Login

CT (computed tomography) Facial Bone Test

CT (computed tomography) Facial Bone Test

CT (computed tomography) Facial Bone Test

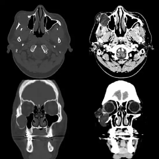
A CT of the Facial Bones is a procedure that produces images of the facial bone structure, including the jaw, nose, eye sockets, and cheekbones, in very thin slices (2-3.5mm). These photographs aid in the diagnosis of facial trauma and malformations.

Your physician has ordered a computed tomography (CT) scan of your facial bone. CT scans create detailed images of the body using X-ray technology and advanced computer analysis. A CT scan of your facial bones can assist your doctor in determining the source of symptoms such as headaches, seizures, dizziness, or swelling. It can also be used to investigate other potential issues, such as those caused by an injury or a tumour.

A radiology technologist or nurse will ask you a few questions about your medical history.

Please wear comfortable clothing and leave your jewellery and valuables at home. Because this is a head scan, anything that can interfere with the scan, such as dentures, false teeth or implants, earrings, or hairpins, should be left at home.

Although we do not anticipate any delays in your scheduled appointment, we recommend bringing a book, a magazine, or a music player to help pass the time.

The technologist will explain your procedure and answer any questions you may have while positioning you on the exam table. If contrast dye is used, it will be administered through your IV. During the injection, you may feel warm all over your body and have a metallic taste in your mouth. This is typical. Please notify the technologist immediately if you experience any itching, sneezing, nasal congestion, scratchy throat, or swelling of your face. You will be asked to lie on your back flat. You will have your arms at your sides. Your head may be placed in a holder and you may be asked to remain completely still.

The table you're sitting on will be pushed into the scanner. The scanner will only cover your head. The scanner is open on both sides, allowing you to see out. During your exam, the technologist will always be able to see and hear you. This procedure usually takes between 15 and 30 minutes.

Your doctor will go over the results with you and explain what they mean for your health. 

A CT (computed tomography) Facial Bone Test is typically performed in a hospital's radiology department or an outpatient imaging facility. So, for the best services and reliable results, schedule your test at Ganesh Diagnostic in Yamuna Vihar.