toto
Google Analytics or Any Tracking CodeOpen Graph Tags Best X-Ray Mandible Lateral Oblique View (R/L) Procedure JSON Schema

Login

X-RAY MANDIBLE LATERAL OBLIQUE VIEW (R/L) PROCEDURE

X-RAY MANDIBLE LATERAL OBLIQUE VIEW (R/L) PROCEDURE

X-RAY MANDIBLE LATERAL OBLIQUE VIEW (R/L) PROCEDURE

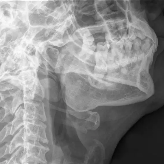
X-ray mandible lateral oblique view is used to show the displacement fracture of the affected side mandible.

Why is X-RAY MANDIBLE LATERAL OBLIQUE VIEW (R/L) Used?

This view is useful in assessing:

•             Fracture right or left side mandible

•             Neoplastic changes

•             Inflammatory processes

•             Body of mandibleto

•             To see the molar and premolar jaw

Patient preparation

  • To eliminate a glowing or empty spot on the diagnostic film, remove any metal pieces, namely jewellery, hair accessories, wristwatch, rings, and other items of a similar nature, from the body part that is being examined.
  • Remove whatever artifacts from hair, including ear clips, hair grips, and dentures.
  • Tell the doctor that you are expecting. Unaddressed radiation could be harmful to the neonate. One can take precautions to safeguard the infant.

Procedure for X-RAY MANDIBLE LATERAL OBLIQUE VIEW (R/L)

Part positioning

  • The patient is positioned next to Bucky, who is standing or sitting.
  • Put your head in a lateral position and lean your interested side against the IR.
  • The patient must have his or her mouth and teeth as near together as possible.
  • Head is in true lateral position and then 45-degree rotation demonstrates mentum.

 

Written By

Mr. Mohit

Education Department