toto
CT Enterography Test Near Me - Yamuna Vihar

Login

CT Enterography Test

CT Enterography Test

CT Enterography Test

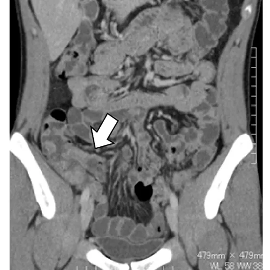
CT enterography is an imaging test that examines the small intestine using CT imagery and a contrast material. The procedure enables your doctor to determine what is causing your condition. He or she can also tell you how well you're responding to treatment for a medical condition like Crohn's disease.

CT enterography produces detailed images of the small intestine and structures within the abdomen and pelvis by using special x-ray equipment and an injection of contrast material after the ingestion of liquid. It is frequently used to identify and locate bowel problems such as inflammation, bleeding, obstructions, and Crohn's disease. CT scanning is quick, painless, non-invasive, and precise. When compared to other small intestine imaging procedures, CT enterography can visualise the entire thickness of the bowel wall.

A CT scan, or computerised tomography scan, is a type of X-ray that uses a computer to create cross-sectional images of your body.

This test is typically used to determine:

 

Inflammation Tumours

Obstructions or abscesses in the bowel

The cause of the bleeding

Crohn's disease location and severity

 

Inform your doctor if you think you might be pregnant, and discuss any recent illnesses, medical conditions, medications you're taking, and allergies you've had. You will be told not to eat or drink anything for a few hours before the procedure. Your doctor may prescribe medications to reduce the risk of an allergic reaction if you have a known allergy to contrast material. These medications must be taken at least 12 hours before your exam. Wear loose, comfortable clothing and leave your jewellery at home. You might be required to wear a gown.

Wear loose-fitting, comfortable clothing to your exam. For the procedure, you may need to change into a gown.

Metal objects, such as jewellery, eyeglasses, dentures, and hairpins, can interfere with CT images. Leave them at home or take them off before your exam. Some CT scans will necessitate the removal of hearing aids and removable dental work. Women will be required to remove bras with metal underwire. If possible, you should remove any piercings.

You will be asked to refrain from eating or drinking for four hours prior to the procedure.

During the scanning, the technologist may ask you to hold your breath. Artifacts on images can be caused by any motion, including breathing and body movements. This loss of image quality can be compared to the blurring seen in photographs of moving objects.

 

When the exam is finished, the technologist will ask you to wait until the images are of sufficient quality for accurate interpretation by the radiologist.

A CT (Computed Tomography) Enterography Testis typically performed in a hospital's radiology department or an outpatient imaging facility. So, for the best services and reliable results, schedule your test at Ganesh Diagnostic in Yamuna Vihar.