan provides detailed images of the abdominal structure. In this scan, an X-ray beam is used to generate detailed images of the organs inside the abdomen, such as the GI Tract, Liver, Kidney, Pancreas, Spleen, and so on. A doctor may recommend this scan to diagnose the underlying cause of symptoms such as blood in the urine, abdominal pain, abdominal swelling, hernia, or kidney stone. It is also used to diagnose/detect cancers such as renal pelvis cancer, hepatocellular cancer, lymphoma, melanoma, ovaries, pancreas cancer, and Pheochromocytoma.

If a patient experiences symptoms such as blood while urinating, abdominal pain, abdominal swelling, hernia, kidney stone, and so on, a doctor may order a Triple Phase CT Abdomen. It is used to diagnose cancers such as renal pelvis cancer, hepatocellular cancer, lymphoma, ovarian cancer, pancreatitis, and Pheochromocytoma.

You'll lie on a narrow table that slides into the CT scanner's centre. You will most likely lie on your back with your arms raised above your head. When you enter the scanner, the x-ray beam rotates around you. Modern spiral scanners can complete the exam without pausing.

Because radiation can be harmful to the foetus, Triple Phase CT Abdomen is not performed during pregnancy. If you are pregnant or suspect you are pregnant, please notify your doctor prior to the scan. So that doctor can recommend any other options for your medical problems.

procedure is painless and quick. this procedure is generally well-tolerated, with most patients experiencing either mild pain or no pain during the procedure. There were no patients who experienced excruciating pain.

A Triple Phase CT Abdomen Testis typically performed in a hospital's radiology department or an outpatient imaging facility. So, for the best services and reliable results, schedule your test at Ganesh Diagnostic in Yamuna Vihar.