An X-ray is a kind of electromagnetic radiation with excessive strength and quick wavelengths. X-rays are successful in penetrating through many substances that are seen mildly, such as skin, tissue, and bone.
What is X-Ray?
X-rays : Revealing the Invisible! An X-ray is a kind of electromagnetic radiation with excessive strength and quick wavelengths. X-rays are successful in penetrating through many substances that are seen mildly, such as skin, tissue, and bone. When X-rays pass by via an object, they are absorbed in various levels using special materials, and this record is used to create photos of the inside shape of the object.
In clinical applications, X-rays are in many instances used to produce pics of the human body, such as the chest, teeth, and bones. They can additionally be used in industrial and safety settings to check out substances for defects or hidden objects.
However, publicity to excessive stages of X-rays can be hazardous to dwelling organisms, so precautions are taken to restrict publicity through X-ray procedures.
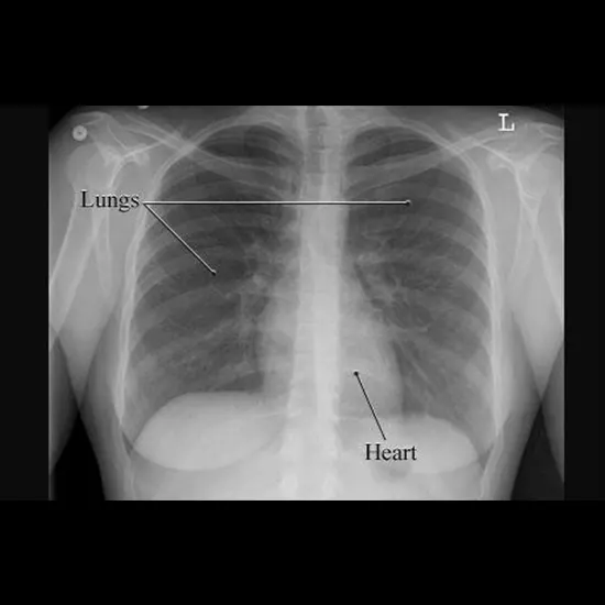
What is the Role of X-rays in Respiratory Health?
X-rays play an essential position in the analysis and administration of respiratory fitness conditions.
X-rays are a type of electromagnetic radiation that can penetrate the physique and produce photos of the inner structures.
In respiratory health, X-rays are often used to consider the lungs, heart, and chest wall.
They can assist observe a range of conditions, such as pneumonia, tuberculosis, lung cancer, emphysema, pleural effusions, and pneumothorax.
X-rays can additionally be used to display the growth of respiratory illnesses and investigate the effectiveness of treatment.
X-rays are especially beneficial in detecting abnormalities in the lungs and chest that can also now not be seen on a bodily exam.
They can exhibit the measurement and structure of the lungs, the presence of fluid or air in the lungs or chest cavity, and the function of the coronary heart and different organs in the chest.
However, it is vital to be aware that X-rays do expose sufferers to a small quantity of radiation, which can be damaging if used excessively.
Therefore, they ought to solely be used when integral and with terrific precautions to limit the chance of radiation exposure.
Other imaging techniques, such as computed tomography (CT) and magnetic resonance imaging (MRI) might also be used in positive instances to furnish extra distinct information.

