Login

X-Ray Of Both Feet AP View (Weight Bearing) Procedure

X-Ray Of Both Feet AP View (Weight Bearing) Procedure

X-Ray Of Both Feet AP View (Weight Bearing) Procedure

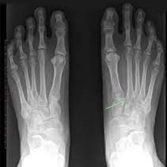
Foot AP X-rays known as foot radiographs. The foot's AP x-ray is typically advised if the foot has suffered a catastrophic injury. To show how to perform while carrying weight, in weight bearing

INDICATION

This view is useful in assessing:

  • Foot Trauma
  • Bony tenderness at the base of the 5th metatarsal as well as at  the navicular bone
  • Unable to lift more than four steps' worth of weight
  • Non-traumatic foot pain
  • To see varus –vulgus foot
  • Foreign body
  • Sprain
  • Fracture

PATIENT PREPARATION

  • It is necessary to remove the metallic objects from the body before the scanning procedure to avoid a bright spot on the diagnostic film.
  • Women must notify an x-ray technician in the case of a pregnancy.

PART POSITIONING

  • Lying on one's back. The affected side's knee was flexed enough for the foot's sole to rest firmly on the IR.
  • The injured hip and knee are flexed, and the patient is placed on the X-ray table, supported if necessary.
  • The lower leg is held in the vertical position by the other knee while the plantar aspect of the affected foot is placed on the cassette. Alternatively, the cassette can be raised on a 15-degree foam pad for convenience.