Login

CT (Computed tomography) Sinus or Nose Test

CT (Computed tomography) Sinus or Nose Test

CT (Computed tomography) Sinus or Nose Test

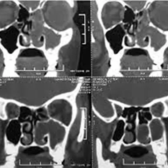
Computed tomography (CT) of the sinuses or nose examines the paranasal sinus cavities, which are hollow, air-filled spaces within the bones of the face surrounding the nasal cavity. CT scanning is non-invasive, painless, and accurate. It is also the most dependable imaging technique for determining whether the sinuses are obstructed, as well as the best imaging modality for sinusitis.

Inform your doctor if you think you might be pregnant, and discuss any recent illnesses, medical conditions, medications you're taking, and allergies you've had. This exam does not typically require contrast material; however, your doctor may request that contrast material be administered in certain circumstances. Your doctor may prescribe medications to reduce the risk of an allergic reaction if you have a known allergy to contrast material. These medications must be taken at least 12 hours before your exam. Wear loose, comfortable clothing and leave your jewellery at home. For the procedure, you may need to change into a gown.

CT of the sinuses is most commonly used to:

  • help with sinusitis diagnosis
  • Examine sinuses that have fluid in them or thickened sinus membranes.
  • detect the presence of infectious diseases
  • provide additional information on nasal cavity and sinus tumours
  • By defining anatomy, you can plan for surgery.

Wear loose-fitting, comfortable clothing to your exam. For the procedure, you may need to change into a gown.

Metal objects, such as jewellery, eyeglasses, dentures, and hairpins, can interfere with CT images. Leave them at home or take them off before your exam. Some CT scans will necessitate the removal of hearing aids and removable dental work. Women will be required to remove bras with metal underwire. If possible, you should remove any piercings.

If your test will include contrast material, your doctor may advise you not to eat or drink anything for a few hours before the exam. Inform your doctor about all medications you are taking and any allergies you have. If you have a known allergy to contrast material, your doctor may prescribe medications (usually a steroid) to reduce the risk of an allergic reaction. Contact your doctor well before the date of your exam to avoid unnecessary delays.

 

Inform your doctor of any recent illnesses or other medical conditions, as well as any family history of heart disease, asthma, diabetes, kidney disease, or thyroid problems. Any of these conditions may increase the likelihood of a negative effect.

CT scans are generally painless, quick, and simple. The amount of time the patient must lie still is reduced with multidetector CT.

 

Though the scanning itself is painless, the requirement to remain still for several minutes may cause some discomfort. A CT exam may be stressful if you have trouble sitting still, are claustrophobic, or have chronic pain. Under the supervision of a physician, the technologist or nurse may offer you medication to help you tolerate the CT scanning procedure.

The technologist will remove your intravenous line following a CT scan. They will use a small dressing to cover the tiny hole made by the needle. You can resume your normal activities right away.

 A CT (Computed tomography) Sinus or Nose Test is typically performed in a hospital's radiology department or an outpatient imaging facility. So, for the best services and reliable results, schedule your test at Ganesh Diagnostic in Yamuna Vihar.