A CT scan, also known as computed tomography, is a type of medical imaging that uses X-rays to create detailed images of the body's internal organs.
A CT scan, also known as computed tomography, is a type of medical imaging that uses X-rays to create detailed images of the body's internal organs. When diagnosing and staging cancer, which entails figuring out how far the disease has progressed throughout the body, CT scans are frequently employed.
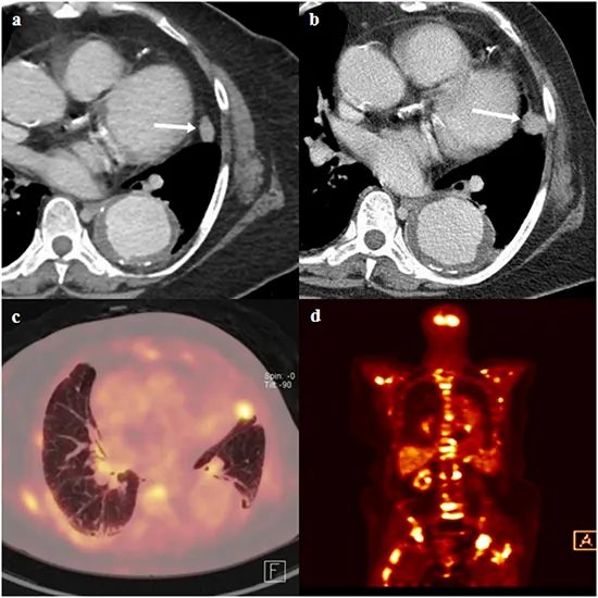
Because they can give precise information about the size, position, and extent of the tumor, CT scans can be very helpful in staging cancer. Additionally, they can be used to determine whether cancer has spread to neighboring lymph nodes or other body organs.
Uses
CT scans are especially useful for:
Find the primary tumor's size and location.
Determine which lymph nodes nearby are affected.
Locate distant metastases, or cancer that have spread to other parts of the body.
Keep an eye on how the illness is developing and how the treatment is working.
To provide a more complete view of cancer and its spread, CT scans are frequently utilized in conjunction with other Imaging techniques, such as MRI (magnetic resonance imaging) and PET (positron emission tomography) scans.
Overall, CT scans are crucial in the staging of cancer, assisting medical professionals in choosing the best course of action for every patient.
Staging
The process of staging helps doctors choose the best course of treatment for a patient by identifying the amount and spread of the cancer throughout the body.
The size and location of the tumor, whether or not it has progressed to neighboring lymph nodes or other organs, and the presence of metastases in other parts of the body all contribute to determining the stage of cancer.
The TNM method, which stands for tumors, nodes, and metastases, is the one that is most frequently used for cancer staging.
This method employs a combination of letters and numbers to indicate the stage of cancer.
Cancer research employs staging to develop new therapies and improve those that already exist. Staging data can be used to monitor the effectiveness of innovative medications in clinical trials and to pinpoint the people who will likely benefit from a certain course of treatment.
Communication: Staging provides a standardized method for notifying medical staff about the presence of cancer. As a result, choices about the patient's treatment can be made by all parties involved in their care using the same information.
|
Tumor Classification (T)
|
Node Classification (N) |
Metastasis Classification (M)
|
|
T0: no tumor |
N0: no cancer in lymph nodes |
M0: no detectable metastasis |
|
T1: small tumor |
N1: small amount of cancer in lymph nodes |
M1: cancer has spread to other parts of the body |
|
T2: larger tumor |
N2: moderate amount of cancer |
|
|
T3: large tumor |
N3: the extensive amount of cancer in lymph nodes |
|
|
T4: very large tumor |
|
|
T : This relates to the primary tumor's size and scope. From 0 (no sign of a tumor) to 4 (tumor has invaded neighboring structures), there can be tumors.
N : The involvement of close-by lymph nodes is meant by this. From 0 (no sign of lymph node involvement) to 3 (cancer has spread to distal lymph nodes), the N stage scale.
M : The presence of far-off metastases is indicated by this. From 0 (no sign of distant metastases) to 1 (cancer has spread to distant organs), the M staging scale.
These criteria allow cancers to be divided into stages,
Roman numerals from I to IV are commonly used to denote the stages, with higher numbers signifying more advanced cancer. Here is a TNM-based, condensed cancer staging system:
|
Stage I: |
The cancer is mild and localized and it hasn't progressed to any neighboring lymph nodes or other organs. (T1-2, N0, M0) |
|
Stage II: |
The cancer has gotten bigger or spread to adjacent lymph nodes but hasn't yet reached other parts of the body. (T1-2, N1-2, M0 or T3, N0-1, M0) |
|
Stage III: |
The cancer has not yet progressed to distant organs (T1-3, N2, M0 or T4, N0-2, M0), but has spread to neighboring lymph nodes and may have entered nearby tissues. (T1-3, N2, M0 or T4, N0-2, M0) |
|
Stage IV: D |
Distant organs or tissues have been affected by the malignancy (any T, any N, or M1). |
Staging may also include biopsies (the removal of tissue samples for evaluation under a microscope) and other diagnostic tests to ascertain the extent of the cancer in addition to imaging tests like CT scans.
Uses of Staging
Cancer staging serves a variety of crucial purposes, such as:
Planning for treatment
Based on the patient's condition and the stage of cancer, staging aids medical professionals in selecting the best course of action. For instance, surgery alone may be used to treat early-stage cancer, whereas chemotherapy, radiation therapy, and surgery may all be necessary to treat advanced-stage cancer.
Prognosis
Depending on the stage of the cancer, staging might offer important information regarding the prognosis or outlook for the patient. The prognosis for cancer patients is typically better for those with early-stage cancer than for those with advanced-stage disease.
Research
Cancer research employs staging to develop new therapies and improve those that already exist. Staging data can be used to monitor the effectiveness of innovative medications in clinical trials and to pinpoint the people who will likely benefit from a certain course of treatment.
Communication
Staging provides a standardized method for notifying medical staff about the presence of cancer. As a result, choices about the patient's treatment can be made by all parties involved in their care using the same information
Overall, staging is a crucial tool in the management of cancer, offering critical data that can assist current research efforts, guide therapy choices, and inform the patient's prognosis.

