Login

Cranial ultrasound Test

Cranial ultrasound Test

Cranial ultrasound Test

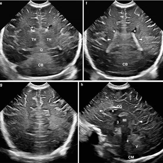
Cranial ultrasound makes images of the brain and its inner fluid chambers by using reflected sound waves (ventricles). These chambers are filled with cerebrospinal fluid. This test is most commonly performed on infants.

The brain and cerebrospinal fluid are imaged using ultrasound imaging of the head. It is most commonly performed on infants whose skulls have not fully developed.

Babies are most often given this test. It looks for problems caused by being born too soon. It can be used on babies up to about 18 months old to check for problems in the brain and ventricles.

It helps diagnose problems such as periventricular leukomalacia (PVL causes damage to the brain tissue surrounding the ventricles.) and intraventricular haemorrhage (IVH is bleeding in the brain).

Cranial ultrasonography can help assess a baby's growing head size. The test can also check for brain infection (encephalitis or meningitis).

No special preparation is needed but you should wear loose-fitting clothing.

A machine sends sound waves into the head during this test, and a computer records the images they create. The black-and-white images depict the inside structures of the brain as well as the fluid that flows within the hollow spaces deep within the brain known as ventricles.

An ultrasound does not generate any radiation. The sound waves used to create the images are both safe and painless.

A Cranial ultrasound is typically performed in a hospital's radiology department or an outpatient imaging facility. So, for the best services and reliable results, schedule your test at Ganesh Diagnostic in Yamuna Vihar.