toto
CECT Pituitary Sella Test

Login

CECT Pituitary Sella Test

CECT Pituitary Sella Test

CECT Pituitary Sella Test

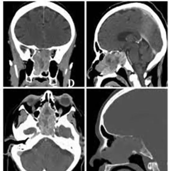
A CECT Pituitary Sella or Contrast-Enhanced Computed Tomography of the Pituitary Sella is an imaging technique that creates multiple cross-sectional images of the pituitary Sella using highly focused radiation (X-ray beams) and contrast dye material (small, bony nook at the base of the skull). The images obtained using this method aid physicians in determining and assessing abnormalities in the pituitary Sella, which protects the brain.

A CECT Pituitary Sella is a painless, non-invasive procedure. However, the use of contrast material during the procedure can occasionally result in side effects. Abnormalities in the test scan report may help identify the presence of empty Sella syndrome (a condition that causes pituitary gland shrinkage), tumour, or any other conditions affecting the pituitary gland or Sella turcica.

This test is performed to detect issues with your Sella (shrunken/flattened pituitary gland).

To determine the presence of any pituitary tumour (cancer)

To determine the cause of hemianopsia (decreased vision)

Pregnant women should notify their doctor (and the x-ray technician) because the radiations could harm the foetus. If necessary, precautions can be taken to reduce the fetus's exposure to radiation.

You may be required to remove any jewellery or metal objects that may interfere with the image.

Before proceeding with the procedure, have a blood urea and creatinine test performed to assess kidney function and ensure the safety of the contrast.

The procedure is painless and quick. this procedure is generally well-tolerated, with most patients experiencing either mild pain or no pain during the procedure. There were no patients who experienced excruciating pain.

A CECT Pituitary Sella Test is typically performed in a hospital's radiology department or an outpatient imaging facility. So, for the best services and reliable results, schedule your test at Ganesh Diagnostic in Yamuna Vihar.