toto toto slot
X-Ray Mandible Pa View Procedure - Ganesh Diagnostic

Login

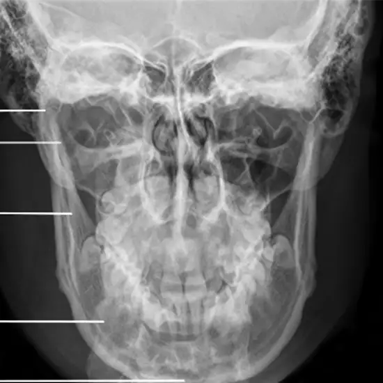
X-RAY MANDIBLE PA VIEW PROCEDURE

X-RAY MANDIBLE PA VIEW PROCEDURE

X-RAY MANDIBLE PA VIEW PROCEDURE

X-ray mandible PA View is used to detect

  • Mandibular menti fracture
  • Medial and lateral displacement of skull fracture
  • Neoplastic changes
  • Paget’s diseases
  • TM joints
  • Mastoids sinus

Patient positioning

  • The patient is erect.
  • The patient’s forehead is placed against the image detector and allows the nose to be in contact as well.
  • Mid-sagittal plane is the right angle to the cassette.

Central Ray

  • Centre ray is 2 cm below the TM joints
  • Mid-sagittal plane is perpendicular to the IR/ Cassette.