toto
CECT Face Cost in Yamuna Vihar Test Price Near Me India | GDIC

Login

CECT Face Test

CECT Face Test

CECT Face Test

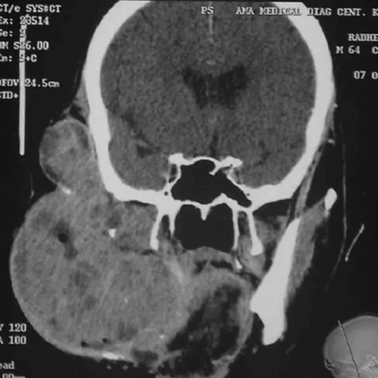
CECT-Face is a contrast-enhanced computed tomography imaging technique used to visualise the bones and soft tissue structures of the face. It gives a clear picture of the dense and soft tissues such as the facial bones, air-filled hollow sinuses, throat, salivary glands, and so on. Any abnormality, such as a clog, tumour, or inflammation, can thus be identified and personalised treatment can begin immediately.

A contrast dye is injected into your body during this procedure to highlight the differences between the structures. The doughnut-shaped tube emits powerful X-rays that rotate around your face, capturing 3-D images that are displayed on a monitor. You may experience slight burning at the injection site, a metallic taste, and warm flushing, which should go away after a few seconds.

This test is used to detect disorders or diseases affecting the sinuses, which are air-filled cavities in the bones around the nose.

 • Detecting and diagnosing diseases of the facial or jaw bones, such as Paget's Disease

• Detecting fractures of the facial or jaw bones as a result of trauma

 • Planning interventional and reconstructive procedures for the face

 • Determining problems with the eyes, bones around the eyes, and optic nerves

Pregnant women should notify their doctor (and the x-ray technician) because the radiations could harm the foetus. If necessary, precautions can be taken to reduce the fetus exposure to radiation.

Before proceeding with the procedure, have a blood urea and creatinine test performed to assess kidney function and ensure the safety of the contrast.

You may be asked to wear a hospital gown during the scan, depending on the area to be imaged.

A Contrast-Enhanced Computed Tomography (CECT) Face Test is typically performed in a hospital's radiology department or an outpatient imaging facility. So, for the best services and reliable results, schedule your test at Ganesh Diagnostic in Yamuna Vihar.