toto toto slot
HRCT Chest Plain Test

Login

HRCT (High-Resolution Computed Tomography) Chest Plain Test

HRCT (High-Resolution Computed Tomography) Chest Plain Test

HRCT (High-Resolution Computed Tomography) Chest Plain Test

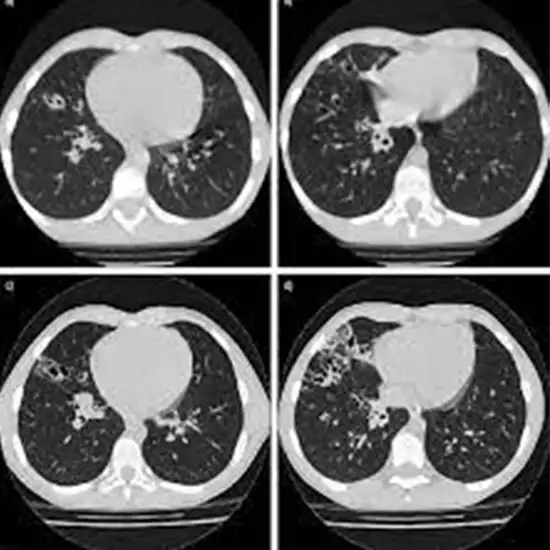
Plain HRCT (High-Resolution Computed Tomography) refers to a CT scan that produces a more precise cross-section image of the lungs than a standard chest CT. An HRCT scan of the chest is an imaging procedure that uses narrow X-ray beams to produce a high-resolution image of the lung anatomy. This test is used to evaluate lung function, detect abnormal growth in the lungs, and detect obstructions to airflows through the lungs.

Before the test, the patient is asked to remove all jewellery and accessories from the chest area that could interfere with the scan. Pregnant women should notify their doctor because the radiation may harm the foetus. The scan takes only a few seconds, but the pre-preparation will take 5-15 minutes.

This test is used to evaluate lung function and the risk of developing diffuse lung disease.

To look for any abnormal growths in the lungs.

To detect airflow obstructions in the lungs

To determine the best location for a lung biopsy if one is required.

 

Pregnant women should notify their doctor (and the x-ray technician) because the radiations could harm the foetus. If necessary, precautions can be taken to reduce the fetus's exposure to radiation.

You may be required to remove any jewellery or metal objects that may interfere with the image. 

A HRCT (High-Resolution Computed Tomography) Chest Plain Test is typically performed in a hospital's radiology department or an outpatient imaging facility. So, for the best services and reliable results, schedule your test at Ganesh Diagnostic in Yamuna Vihar.