Login

Pediatric Echocardiography

Pediatric Echocardiography

Pediatric Echocardiography

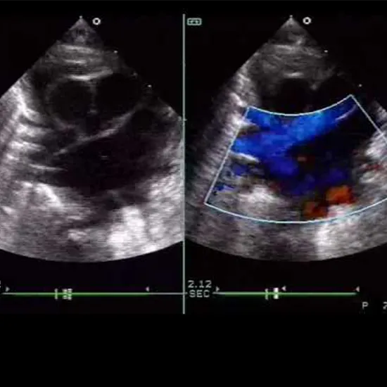
A pediatric cardiologist will use echocardiography (also known as an echocardiogram, echo, or heart ultrasound) to get moving pictures of your child's heart. It can provide information to the doctor about the heart's ability to contract as well as any heart anomalies, such as holes or narrowed valves.

Why is Pediatric Echocardiography Done?

The echocardiography can identify valve form, motion, narrowing, or backward flow, as well as structural abnormalities of the heart (holes between the chambers, fluid around the heart, the mass inside the heart, etc.)

Preparation

  • A child that is 4 years old or younger can need sedation. Mild sedatives may be recommended by the doctor.
  • Most children who are older than 4 years old do not need to be sedated for their echocardiograms.
  • A youngster must be completely empty before being anaesthetized.
  • No milk or solids for eight hours before the procedure.
  • Breastmilk can be given up to four hours before the procedure.
  • Clear liquids may be given up to two hours before the procedure.
  • If a child is to be sedated, a doctor will ask to keep the child awake until after they have had their sedation.

Procedure

  • On a bed, the kid will lie slightly on their side.
  • The child can choose to wear a short gown but must be completely undressed up to the waist.
  • The skin above the area of the chest where the heart is situated is covered with a colorless, heated gel to enhance the image quality.
  • On top of the gel and next to the skin is a transducer, a small microphone-like device.
  • A picture is made by the transducer using sound waves that are reflected off the various surfaces of a child's heart.
  • The images are taken by moving the transducer across the chest, abdomen, and neck.
  • The sounds you might hear from the echo machine are the sounds of the blood moving through the heart's chambers and the valves opening and shutting.

After Care

If children are not put to sleep during the study, they are allowed to eat and carry on with their regular activities right away.