Login

CECT Pituitary Gland Test

CECT Pituitary Gland Test

CECT Pituitary Gland Test

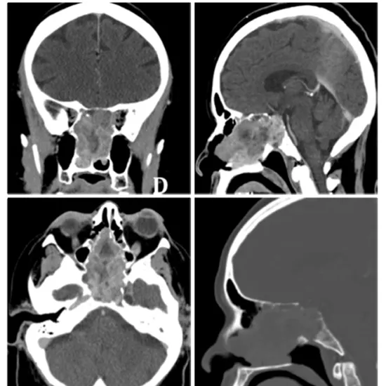
CECT Pituitary Gland Computed Tomography is a contrast-enhanced computed tomography of the pituitary gland. It is a type of imaging scan that employs X-ray beams and contrast media to produce cross-sectional images of the pituitary gland. The pituitary gland is a bony nook gland at the base of the skull. This scan assists doctors in diagnosing pituitary gland abnormalities such as pituitary gland shrinkage, the presence of tumours, and other problems affecting the gland.

Pituitary tumours are abnormal growths in the pituitary gland. Some pituitary tumours produce an excess of hormones that regulate vital bodily functions. Certain pituitary tumours can cause your pituitary gland to produce fewer hormones.

The vast majority of pituitary tumours are noncancerous (benign) growths (adenomas). Adenomas are benign tumours that remain in the pituitary gland or surrounding tissues and do not spread to other parts of the body.

Doctors prescribe CECT Pituitary Gland To detect the problems in the pituitary gland such as shrinkage, flattening of the pituitary gland, the presence of tumours in the pituitary gland, and the root cause of hemianopsia.

Pituitary tumours do not all cause symptoms. They are sometimes discovered by chance during an imaging test, such as an MRI or CT, that is being performed for another reason. Pituitary tumours that produce hormones (function) can cause a wide range of signs and symptoms, depending on the hormone. The signs and symptoms of pituitary tumours that do not produce hormones (non-functioning pituitary tumours) are related to their size and the strain they place on other structures.

In the case of pregnancy, CECT Pituitary Gland is not recommended/performed. Female patients must inform the doctor/radiology nurse if they are pregnant or if there is any chance of pregnancy before the scan.

The procedure is painless and quick. this procedure is generally well-tolerated, with most patients experiencing either mild pain or no pain during the procedure. There were no patients who experienced excruciating pain.

A CECT Pituitary Gland Testis typically performed in a hospital's radiology department or an outpatient imaging facility. So, for the best services and reliable results, schedule your test at Ganesh Diagnostic in Yamuna Vihar.